충치치료의 모든 것
이 영상에서 다 알려드려요
배인혜 보존과 전문의가
직접 설명해 드립니다
발치 권유받은 환자분의
치아를 치료해 지켜냈습니다
다른 병원에서 발치를 권유받았으나
신경 치료를 통해 보존에 성공했습니다
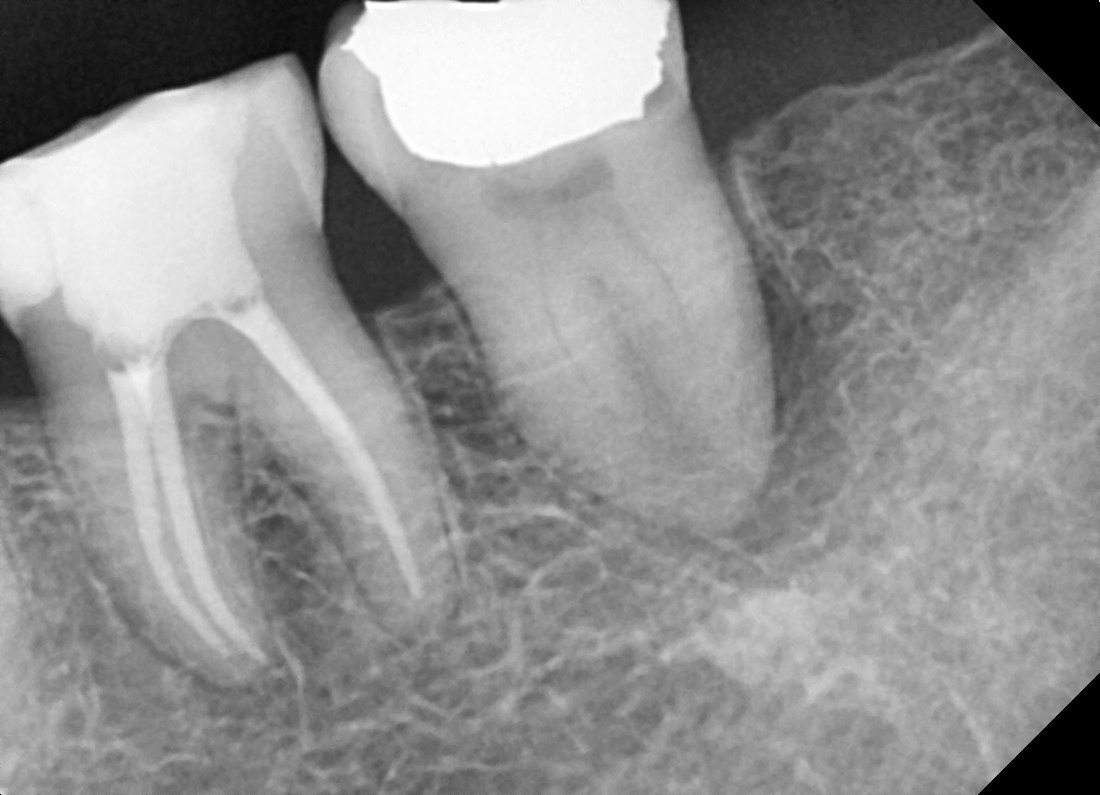
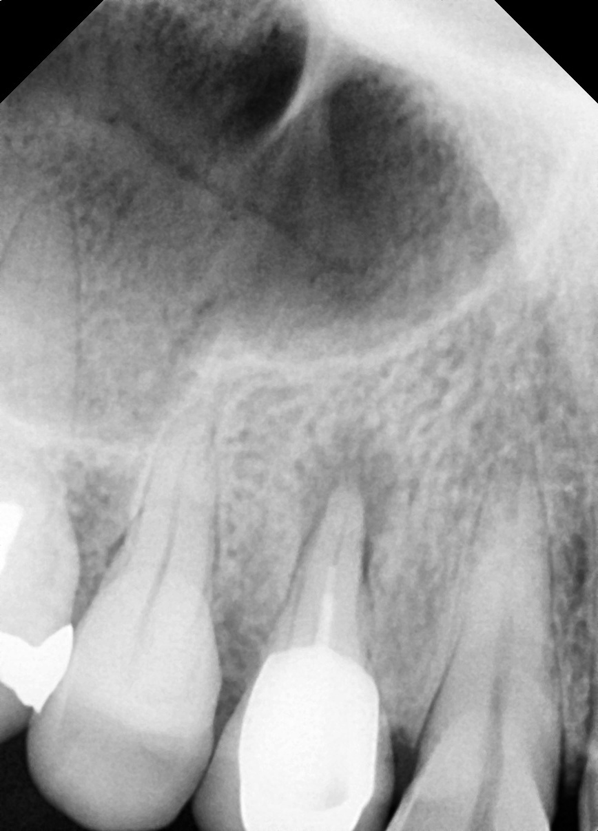
치근단병소 치유
뿌리 끝 염증으로 발치 권유받은 어금니

Before

After
신경치료 1년 2개월 후 치근단병소 완전 치유
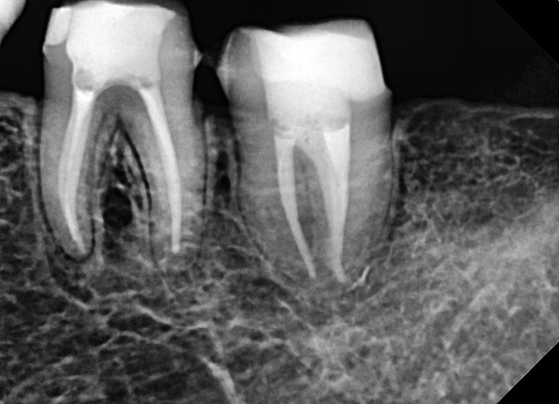
치근단병소 치유
심한 염증으로 고름이 찬 어금니

Before

After
치료 6개월 후 치근단병소 완전 치유
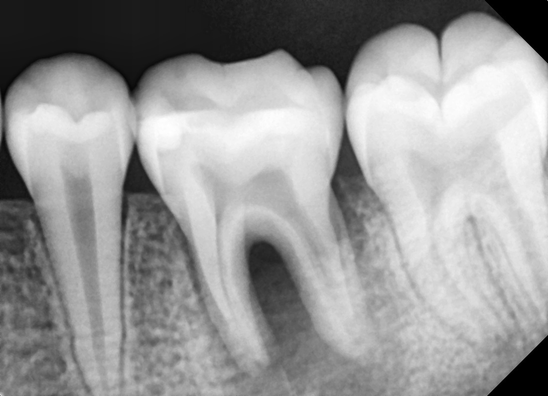
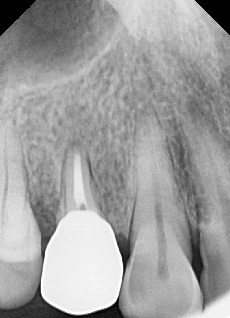
재신경치료
다른 병원 치료 후 재발한 어금니

Before

After
재신경치료로 추가 근관을 찾아 1년 9개월 후 완치
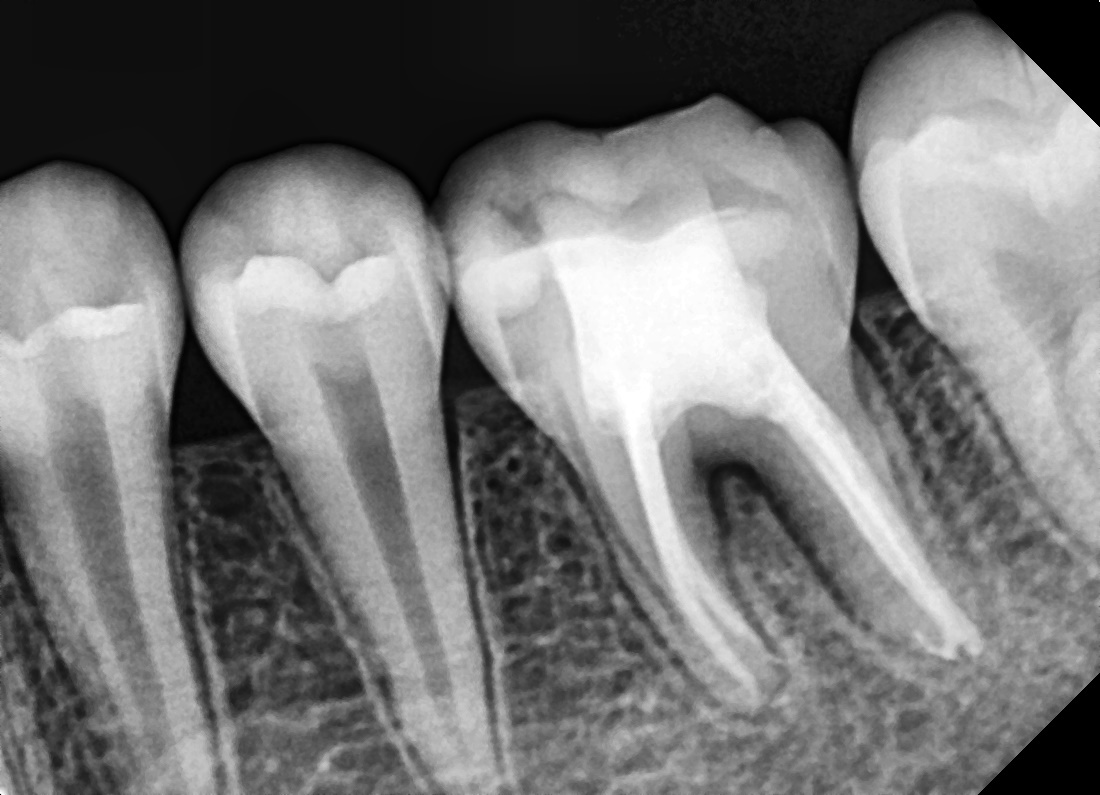
치근단절제술
뿌리 끝까지 염증이 번진 앞니

Before

After
재신경치료 및 치근단절제술 후 병소 완치
“
임플란트 말고 살릴 수 있는 방법 없을까요?
다른 곳에선 무조건 뽑자고 하더라구요...
보존 치료는 시간이 오래 걸리고 수익이 적어
많은 치과에서 기피하는 것이 현실입니다
우리가 살리는 치료
오직 환자와 치아 보존을 위한
치료 과정과 장비가 준비되어 있습니다
충치 치료
초기 충치 치료
큐레이 진단으로 숨은 충치까지 발견
레진 치료
자연 치아와 동일 색상으로 심미적 복원
인레이 · 온레이
넓은 충치도 발치없이 정밀 보존 치료
신경 치료
통증 완화
심한 치통 제거로 편안한 일상 회복
치아 보존
발치없이 자연 치아 살리기
미세 현미경 시술
보존과 전문의의 정밀 치료
전문 장비

큐레이 진단 장비
무해한 가시 광선으로
숨은 충치 발견

미세 현미경 치료
치과의사의 눈으로 확인할 수 없는
작은 부분까지 놓치지 않습니다
충치/치아파절 등을 정확히 진단합니다
치아를 최대 25배까지 확대하여 정밀하게 치료합니다
치료한 치아의 재발과 부작용을 최소화 합니다
정밀한 치료로 주변 조직의 손상을 최소화 합니다
일부 대학병원과 치과에서만 보유하고 있는 미세현미경은 치과의사의 눈으로 확인하기 힘든 작은 부분까지 보여주어 난이도 높은 보존치료를 효율적으로 하게 해줍니다.
미세현미경으로 보이는 것들



신경관 확보
치아 뿌리
염증 원인 발견
크랙 발견
💡 타 치과에서 어려운 신경 치료도 의뢰받아 치료합니다
24시간 완성
디지털 인레이 시스템
디지털 스캔과 원내기공소로
빠른 치료 완성을 지향합니다

정밀한 디지털 스캔
구강 스캐너로 치아를 정밀하게 3D 스캔하여 환자분의 치아 형태를 완벽하게 파악합니다
불편한 본뜨기 과정 없이 더욱 정확하고 편안한 치료가 가능하며 디지털 데이터로 즉시 보철물 제작에 활용됩니다
원내 밀링머신 제작
디지털 스캔 데이터를 바탕으로 원내 밀링머신에서 고품질 세라믹 블록을 정밀하게 깎아냅니다
외부 기공소를 거치지 않아 시간이 단축되며 24시간 내 치료가 가능합니다

원내기공소가 없다면?
외부 기공소에 보철물 제작을 의뢰하게 되어 최소 5-7일이 소요됩니다
여러 번 방문해야 하고 임시 보철물을 사용하는 불편함이 있으며 미세한 조정이 어렵습니다
빠른 치료 완성
1회 방문으로 치료가 완료되어 바쁜 일상을 방해하지 않습니다
정밀한 보철물
디지털 스캔과 밀링머신으로 완벽하게 맞춤 제작됩니다
즉시 사용 가능
임시 보철물 없이 바로 일반 식사가 가능합니다
치과 치료,
아프지 않을까요?
의식하진정요법으로
자면서 치료받으세요
의식하진정요법이란?
약간 졸린 듯한 상태에서 시술을 받게 되고, 시술하는 동안 일어난 일들을 잘 기억하지 못하게 되는 치료법입니다.
의식이 있는 상태에서 편안하게 긴장상태를 풀어주기 때문에 치료 중에도 자신의 상태를 표현하고 반응할 수 있어 그만큼 안전합니다.
안전성
의식이 유지된 상태에서 시술
전문의가 혈압, 맥박, 산소포화도 체크
세계적으로 인정된 약물 사용
전신마취가 아니므로 후유증과 부작용이 현저히 낮음
언제든 깨어날 수 있게 해주는 역전약물 구비
치과치료 중 공포와 불안으로 인한 갑작스러운 움직임을 미연에 방지
편안함
간단한 주사로 진정요법이 가능
시술이 끝나면 시술 중 편안한 느낌만 남음
편안하고 안정된 기억만 남아 치과치료에 자신감이 생김
비용 부담이 적고 간단하게 시술 가능
💡 아무나 할 수 없는 특별한 치료
의식하진정요법은 단순한 치료가 아닙니다. 전문 교육을 이수한 의료진과 환자 모니터링 장비, 응급장비 등이 갖춰진 치과에서만 시행할 수 있는 전문적인 치료법입니다.



환자 모니터링 장비
마취 진행 과정
도포/가글마취
마취 전 주사 바늘의 통증을
없애기 위한 표면 마취
통증완화 전동마취기
컴퓨터가 자동으로 주입 속도를 조절하여
통증을 최소화
신경관마취기
신경 가까이 직접 마취하여
완벽한 통증 완화 치료 완성
발치?
아직 이릅니다!
보존과 전문의가 끝까지 살립니다

배인혜
보존과원장
치과의사 약사 복수면허
보건복지부인증 치과보존과 전문의
- 부산대학교치과병원 치과보존과 레지던트 수료
- 부산대학교 치의학전문대학원 박사 수료
(치과보존학) - 치의학전문대학원 치의학 석사, 수석 졸업
- 대학치과보존학회 정회원
- 대한치과근관치료학회 정회원
- 한국접착치의학회 정회원
- 대한치과재료학회 회원
- 대한심미치과학회 회원
- 전)굿스마일치과 원장
- 전)플란트치과 원장
자연치아를 지키기 위한
특별한 보존치료
자연치아를 살리는 것이 치과의사의 사명으로 여기고 자연치아를 최대한 살리고 보존합니다.
신경치료, 재신경치료
섬세한 술식이 요구되는 신경치료는 치과보존과의 전문 영역입니다.
치수 재생술
일명 어린이 신경치료라 불리는 치수 재생술은 성장이 멈춰버린 영구치의 신경을 되살려 치아 뿌리를 계속 자라게 해줍니다.
외상 치아 처치
다양한 임상경험을 통해 외상 후 치아의 예후를 미리 진단하고 신속히 대응합니다.
치근단 절제술
미세현미경을 이용하여 이전에는 발치해야했던 치아 뿌리의 염증을 제거하여 보존하는 치료입니다.
치아 재식술
치아를 발치 후 염증 원인이 되는 부분을 제거하고 다시 심어주는 치료입니다.
💡 보존과 전문의로서 모든 진료에 대한 풍부한 경험을 바탕으로, 환자분과 충분한 상담을 통해 가장 필요한 치료를 진행합니다.

자연치아를 살리기 위한 선택
뽑지 않고 끝까지 보존하기 위해
대학병원급 미세현미경으로 정밀하게 치료합니다
보존 철학을 지키는 치과
치아는 한 번 잃으면 다시는 돌아오지 않습니다
1개라도 더 살리는 것이 진짜 전문의의 사명입니다
일반 치과
수익성 중심
발치/임플란트 권장
시술 빠르게 종료
일반 진료의 집도
고비용 임플란트 유도
메디스치과
보존 중심
자연치 보존 우선
정밀 진단 단계별 치료
보존과 전문의 직접 집도
보험 적용 우선
환자 부담 최소화
보존 전문의와 통합치의학 전문의 협진
경성 메디스치과
최고의 의료진

김동석
대표원장통합치의학 석사
보건복지부 인증 통합치의학 전문의
- 서울대학교 치의학대학원 고급치의학 수료
- 서울대학교 치의학대학원 임플란트 치의학 수료
- 세계구강임플란트학회 이사
- 대한구강악안면임플란트학회 이사
- 미국 텍사스 A&M 치과대학 보철 연구회 회원
- 오스템 임플란트 연구 자문의
- 네오 임플란트 연구 자문의
- 하이니스 임플란트 연구 자문의
- 대한심미치과학회 인정의
- 대한통합치의학회 정회원
- 대한치과근관치료학회 정회원
- 심평원 인증 턱관절치료과정 수료

배인혜
보존과원장치과의사 약사 복수면허
보건복지부인증 치과보존과 전문의
- 부산대학교치과병원 치과보존과 레지던트 수료
- 부산대학교 치의학전문대학원 박사 수료(치과보존학)
- 치의학전문대학원 치의학 석사, 수석 졸업
- 대학치과보존학회 정회원
- 대한치과근관치료학회 정회원
- 한국접착치의학회 정회원
- 대한치과재료학회 회원
- 대한심미치과학회 회원
- 전)굿스마일치과 원장
- 전)플란트치과 원장
경성대 메디스가
전국 최고인 이유
1
부산 유명 대학,
기관 공식 지정 병원
믿을 수 있는 대학 및 기관이 선택한 협력 의료기관 입니다



2
메가젠/오스템/네오
임플란트 지정 우수병원
우수 수술병원으로 지정된 것뿐만 아니라
임상 자문의로서 각종 연구활동도 함께 하고 있습니다











3
전국 치과의사 대상
학술 강연
남들이 세미나를 들을 때,
메디스는 세미나를 엽니다.
실력의 차이가 결과의 차이를 만듭니다.

치과의사 대상 임플란트 교육

부산 치과의사회 특별 강연

디지털 임플란트 전문가 과정

디지털 보철 임상 강의

메가젠 디지털 스캔 세미나

오스템 디지털 가이드 수술 강의
4
하이니스 임플란트와
임플란트 전용 장비 개발
하이니스 임플란트와 디지털 전체 임플란트(풀아치 임플란트) 전용 장비 개발도 함께 진행하고 있는 업계에서 인정받는 전문가입니다
5
철저한 위생관리 시스템
감염 걱정 없는 안전한 진료 환경을 만듭니다


15단계 소독/멸균 시스템
매뉴얼에 따른 15단계 소독/멸균 과정을 철저히 지키며, 전 직원 대상 정기 교육을 진행합니다.
1인 1기구 시스템
모든 기구와 장비를 매뉴얼에 맞춰 소독/멸균하며, 1회용 진료기구는 절대 재사용하지 않습니다.
전담소독 관리시스템
감염관리 전담 관리자가 상주하며 모든 기구의 소독/멸균을 철저히 관리합니다.
차아염소산 소독수 시스템
인체에 무해한 차세대 살균소독제 HOCl(차아염소산)을 사용하여 안심하고 진료받으실 수 있습니다.
💡 완벽한 소독/멸균으로 감염 걱정 없는 안전한 진료
병원 시설







편안한 주차 공간 완비
넓고 쾌적한 주차장

메디스치과는 고객님의 편의를 최우선으로 생각합니다.
편안한 주차 환경부터 쾌적한 진료 공간까지,
고객 중심의 치과를 만들어갑니다.
진료시간
예약 문의
하단 버튼을 통해 AI 예약, 전화 상담, 또는 네이버 예약을 이용하실 수 있습니다.
자주 묻는 질문
다른 곳에서 발치하라는데 살릴 수 있나요?
네, 가능성이 높습니다. 경성 메디스 치과는 보존과 전문의가 미세현미경으로 25배 확대하여 정밀 진단합니다. 일반 치과에서 보이지 않던 살릴 방법을 찾을 수 있으며, 자연치아를 살리는 것이 보존과 전문의의 사명입니다. 정밀 진단 후 최선의 방법을 안내해 드립니다.
신경치료, 아프지 않나요?
최신 통증 완화 마취 시스템과 미세현미경으로 통증을 최소화합니다. 불안하신 분은 의식하진정요법(수면마취)으로 편안하게 시술받으실 수 있습니다. 보존과 전문의의 정밀한 치료로 재발과 부작용을 최소화하며, 치료 후 지속적으로 관리해 드립니다.
충치 치료, 시간이 오래 걸리나요?
초기 충치는 레진 치료로 빠르게 완료되며, 넓은 충치는 인레이 시스템으로 24시간 내 치료가 가능합니다. 신경치료가 필요한 경우 2-3회 내원이 필요하지만, 미세현미경 정밀 치료로 치료 횟수를 최소화합니다. 개인의 구강 상태에 따라 정확한 기간을 안내해 드립니다.
미세현미경 치료가 일반 치료와 어떻게 다른가요?
미세현미경은 치아를 25배까지 확대하여 육안으로 보이지 않는 충치, 크랙, 신경관까지 정확히 확인합니다. 이를 통해 정밀한 진단과 치료가 가능하며, 재발과 부작용을 최소화하고 주변 조직 손상도 줄입니다. 일부 대학병원과 전문 치과에서만 보유한 장비입니다.
충치 치료, 보험 적용되나요?
네, 대부분의 충치 치료는 건강보험이 적용됩니다. 레진 치료, 신경치료, 크라운 등 기본 치료는 보험 혜택을 받으실 수 있으며, 인레이/온레이는 본인 부담이 발생할 수 있습니다. 초진 시 정확한 비용과 보험 적용 여부를 상세히 안내해 드립니다.

