牙龈疾病,
不仅仅是口腔问题
严重影响全身健康的
牙龈疾病危险性
80
%
成人牙龈疾病患病率
韩国牙周病学会 2024
14
% 减少
洁牙后心血管疾病减少
盆唐首尔大学医院 2024
6
倍
牙周炎时血糖控制失败
天主教大学医学院 2023
通过本视频了解
牙龈健康的一切
从牙周疾病的病因到治疗方法,
再到预防措施,一次性全面讲解
“
如果牙龈炎症
扩散到全身...
放任不管会扩散到多种疾病的风险很大
心血管疾病风险增加3倍↑
牙周细菌侵入血管
引发血管壁炎症
促进血栓形成
心脏病减少10%
定期口腔检查
心肌梗塞风险2.8倍
脑卒中风险减少16% (每年洗牙1次)
盆唐首尔大学医院研究团队 2024,美国心脏协会 AHA 2020
糖尿病恶化·并发症增加
牙龈炎症
胰岛素抵抗增加
血糖控制失败
HbA1c降低0.4% (牙周治疗时)
糖尿病并发症进展快2倍
有牙周炎血糖控制失败增加6倍
天主教大学恩平圣母医院研究 2023,韩国糖尿病学会
痴呆风险增加70%↑
牙周细菌穿过血脑屏障
脑部炎症
β淀粉样蛋白积累
40%阿尔茨海默病患者发现牙周细菌
放任10年以上痴呆风险急增
哈佛大学Kantarci博士团队 2024,Journal of Neuroinflammation
妊娠并发症风险增加7倍↑
炎症物质通过胎盘
引发早期阵痛
早产及低体重儿
早产风险增加7倍
低体重儿(2kg以下)出生增加2倍
可能影响孩子发育·学习能力
美国·欧洲牙周病学会
好牙科的标准
积极进行牙龈治疗的牙科
才是好牙科
许多医院不愿进行
牙龈治疗的原因
拔牙后种植牙的收益更高
患者不喜欢牙龈治疗的疼痛
治疗后最终拔牙担心投诉
时间和努力相比收益较少
我们医院坚持
牙龈治疗的原因
保留天然牙齿始终是第一位
4阶段镇痛麻醉舒适治疗
牙体牙髓科专家协诊高成功率
患者的终身牙齿健康最优先
保留天然牙齿
是最好的治疗
即使稍有不便,通过定期牙龈治疗
保护天然牙齿
是比种植牙更有价值的选择
只刷牙和洗牙
不够吗?
两种管理都非常重要
但完美的管理很困难
刷牙
每天必须
可保持牙齿表面清洁
无法去除牙结石
无法触及牙龈线下方
洗牙
每年1次必须
去除龈上牙结石
预防和轻度治疗
深层部位有限制
牙龈治疗
必要时追加
龈下深层治疗
根面平整术使牙根光滑
进展性疾病治疗
洗牙
vs
牙龈治疗
| 洗牙 | 牙龈治疗 | |
| 范围 | 龈上 (牙龈上方) | 龈下 (牙龈下方) |
| 内容 | 去除牙结石 及牙菌斑 | 使用刮治器 抗生素软膏 |
| 目的 | 预防及 轻度治疗 | 预防及 中重度以上 |
| 必要 | 一般 不需要 | 需要 局部麻醉 |
| 适用 | 每年1次 19岁以上 | 需要治疗时 分次进行 |
| 对象 | 所有成人 必须管理 | 有牙龈疾病 的情况 |
庆星大学 Medis独有的
牙龈治疗系统

NSK varios 970 特殊设备
日本NSK公司最新超声波洁牙机,精确去除牙龈深处细菌
iPiezo引擎 : 自动频率调节保障稳定输出
超精密头 : 可触及牙周袋深处

Periocline抗生素软膏治疗
米诺环素成分的局部抗生素,直接注入牙龈深处进行治疗
临床验证 : 国内外多个研究团队临床试验认证效果
持续一周 : 一次注射药效维持一周
细菌减少 : Red Complex细菌从87.5%降至12.5%

4阶段镇痛系统
"牙科治疗竟然可以这么舒适"
让许多患者惊讶的分阶段疼痛阻断系统
漱口麻醉 : 用麻醉液漱口使整个口腔第一次钝化
涂抹麻醉 : 在注射部位涂抹麻醉软膏进行第二次阻断
镇痛电动麻醉器 : 电脑控制匀速注射减轻疼痛
神经管麻醉器 : 深层部位完美镇痛阻断
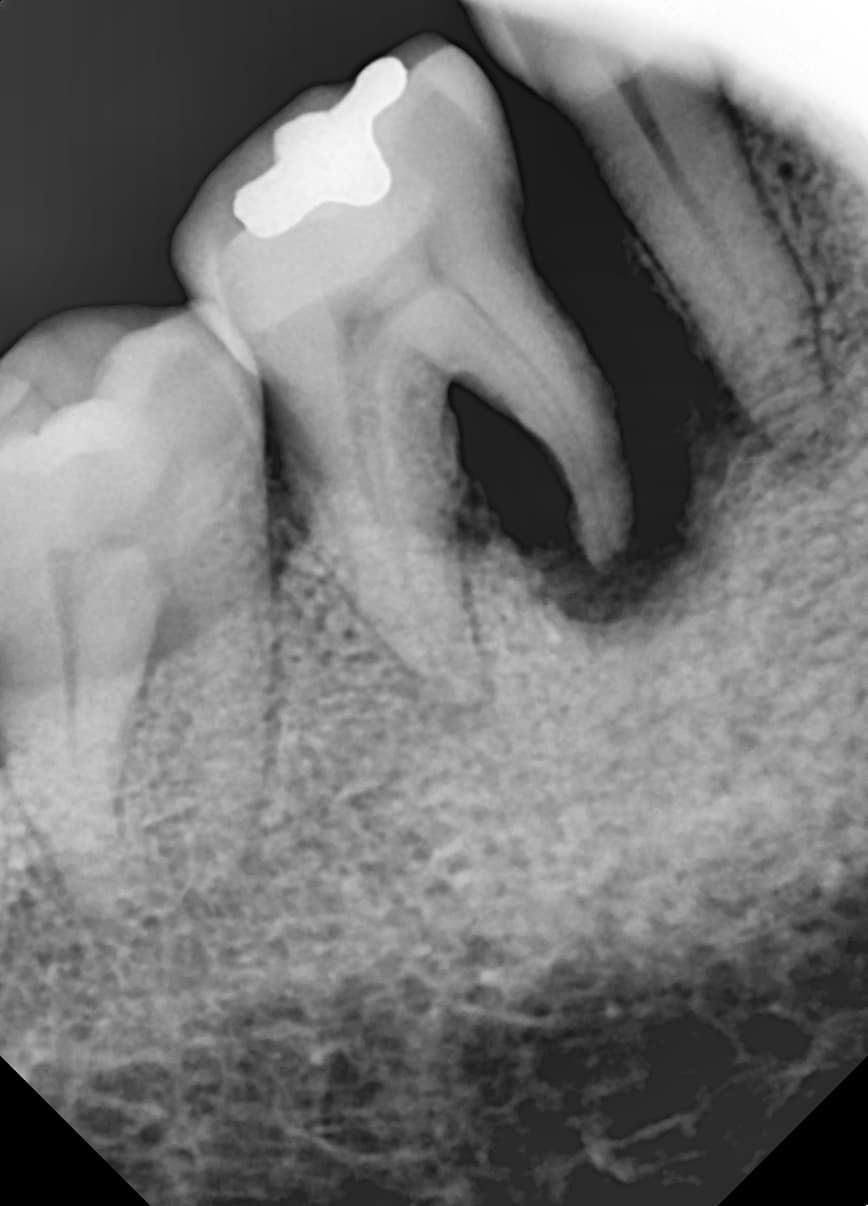
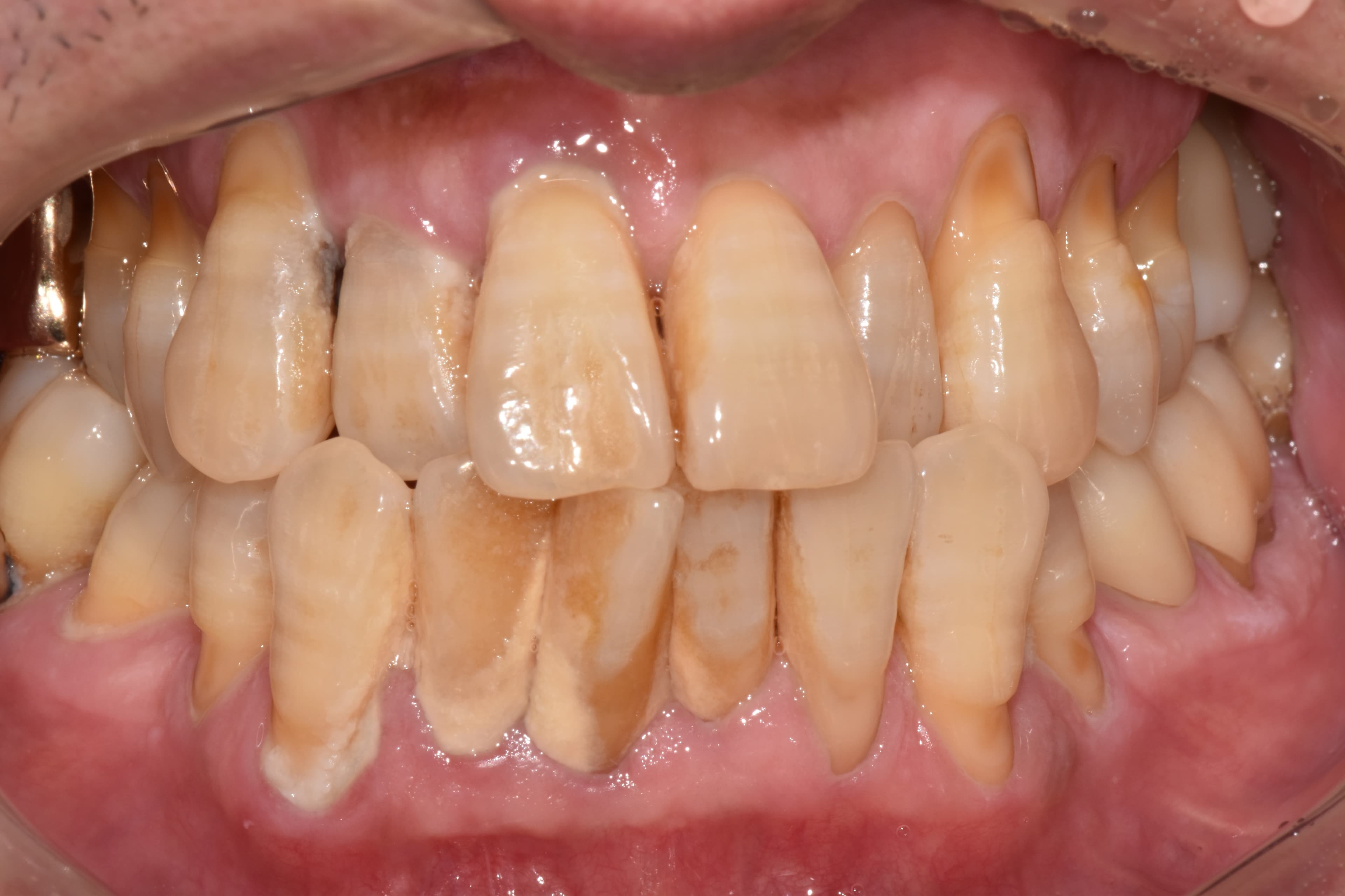
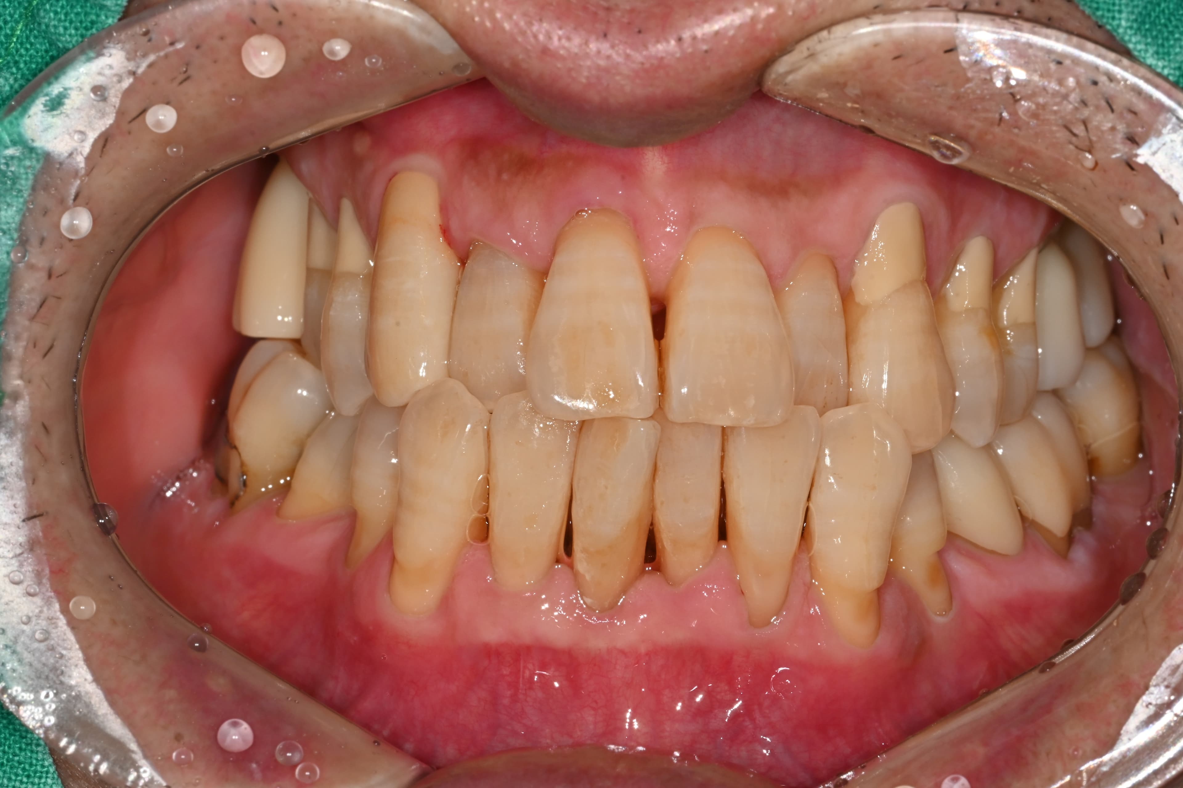
实际治疗案例
通过定期牙龈治疗不需要种植牙保持健康牙齿
"骨质严重流失
牙龈治疗后骨质得到恢复"

Before

After
严重牙龈病导致骨质大量流失的状态
牙龈治疗和骨移植再生后植入种植牙
"多亏定期管理
50多岁所有牙齿都很健康"

Before

After
牙结石和牙龈炎症严重的状态
通过定期洗牙和管理保持健康
各专科医生协作
庆星美迪斯牙科
专业医疗团队

金东锡 院长
院长综合牙科医学硕士
保健福祉部认证 综合牙科专科医生
- 首尔大学牙医学研究生院 高级牙科学
- 首尔大学牙医学研究生院 种植牙科学
- 世界口腔种植学大会 理事
- 韩国颌面种植学会 理事
- 德州农工大学修复牙科研究小组 成员
- Osstem种植体 研究顾问
- Neo种植体 研究顾问
- Hiossen种植体 研究顾问
- 韩国美容牙科学会 认证会员
- 韩国综合牙科学会 正式会员
- 韩国保守牙科学会 正式会员
- 健康保险审查评价院 颞下颌关节治疗认证

裴仁惠 院长
保守治疗专科医生双证:牙医师 & 药剂师
保健福祉部认证 保守治疗专科医生
- 釜山大学牙科医院 保守治疗科 住院医师
- 釜山大学牙医学院 保守治疗学博士在读
- 牙医学硕士 最优秀毕业
- 韩国保守牙科学会 正式会员
- 韩国牙髓学会 正式会员
- 韩国粘接牙科学会 正式会员
- 韩国牙科材料学会 会员
- 韩国美容牙科学会 会员
- Good Smile牙科 前院长
- Plant牙科 前院长
为什么庆星美迪斯
是韩国最好的牙科
1
名牌大学
官方指定医院
被著名大学和机构选定的可信赖的合作医疗机构



2
Megagen/Osstem/Neo
卓越认证医院
不仅被指定为卓越手术医院
还作为临床顾问积极参与研究




3
为全国牙科医生
授课讲学
在主要种植牙研讨会和学术大会上分享专业知识和技术

牙科医生种植牙教育

釜山牙科协会特别讲座

数字化种植牙专家课程

数字化修复临床讲座

Megagen数字化扫描研讨会

Osstem数字化导板手术讲座
医院设施







便利的停车设施
宽敞舒适的停车场

美迪斯牙科把患者的便利放在第一位。
从舒适的停车场到舒适的治疗空间,
我们打造以患者为中心的牙科诊所。
营业时间
预约咨询
请使用下方按钮进行AI咨询、电话咨询或Naver预约。
Frequently Asked Questions
스케일링만 받으면 충분하지 않나요?
스케일링은 치석 제거의 첫 단계입니다. 하지만 잇몸질환이 진행된 경우, NSK varios 970 같은 특수장비로 잇몸 깊숙한 세균까지 제거하는 정밀 치료가 필요합니다. 6개월 간격으로 잇몸치료를 받으시면 자연치아를 오래 보존할 수 있습니다.
잇몸치료가 아프다던데 괜찮을까요?
걱정하지 마세요. 가글마취, 도포마취, 통증 완화 전동마취기, 신경관마취기까지 4단계 통증완화 시스템을 갖추고 있습니다. 많은 환자분들이 "치과 치료가 이렇게 편할 수도 있구나"라고 놀라워하십니다. 불편함 없이 치료받으실 수 있도록 최선을 다합니다.
얼마나 자주 받아야 하나요?
기본 스케일링은 연 1회(보험 적용), 잇몸치료는 6개월마다 받으시는 것이 이상적입니다. 잇몸 상태가 심한 경우 3개월 간격으로 관리하시면 더욱 효과적입니다. 정기적인 관리로 임플란트 없이도 자연치아를 평생 사용하실 수 있습니다.
보험 적용은 어떻게 되나요?
스케일링은 연 1회 건강보험이 적용됩니다. 잇몸치료가 필요한 경우에는 보험 적용을 받으실 수 있으며, 나누어서 진행됩니다. 자세한 보험 적용 범위는 상담을 통해 안내해드립니다.
왜 다른 치과는 잇몸치료를 안 하려고 하나요?
솔직히 말씀드리면, 잇몸치료보다 임플란트가 수익이 더 좋기 때문입니다. 또한 잇몸치료 후 결국 발치하게 되면 환자분들의 불만이 생길 수 있어 많은 치과가 꺼립니다. 하지만 저희는 자연치아 보존을 최우선으로 하며, 보존과 전문의 협진으로 높은 성공률을 자랑합니다.











