Everything About
Cavity Treatment
Dr. Bae In-hye, Conservative Dentistry Specialist
explains it all
We saved teeth of patients
recommended for extraction
Extraction was recommended elsewhere
but preservation was successful through root canal
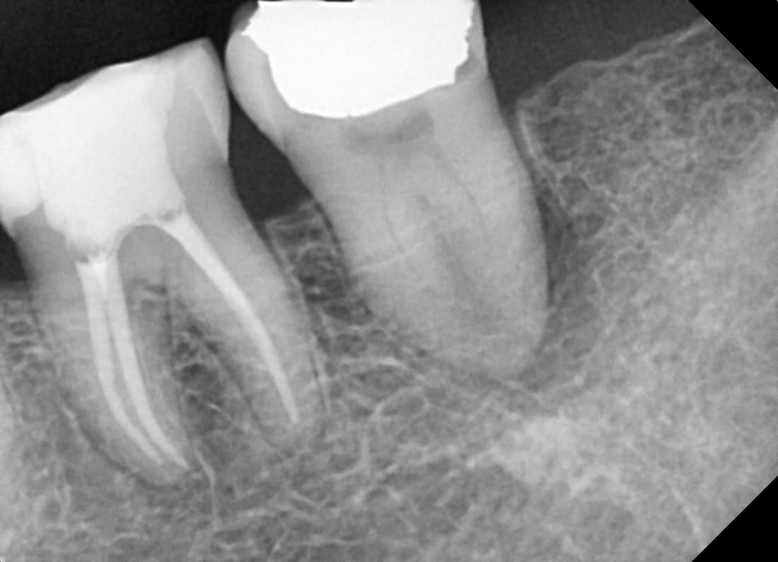
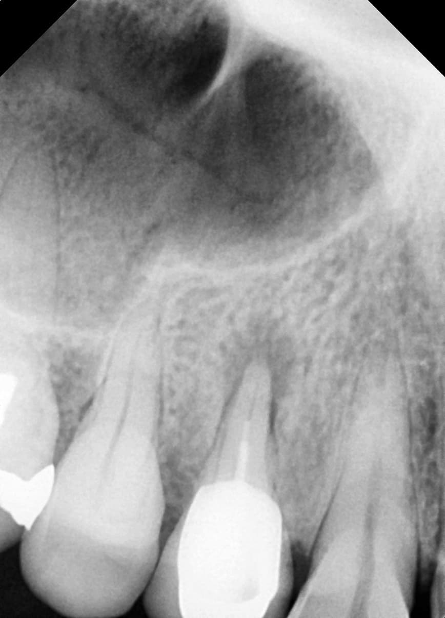
Periapical Lesion Healed
Molar recommended for extraction due to root inflammation

Before

After
Complete healing of periapical lesion 1 year 2 months after root canal
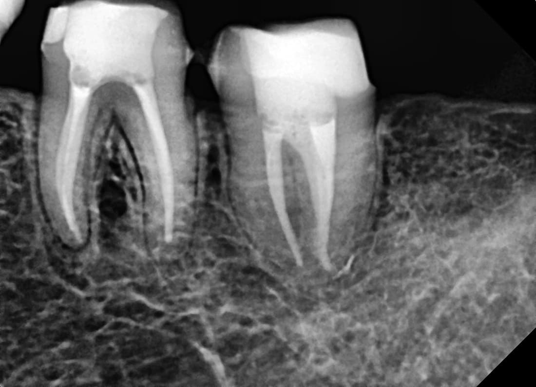
Periapical Lesion Healed
Molar with severe inflammation and pus

Before

After
Complete healing of periapical lesion 6 months after treatment
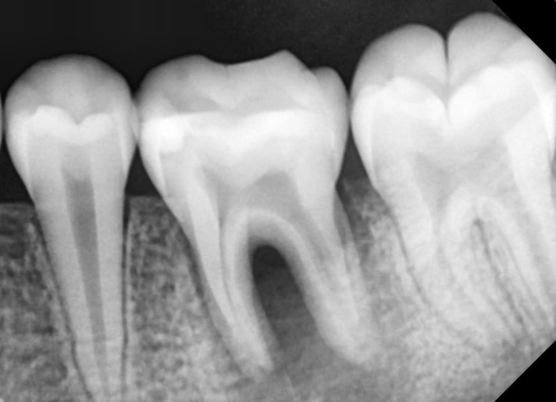
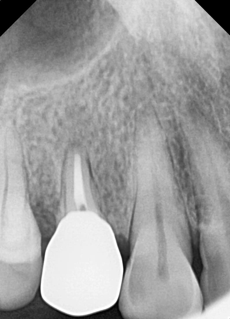
Root Canal Re-treatment
Molar recurrence after treatment elsewhere

Before

After
Complete healing 1 year 9 months after finding additional canal through re-treatment
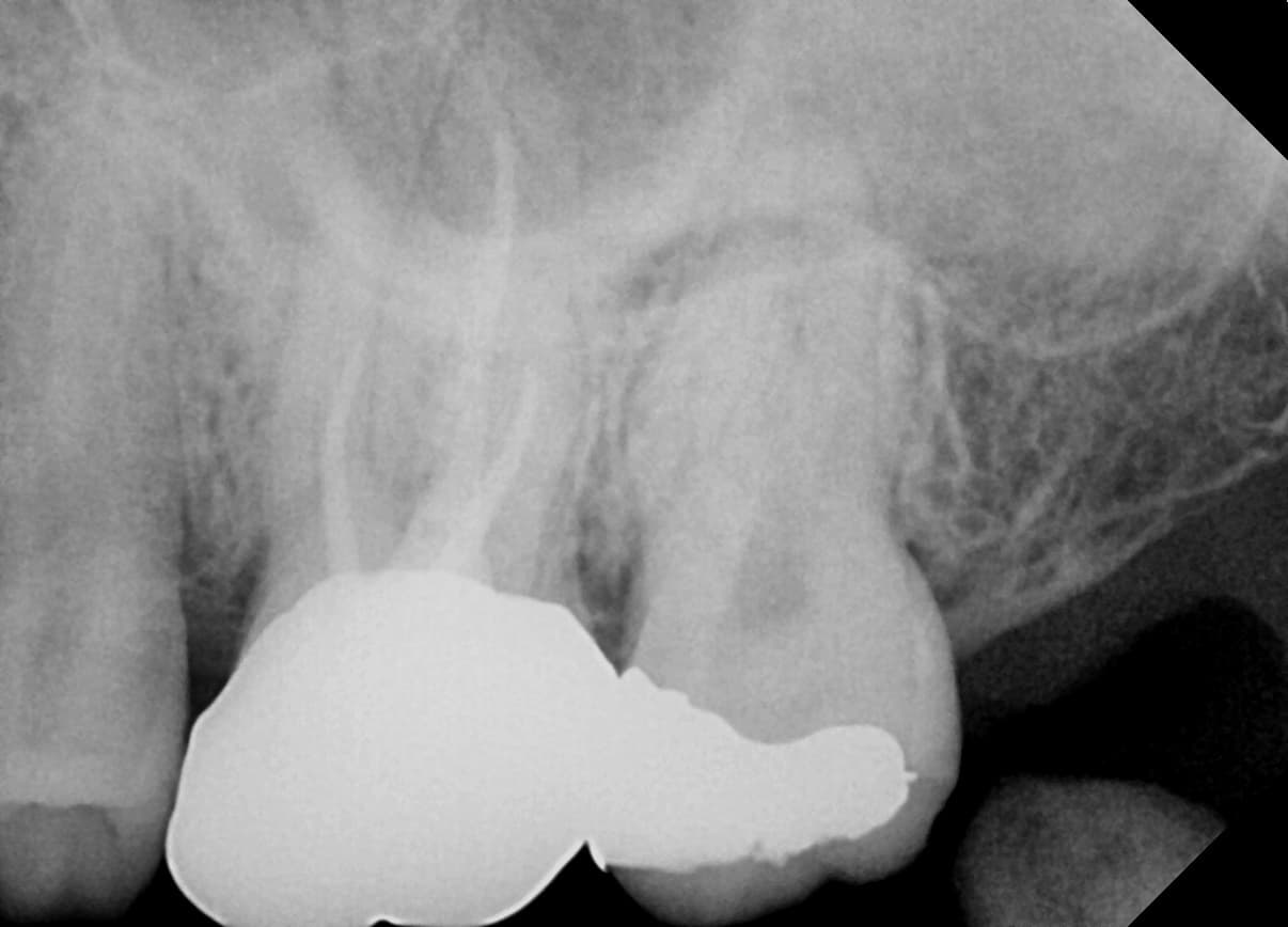
Apicoectomy
Front tooth with inflammation spreading to root tip

Before

After
Complete healing of lesion after root canal re-treatment and apicoectomy
“
Is there a way to save it instead of an implant?
They all said extraction elsewhere...
Preservation treatment takes time and is less profitable
so many dental clinics avoid it
Our Tooth-Saving Treatment
Treatment process and equipment prepared
solely for patients and tooth preservation
Cavity Treatment
Early Cavity Treatment
Detect hidden cavities with Q-ray diagnosis
Resin Treatment
Aesthetic restoration matching natural tooth color
Inlay · Onlay
Precise preservation treatment without extraction
Root Canal Treatment
Pain Relief
Restore comfortable daily life by eliminating severe toothache
Tooth Preservation
Save natural teeth without extraction
Microscopic Treatment
Precise treatment by preservation specialist
Professional Equipment

Q-ray Diagnostic Equipment
Detect hidden cavities
with harmless visible light

Microscopic Treatment
We don't miss even the smallest details
invisible to the naked eye
Accurate diagnosis of cavities and tooth fractures
Precise treatment with up to 25x magnification
Minimize recurrence and side effects of treated teeth
Minimize damage to surrounding tissues with precise treatment
Dental microscopes, available only in select university hospitals and dental clinics, show even the smallest details invisible to the naked eye, enabling efficient preservation treatment of high difficulty.
What's Visible Through the Microscope



Canal Access
Root Inflammation
Discovery
Crack Detection
💡 We also accept referrals for difficult root canal treatments from other clinics
24-Hour Completion
Digital Inlay System
Aiming for fast treatment completion
with digital scan and in-house lab

Precise Digital Scanning
The oral scanner precisely 3D scans your teeth to perfectly capture the tooth structure
More accurate and comfortable treatment without uncomfortable impression-taking, with digital data immediately utilized for prosthetic fabrication
In-house Milling Machine Fabrication
Based on digital scan data, high-quality ceramic blocks are precisely milled in our in-house milling machine
No external lab required, reducing time with treatment possible within 24 hours

Without In-house Lab?
Prosthetic fabrication is outsourced to external labs, taking at least 5-7 days
Multiple visits required with the inconvenience of using temporary prosthetics and difficulty in fine adjustments
Fast Treatment Completion
Treatment completed in a single visit without disrupting your busy schedule
Precise Prosthetics
Digital scan and milling machine for perfectly customized fabrication
Immediate Use
Normal diet immediately possible without temporary prosthetics
Worried About
Dental Pain?
With Conscious Sedation
Sleep Through Treatment
What is Conscious Sedation?
A treatment method where you receive dental care in a slightly drowsy state, with little to no memory of what happened during the procedure.
Since you remain conscious while relaxed and comfortable, you can express yourself and respond during treatment, making it extremely safe.
Safety
Procedure performed while consciousness is maintained
Specialist monitors blood pressure, pulse, and oxygen saturation
Uses globally recognized pharmaceuticals
Not general anesthesia - significantly lower side effects and aftereffects
Reversal medication available to wake you up at any time
Prevents sudden movements caused by fear and anxiety during dental treatment
Comfort
Sedation possible with simple injection
After treatment, only comfortable feelings remain
Only comfortable and stable memories remain, building confidence in dental care
Affordable and simple procedure
💡 A Special Treatment Not Everyone Can Provide
Conscious sedation is not a simple treatment. It can only be performed at dental clinics equipped with professionally trained medical staff and patient monitoring equipment and emergency equipment.



Patient Monitoring Equipment
Anesthesia Process
Topical/Gargle Anesthesia
Surface anesthesia to eliminate
injection needle pain
Computerized Anesthesia Device
Computer automatically controls injection speed
to minimize pain
Nerve Block Anesthesia
Direct anesthesia near the nerve
for complete pain-free treatment
Extraction?
It's too early!
Our preservation specialist saves teeth to the end

Bae In-hye
Preservation Director
Dual licensed Dentist and Pharmacist
Ministry of Health certified Dental Preservation Specialist
- Completed Residency in Conservative Dentistry, Pusan National University Dental Hospital
- PhD Candidate, Pusan National University School of Dentistry
(Conservative Dentistry) - Master of Dentistry, Graduated Top of Class, School of Dentistry
- Member, Korean Academy of Conservative Dentistry
- Member, Korean Academy of Endodontics
- Member, Korean Academy of Adhesive Dentistry
- Member, Korean Academy of Dental Materials
- Member, Korean Academy of Esthetic Dentistry
- Former Director, Good Smile Dental Clinic
- Former Director, Plante Dental Clinic
Special Preservation Treatment
to Protect Natural Teeth
We consider saving natural teeth as our mission as dentists and strive to preserve them as much as possible.
Root Canal Treatment, Re-treatment
Root canal treatment requiring delicate technique is a specialty of conservative dentistry.
Pulp Regeneration
Also known as pediatric root canal treatment, pulp regeneration revives the nerve of stopped permanent teeth to continue root growth.
Traumatic Tooth Treatment
Through diverse clinical experience, we diagnose the prognosis of traumatized teeth in advance and respond quickly.
Apicoectomy
Using a microscope, we remove inflammation from tooth roots that previously required extraction, preserving the tooth.
Tooth Replantation
After extraction, we remove the cause of inflammation and replant the tooth.
💡 As a preservation specialist, we provide the most necessary treatment through thorough consultation with patients based on extensive experience in all procedures.

The Choice to Save Natural Teeth
To preserve without extraction to the end
we treat precisely with university hospital-grade microscope
Clinic Committed to Preservation
Once lost, teeth never return
Saving even one more is a true specialist's mission
General Clinic
Profit-focused
Extraction/implant recommended
Quick treatment completion
General practitioner performed
High-cost implant promotion
Medis Dental
Preservation-focused
Natural tooth preservation priority
Precise diagnosis, staged treatment
Preservation specialist performed
Insurance coverage priority
Minimize patient burden
“So grateful they saved
the tooth I was told to extract”

After
Maintaining natural tooth for 5 years through root canal
Kim●● · Female in 60s
“Natural teeth are much better
than implants”

After
Overcame extraction crisis with gum treatment
Lee●● · Male in 60s
Collaboration Between Specialists
Kyungsung Medis Dental
Expert Medical Team

Dr. Kim Dong-seok
Head DentistMaster of Integrated Dentistry
Ministry of Health certified Integrated Dentistry Specialist
- Seoul National University Graduate School of Dentistry, Advanced Dentistry
- Seoul National University Graduate School of Dentistry, Implant Dentistry
- Board Member, World Congress of Oral Implantology
- Board Member, Korean Academy of Maxillofacial Implantology
- Member, Texas A&M University Prosthodontics Research Group
- Research Consultant, Osstem Implant
- Research Consultant, Neo Implant
- Research Consultant, Hiossen Implant
- Certified Member, Korean Academy of Esthetic Dentistry
- Regular Member, Korean Academy of Integrated Dentistry
- Regular Member, Korean Academy of Conservative Dentistry
- Certified in TMJ Treatment, Health Insurance Review Agency

Dr. Bae In-hye
Conservative Dentistry SpecialistDual License: Dentist & Pharmacist
Ministry of Health certified Conservative Dentistry Specialist
- Resident, Pusan National University Dental Hospital, Conservative Dentistry
- Ph.D. Candidate, Pusan National University School of Dentistry (Conservative Dentistry)
- Master of Dentistry, Valedictorian
- Regular Member, Korean Academy of Conservative Dentistry
- Regular Member, Korean Academy of Endodontology
- Regular Member, Korean Academy of Adhesive Dentistry
- Member, Korean Academy of Dental Materials
- Member, Korean Academy of Esthetic Dentistry
- Former Director, Good Smile Dental Clinic
- Former Director, Plant Dental Clinic
Why Kyungsung Medis
is Korea's Finest
1
Official Hospital
of Prestigious Universities
Trusted partner medical institution chosen by renowned universities and organizations



2
Megagen/Osstem/Neo
Excellence Certified Hospital
Not only designated as an excellence surgical hospital
but also actively participating in research as clinical advisors




3
Lecturing to
Dentists Nationwide
Sharing expertise and techniques at major implant seminars and conferences

Implant Education for Dentists

Busan Dental Association Special Lecture

Digital Implant Expert Course

Digital Prosthetic Clinical Lecture

Megagen Digital Scan Seminar

Osstem Digital Guide Surgery Lecture
Hospital Facilities








Convenient Parking Available
Spacious and comfortable parking lot

Medis Dental prioritizes your convenience above all.
From comfortable parking to pleasant treatment spaces,
we create a patient-centered dental clinic.
Operating Hours
Book an Appointment
Use the buttons below for AI consultation, phone inquiry, or Naver booking.
Frequently Asked Questions
다른 곳에서 발치하라는데 살릴 수 있나요?
네, 가능성이 높습니다. 경성 메디스 치과는 보존과 전문의가 미세현미경으로 25배 확대하여 정밀 진단합니다. 일반 치과에서 보이지 않던 살릴 방법을 찾을 수 있으며, 자연치아를 살리는 것이 보존과 전문의의 사명입니다. 정밀 진단 후 최선의 방법을 안내해 드립니다.
신경치료, 아프지 않나요?
최신 통증 완화 마취 시스템과 미세현미경으로 통증을 최소화합니다. 불안하신 분은 의식하진정요법(수면마취)으로 편안하게 시술받으실 수 있습니다. 보존과 전문의의 정밀한 치료로 재발과 부작용을 최소화하며, 치료 후 지속적으로 관리해 드립니다.
충치 치료, 시간이 오래 걸리나요?
초기 충치는 레진 치료로 빠르게 완료되며, 넓은 충치는 인레이 시스템으로 24시간 내 치료가 가능합니다. 신경치료가 필요한 경우 2-3회 내원이 필요하지만, 미세현미경 정밀 치료로 치료 횟수를 최소화합니다. 개인의 구강 상태에 따라 정확한 기간을 안내해 드립니다.
미세현미경 치료가 일반 치료와 어떻게 다른가요?
미세현미경은 치아를 25배까지 확대하여 육안으로 보이지 않는 충치, 크랙, 신경관까지 정확히 확인합니다. 이를 통해 정밀한 진단과 치료가 가능하며, 재발과 부작용을 최소화하고 주변 조직 손상도 줄입니다. 일부 대학병원과 전문 치과에서만 보유한 장비입니다.
충치 치료, 보험 적용되나요?
네, 대부분의 충치 치료는 건강보험이 적용됩니다. 레진 치료, 신경치료, 크라운 등 기본 치료는 보험 혜택을 받으실 수 있으며, 인레이/온레이는 본인 부담이 발생할 수 있습니다. 초진 시 정확한 비용과 보험 적용 여부를 상세히 안내해 드립니다.