1,000+ Procedures,
Most Whitening Cases
Non-sensitive and safe whitening,
experience effective results
Whitening Expertise
Treatment Cases
Side Effects
“
How Are
Your Teeth?
If these habits continue,
your teeth will become discolored
Coffee
Daily coffee consumption can yellow your teeth
Smoking
Nicotine and tar are main culprits of discoloration
Wine
Tannins in red wine cause tooth staining
Everything About
Professional Teeth Whitening
Why Choose Kyungsung Medis
No-Prep/Minimal-Prep Digital Laminates?
State-of-the-art digital equipment with
2-year warranty for your perfect smile
What are Laminates?
Thin ceramic (porcelain) shells, 0.3-0.7mm thick, bonded to the front surface of teeth
Think of it as 'permanent whitening coating' for your teeth, like nail art on fingernails
24-Hour Completion
Quick procedure for fast return to daily life (Perfect for busy professionals!)
2-Year Warranty
Immediate correction for any damage or discoloration
Affordable Price
Transparent pricing with installment options available
Digital Precision Manufacturing System
Step 1: Digital Precision Virtual Diagnosis
No uncomfortable impressions - we scan your teeth in 3D with an intraoral scanner. Digital data enables accurate diagnosis and simulation.
See Results Before Treatment: Preview your results through virtual diagnosis
Facial Harmony Analysis: Natural smile design that complements your face - no worries about looking too white or artificial
Step 2: Rapid Production with Milling Machine
Advanced milling machine precisely crafts VITA MARK II blocks. Completed within 24 hours using ceramic with strength closest to natural teeth.
Step 3: Precision Laminate Bonding
After verifying the prosthetic in advance, precisely bonded with no-prep or minimal-prep using microscope.
Medis Dental Excellence

Korean Academy of Cosmetic Dentistry Fellow
Fellow is the highest expert level, one rank above general specialists
10+ years professional experience + 100+ successful cases
Published research and academic activities recognized expert
Cosmetic Dentistry Society certified highest level expertise
In-House Lab Collaboration System
Immediate production and adjustments in our own lab
Microscope No-Prep Procedure
Preserving natural teeth with minimal damage
VITA MARK II Premium Block
Strength and color closest to natural teeth
Professional
Hydrogen Peroxide Whitening
Experience safe and effective whitening
with medical-grade high-concentration formula
Osstem Beautis Whitening System
Premium professional whitening system from Korea's #1 implant company Osstem


Beautis 15 Agent: 15% hydrogen peroxide + special activator for rapid whitening
Beautis Light: High-intensity LED light (150-220mW/㎠) maximizes whitening effect
Sensitivity Prevention Formula: Safe formulation minimizing tooth sensitivity
How It Works
Medical-grade high-concentration hydrogen peroxide (15%) penetrates tooth enamel to oxidize and break down staining molecules within the dentin
Staining substances transform into colorless small molecules, resulting in naturally white teeth

Treatment Process
1
Apply gum protection (prevents gum damage)
2
Apply high-concentration whitening agent
3
LED light exposure (15-20 minutes)
4
Repeat 2-3 times (completed same day)
5
Finish with fluoride application
ZERO Tooth Removal
No enamel damage
Immediate Results
2-8 shades brighter right after treatment
Natural Color
Enhancement of your natural tooth color
Why Professional Whitening?
Globally Recognized Safety
Whitening treatment is the safest dental procedure recognized by dentists worldwide. Its safety has been proven through extensive research and clinical studies, and professional whitening performed under dentist supervision has virtually no reported side effects.
Professional
DIY At-Home
15% High Concentration
FDA approved medical-grade
1-4% Low Concentration
Minimal effect
Same Day
3-4 shades brighter
4+ Weeks
Gradual minimal effect
Pre-examination
+ Fluoride treatment
Self-application
Risk of gum burns
Systematic Side Effect Management
Pre-treatment Exam: Safe procedure after checking for cavities and gum disease
Gum Protection: 100% prevention of soft tissue burns with medical-grade protective gel
Post-treatment Care: Fluoride application & remineralization to minimize sensitivity
Doctor Monitoring: Real-time monitoring for safe whitening
Extensive Clinical Experience
With over 1,000 whitening procedures performed, we have extensive expertise in various tooth conditions. We develop customized whitening plans considering staining level, tooth sensitivity, and existing restorations.
Frequently Asked Questions
DIY At-Home Whitening vs
Professional Dental Whitening
Dental clinics use classified as pharmaceutical-grade
high-concentration hydrogen peroxide
Contact with gums can cause damage, so professionals
apply complete protective measures before treatment making it much safer
with immediate visible results
DIY At-Home Whitening
Low Concentration Agent
Over-the-counter with limited effectiveness
Slow Results
Takes weeks to months
Safety Risks
Risk of gum damage if used incorrectly
Uneven Results
Inconsistent whitening effect
Professional Dental Whitening
High-Concentration Medical-Grade
Professional hydrogen peroxide for powerful effect
Immediate Results
Visible change within 1-3 hours
Complete Safety
Gum protection measures prevent damage
Even Whitening
Professional precision treatment
Which Treatment
Is Right for You?
Compare both options
Whitening Options Comparison
| Hydrogen Peroxide | Laminates | |
|---|---|---|
| Duration | 1-2 hours (Same day) | 2-3 visits (1-2 weeks) |
| Longevity | 1-2 years (Extendable with care) | 10-15 years (Semi-permanent) |
| Tooth Prep | None (0mm) | Minimal prep (0.3mm) |
| Price Range | $200-300 (Full mouth) | Per tooth $500-800 |
| Best For | Natural-looking whitening | Perfect smile transformation |
| Precautions | 24-hour avoid staining foods | Avoid hard foods |
What Makes Our Whitening Special
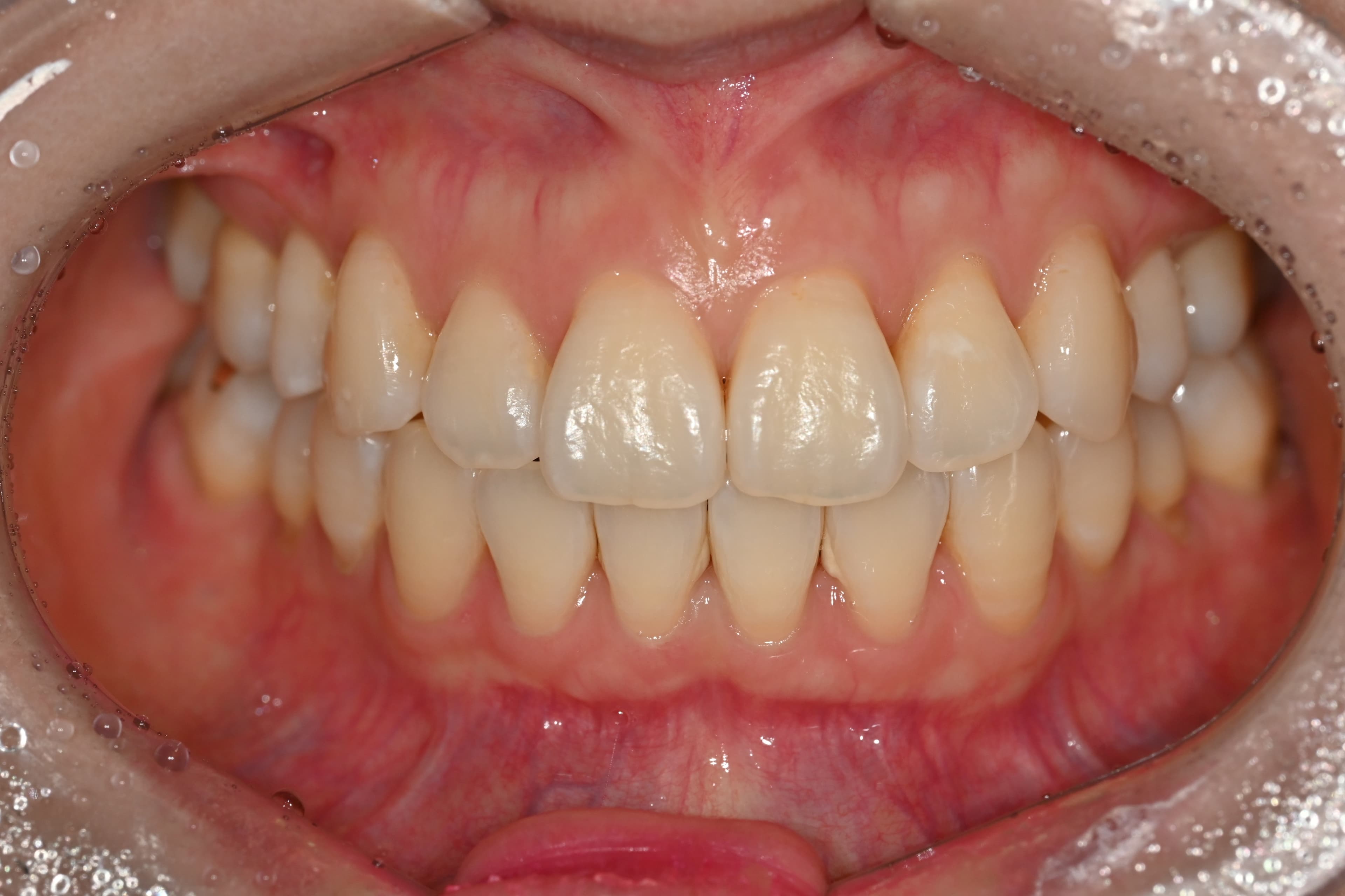
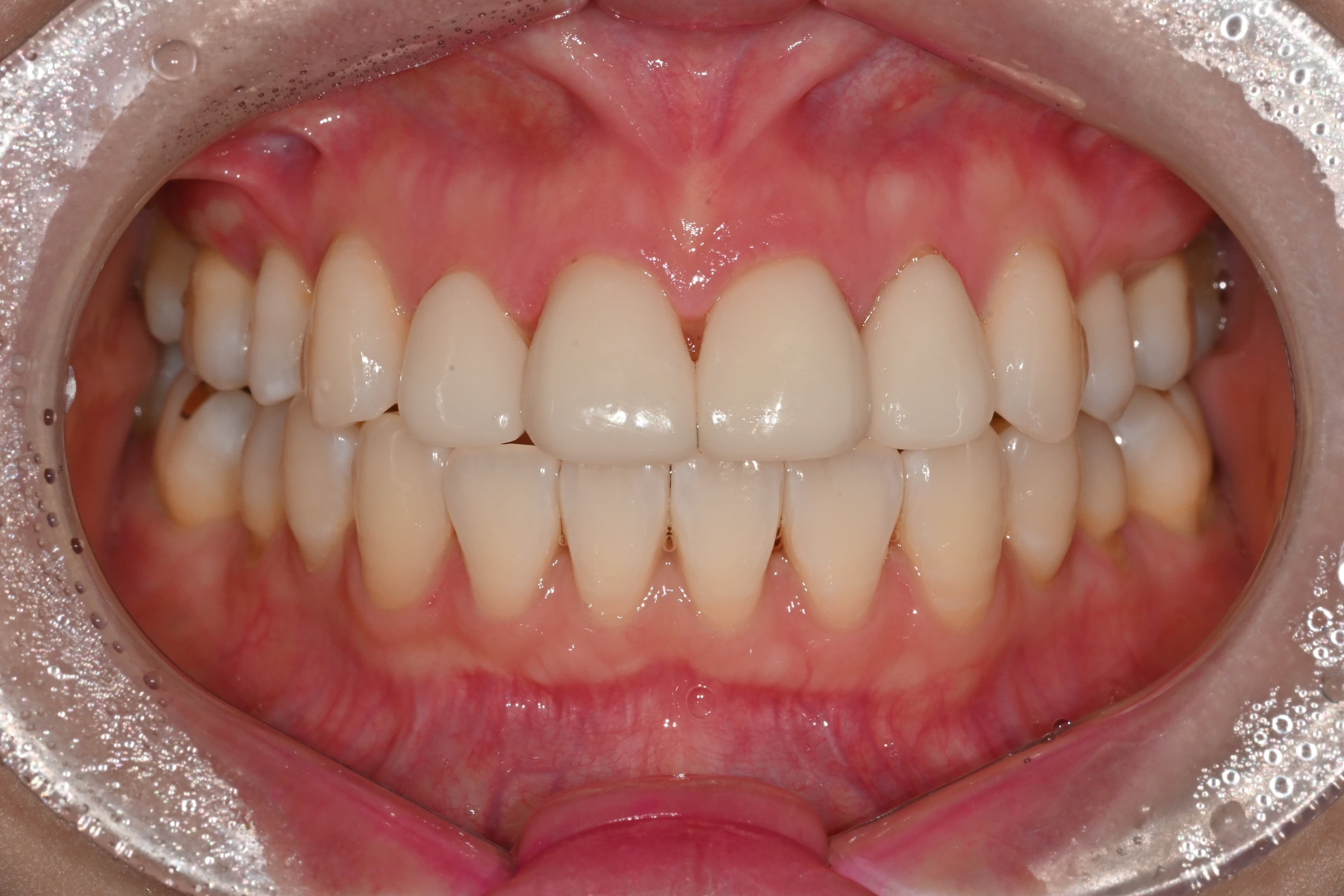
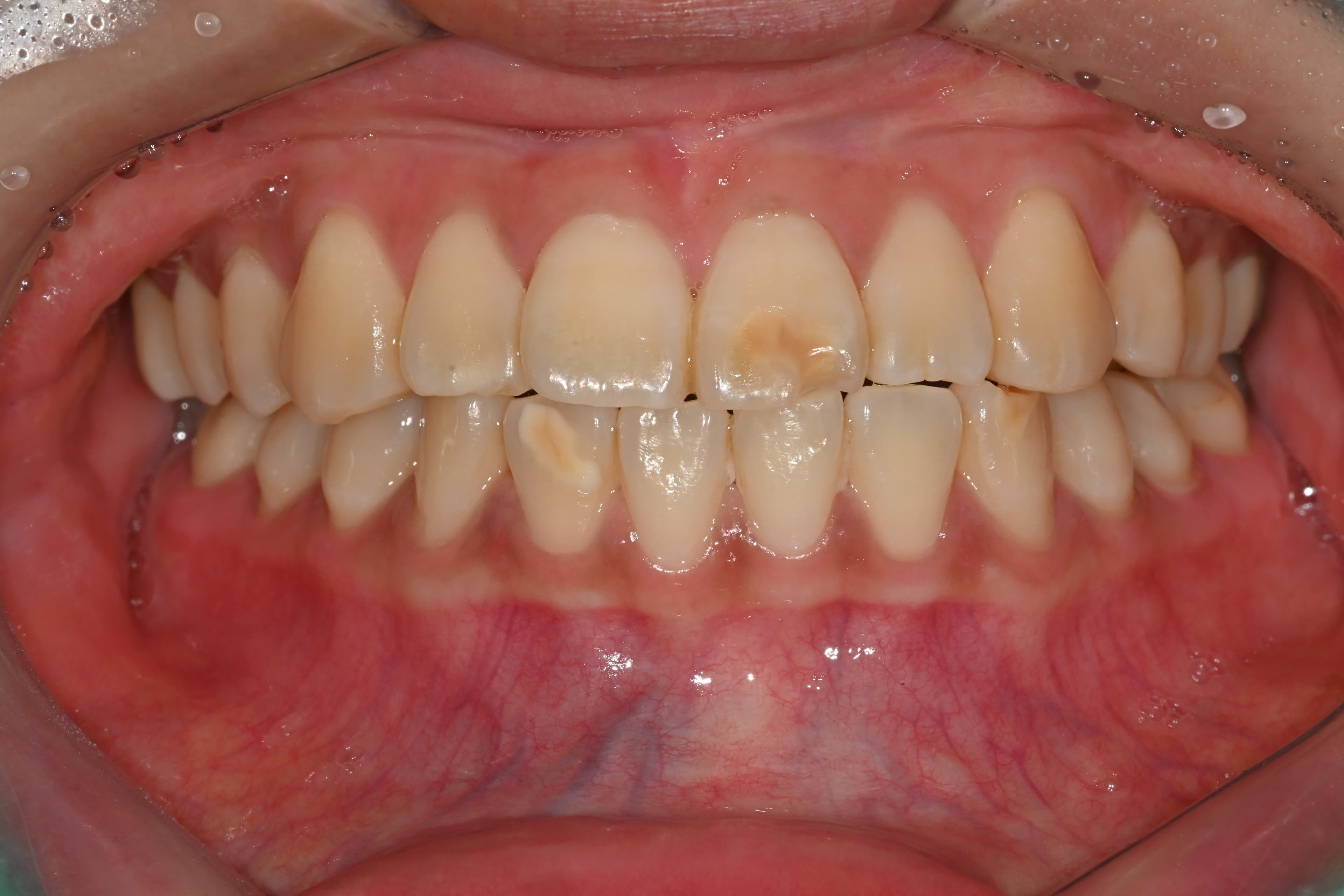
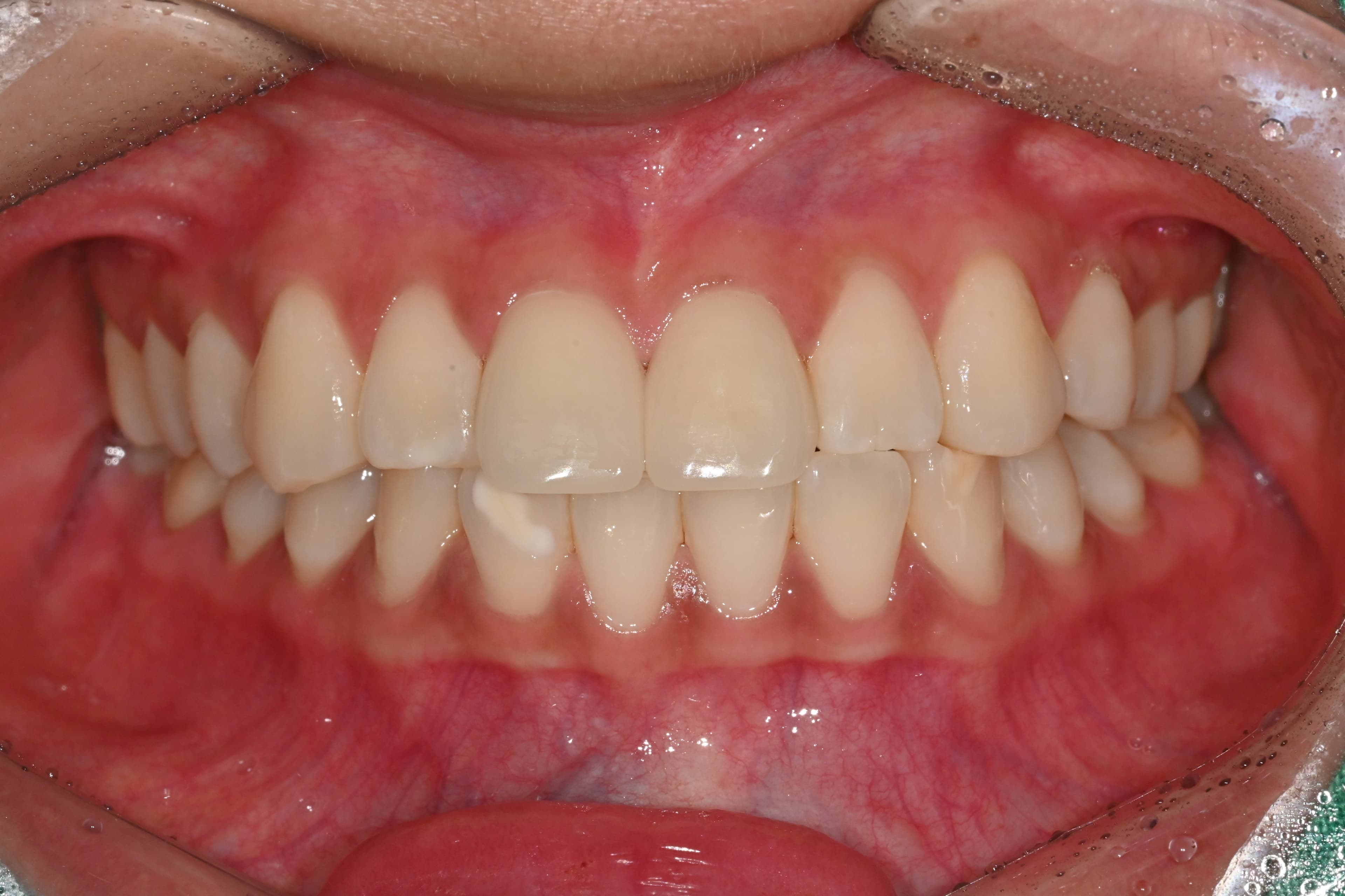
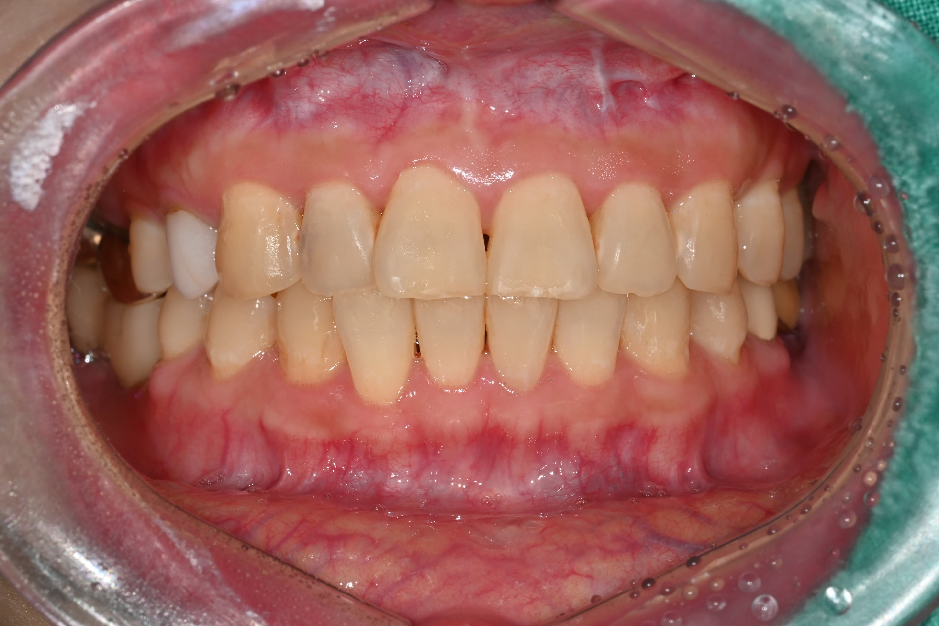
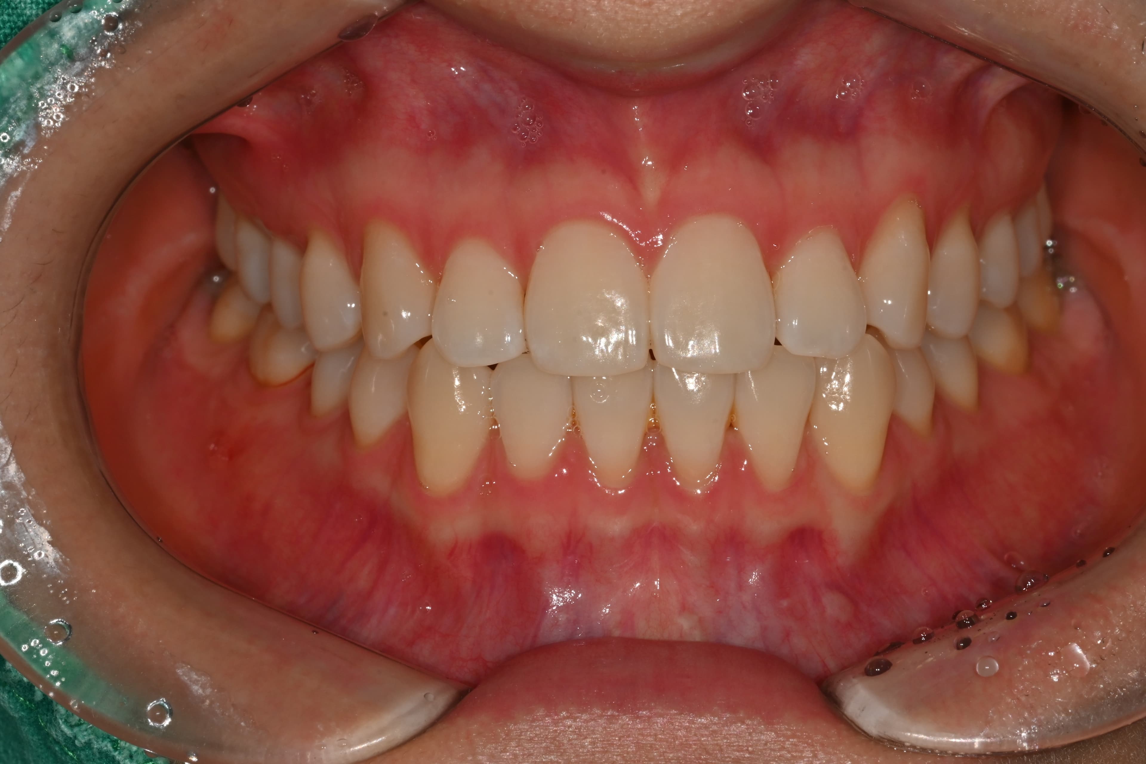
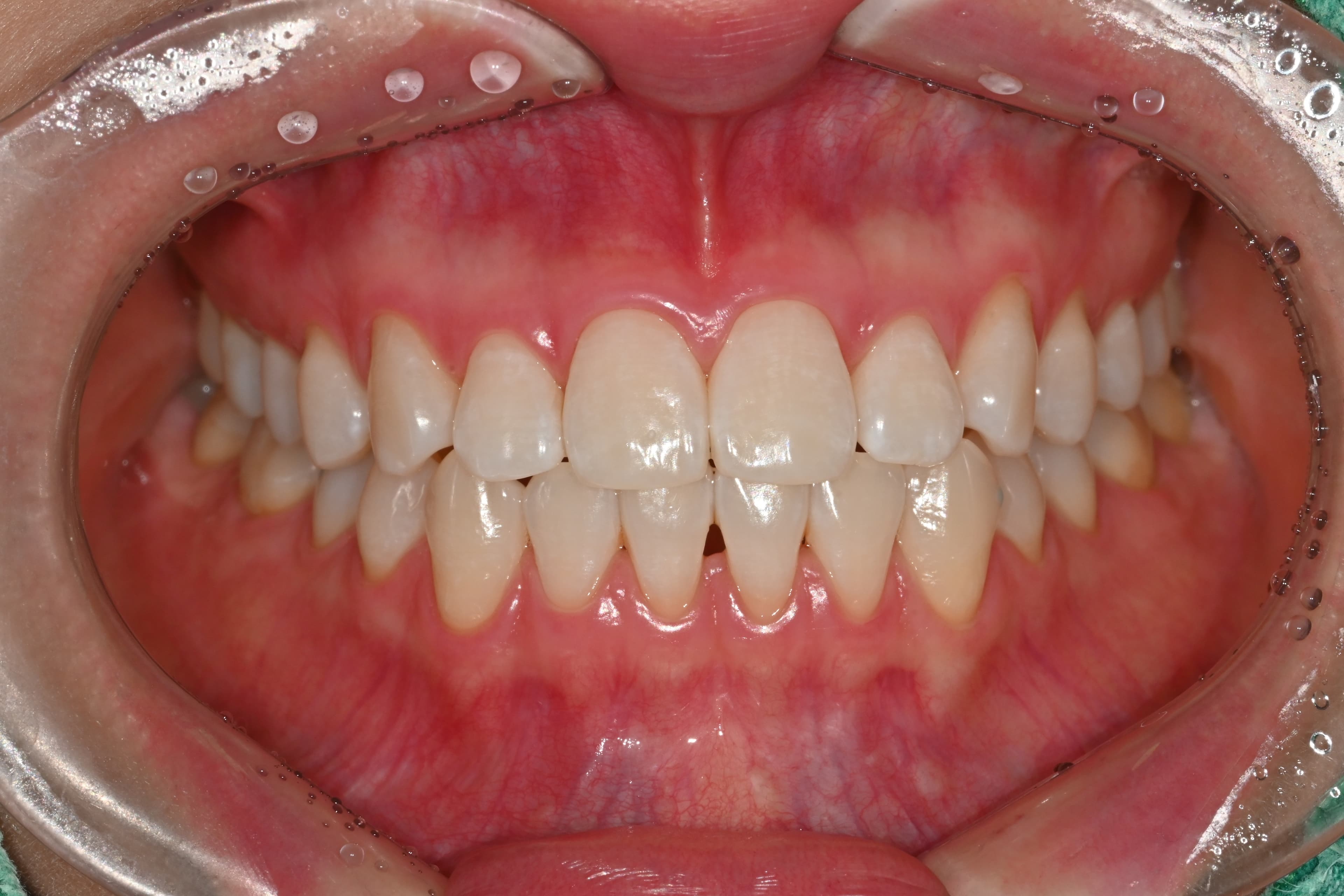
Real Treatment Cases
Proven results from over 1,000 whitening procedures
Haven't Had Your Annual
Scaling Yet?
Get 50% Off Whitening
With National Dental Checkup Scaling!
Standard Whitening
1 cycle per day
50% OFF
Regular Price
50%
OFF
Fast Results
Post-Treatment Care Included
Collaboration Between Specialists
Kyungsung Medis Dental
Expert Medical Team

Dr. Kim Dong-seok
Head DentistMaster of Integrated Dentistry
Ministry of Health certified Integrated Dentistry Specialist
- Seoul National University Graduate School of Dentistry, Advanced Dentistry
- Seoul National University Graduate School of Dentistry, Implant Dentistry
- Board Member, World Congress of Oral Implantology
- Board Member, Korean Academy of Maxillofacial Implantology
- Member, Texas A&M University Prosthodontics Research Group
- Research Consultant, Osstem Implant
- Research Consultant, Neo Implant
- Research Consultant, Hiossen Implant
- Certified Member, Korean Academy of Esthetic Dentistry
- Regular Member, Korean Academy of Integrated Dentistry
- Regular Member, Korean Academy of Conservative Dentistry
- Certified in TMJ Treatment, Health Insurance Review Agency

Dr. Bae In-hye
Conservative Dentistry SpecialistDual License: Dentist & Pharmacist
Ministry of Health certified Conservative Dentistry Specialist
- Resident, Pusan National University Dental Hospital, Conservative Dentistry
- Ph.D. Candidate, Pusan National University School of Dentistry (Conservative Dentistry)
- Master of Dentistry, Valedictorian
- Regular Member, Korean Academy of Conservative Dentistry
- Regular Member, Korean Academy of Endodontology
- Regular Member, Korean Academy of Adhesive Dentistry
- Member, Korean Academy of Dental Materials
- Member, Korean Academy of Esthetic Dentistry
- Former Director, Good Smile Dental Clinic
- Former Director, Plant Dental Clinic
Why Kyungsung Medis
is Korea's Finest
1
Official Hospital
of Prestigious Universities
Trusted partner medical institution chosen by renowned universities and organizations



2
Megagen/Osstem/Neo
Excellence Certified Hospital
Not only designated as an excellence surgical hospital
but also actively participating in research as clinical advisors




3
Lecturing to
Dentists Nationwide
Sharing expertise and techniques at major implant seminars and conferences

Implant Education for Dentists

Busan Dental Association Special Lecture

Digital Implant Expert Course

Digital Prosthetic Clinical Lecture

Megagen Digital Scan Seminar

Osstem Digital Guide Surgery Lecture
Hospital Facilities








Convenient Parking Available
Spacious and comfortable parking lot

Medis Dental prioritizes your convenience above all.
From comfortable parking to pleasant treatment spaces,
we create a patient-centered dental clinic.
Operating Hours
Book an Appointment
Use the buttons below for AI consultation, phone inquiry, or Naver booking.
Watch detailed explanations
of various treatments
Actual treatment cases and patient reviews by Dr. Kim


















