잇몸질환,
입안 문제로 그치지 않습니다
전신 건강에 심각한 영향을 미치는
잇몸질환의 위험성
80
%
성인 잇몸 질환 보유율
대한치주과학회 2024
14
% 감소
스케일링 시 심혈관질환 감소
분당서울대병원 2024
6
배
치주염 시 혈당 조절 실패
가톨릭대 의대 2023
잇몸 건강의 모든 것
이 영상에서 다 알려드려요
잇몸질환의 원인부터 치료법,
예방법까지 한 번에 정리해 드립니다
“
잇몸 염증이
전신으로 퍼지면...
방치 시 여러 질환으로 퍼질 위험이 큽니다
심혈관계 질환 위험 3배↑
치주균 혈관 침투
혈관벽 염증 유발
혈전 생성 촉진
심장 질환 10% 감소
구강 검진 시
심근경색 위험 2.8배
뇌졸증 위험 16% 감소 (연 1회 스케일링)
분당서울대병원 연구팀 2024,미국심장협회 AHA 2020
당뇨병 악화 · 합병증 증가
잇몸 염증
인슐린 저항성 증가
혈당 조절 실패
HbA1c 0.4% 감소 (치주 치료 시)
당뇨 합병증 진행 2배 빠름
치주염 있으면 혈당 조절 실패 6배 증가
가톨릭대 은평성모병원 연구 2023, 대한당뇨병학회
치매 위험 70%↑
치주균이 혈뇌장벽 통과
뇌 염증
베타아밀로이드 축적
알츠하이머 환자 40%에서 치주균 발견
10년 이상 방치 시 치매 위험 급증
하버드대 칸타르시 박사팀 2024, Journal of Neuroinflammation
임신 합병증 위험 7배↑
염증물질이 태반 통과
조기 진통 유발
조산 및 저체중아
조산 위험 7배 증가
저체중아 (2kg 미만) 출산 2배 증가
향후 아이 발육·학습 능력 문제 가능
미국·유럽 치주학회
좋은 치과의 기준
잇몸 치료를 적극적으로 하는 치과가
좋은 치과입니다
많은 병원이 잇몸 치료를
꺼리는 이유
발치 후 임플란트가 수익성이 더 큼
환자들이 잇몸 치료 통증을 싫어함
치료 후 결국 발치하면 민원 우려
시간과 노력 대비 수익이 적음
우리 병원이 잇몸 치료를
고집하는 이유
자연 치아 보존이 항상 1순위
4단계 통증 완화 마취로 편안한 치료
보존과 전문의 협진으로 높은 성공률
환자의 평생 치아 건강이 최우선
자연 치아를 살리는 것이
최고의 치료입니다
조금 불편하더라도 정기적인 잇몸 치료로
자연 치아를 지키는 것이
임플란트보다 훨씬 가치있는 선택입니다
양치질과 스케일링만 하면
충분하지 않나요?
두 가지 관리 모두 매우 중요합니다
하지만 완벽한 관리는 어렵습니다
양치질
매일 필수
치아 표면 청결 유지 가능
치석 제거 불가능
잇몸선 아래는 닿지 않음
스케일링
연 1회 필수
치은연상 치석 제거
예방 및 경미한 치료
깊은 부위는 한계가 있음
잇몸 치료
필요시 추가
치은연하 깊숙한 치료
치근활택술로 뿌리 매끈하게
진행된 질환 치료
스케일링
vs
잇몸 치료
| 스케일링 | 잇몸 치료 | |
| 범위 | 치은연상 (잇몸 위) | 치은연하 (잇몸 아래) |
| 내용 | 치석 및 치태 제거 | 큐렛 사용 항생제 연고 |
| 목적 | 예방 및 경미한 치료 | 예방 및 중증도 이상 |
| 필요 | 일반적으로 불필요 | 국소 마취 필요 |
| 적용 | 연 1회 만 19세 이상 | 치료 필요 시 나누어 진행 |
| 대상 | 모든 성인 필수 관리 | 잇몸질환이 있는 경우 |
경성대 메디스만의
잇몸 치료 시스템

NSK varios 970 특수 장비
일본 NSK사의 최신 초음파 스케일러로 잇몸 깊숙한 세균까지 정밀하게 제거
iPiezo 엔진 : 자동 주파수 조절로 안정적 출력 보장
초정밀 팁 : 치주낭 깊은 곳까지 접근 가능

페리오클린 항생 연고 치료
미노사이클린 성분의 국소 항생제로 잇몸 깊은 곳에 직접 주입하여 치료
임상 검증 : 국내외 여러 연구팀의 임상시험으로 효과 인증
일주일 지속 : 한 번 주입으로 약효가 일주일간 유지
세균 감소 : Red Complex 세균 87.5% → 12.5%로 감소

4단계 통증 완화 시스템
"치과 치료가 이렇게 편할 수도 있구나"
많은 환자분들이 놀라하는 단계별 통증 차단 시스템
가글 마취 : 입안 전체를 마취액으로 가글하여 1차 둔감화
도포 마취 : 주사 부위에 마취 연고 도포로 2차 차단
통증 완화 전동마취기 : 컴퓨터 제어로 일정 속도로 통증 완화 주입
신경관마취기 : 깊은 부위가지 완벽한 통증 차단
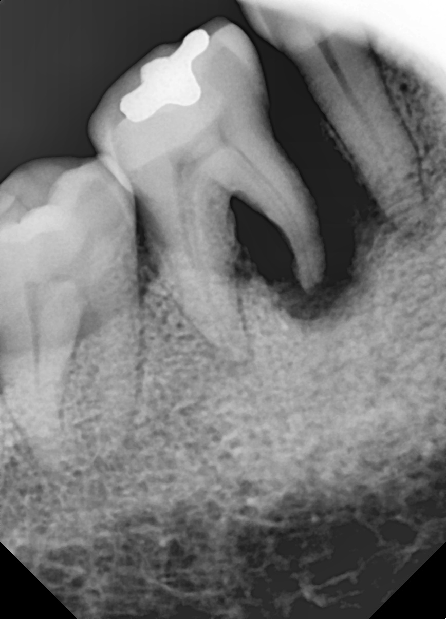
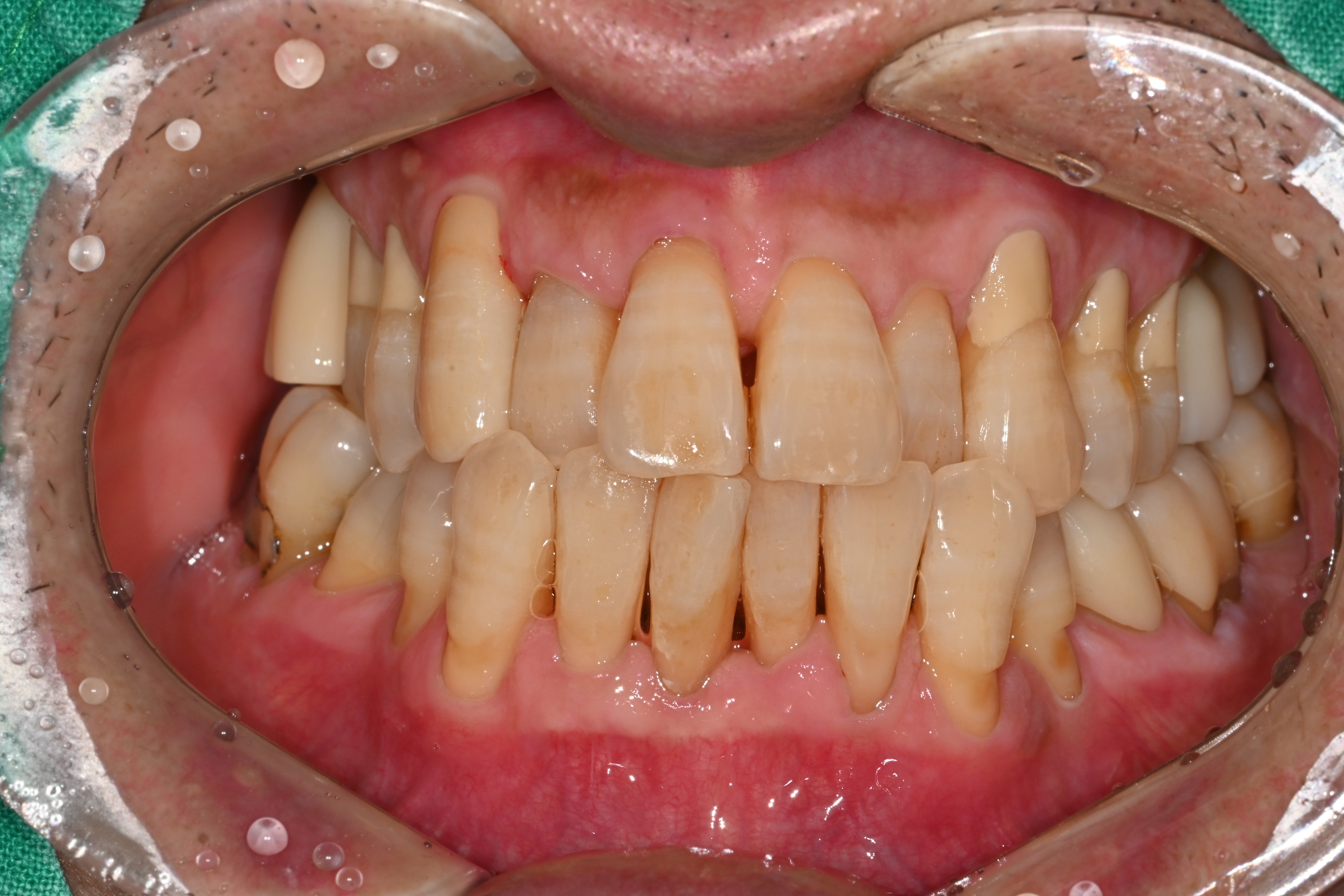
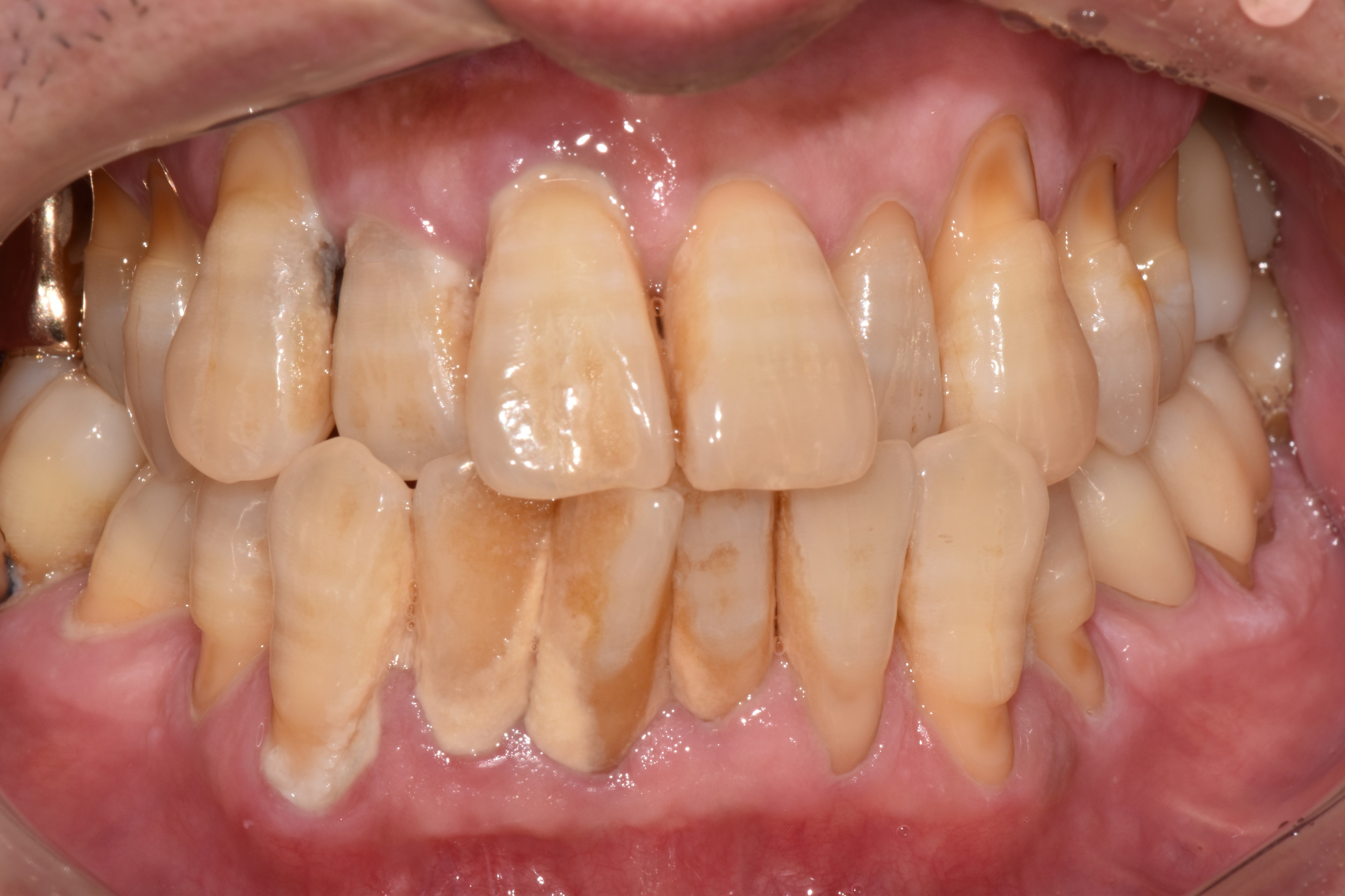
실제 치료 사례
정기적인 잇몸 치료로 임플란트 없이 건강한 치아 유지
"뼈가 심하게 녹았는데
잇몸치료로 뼈가 차올랐어요"

Before

After
심한 잇몸병으로 뼈가 많이 녹은 상태
잇몸치료와 뼈이식으로 뼈 재생 후 임플란트 식립
"정기적인 관리 덕분에
50대에도 모든 치아가 건강해요"
Before

After
치석과 잇몸 염증이 심했던 상태
정기적인 스케일링과 관리로 건강하게 유지
보존 전문의와 통합치의학 전문의 협진
경성 메디스치과
최고의 의료진

김동석
대표원장통합치의학 석사
보건복지부 인증 통합치의학 전문의
- 서울대학교 치의학대학원 고급치의학 수료
- 서울대학교 치의학대학원 임플란트 치의학 수료
- 세계구강임플란트학회 이사
- 대한구강악안면임플란트학회 이사
- 미국 텍사스 A&M 치과대학 보철 연구회 회원
- 오스템 임플란트 연구 자문의
- 네오 임플란트 연구 자문의
- 하이니스 임플란트 연구 자문의
- 대한심미치과학회 인정의
- 대한통합치의학회 정회원
- 대한치과근관치료학회 정회원
- 심평원 인증 턱관절치료과정 수료

배인혜
보존과원장치과의사 약사 복수면허
보건복지부인증 치과보존과 전문의
- 부산대학교치과병원 치과보존과 레지던트 수료
- 부산대학교 치의학전문대학원 박사 수료(치과보존학)
- 치의학전문대학원 치의학 석사, 수석 졸업
- 대학치과보존학회 정회원
- 대한치과근관치료학회 정회원
- 한국접착치의학회 정회원
- 대한치과재료학회 회원
- 대한심미치과학회 회원
- 전)굿스마일치과 원장
- 전)플란트치과 원장
경성대 메디스가
전국 최고인 이유
1
부산 유명 대학,
기관 공식 지정 병원
믿을 수 있는 대학 및 기관이 선택한 협력 의료기관 입니다



2
메가젠/오스템/네오
임플란트 지정 우수병원
우수 수술병원으로 지정된 것뿐만 아니라
임상 자문의로서 각종 연구활동도 함께 하고 있습니다











3
전국 치과의사 대상
학술 강연
남들이 세미나를 들을 때,
메디스는 세미나를 엽니다.
실력의 차이가 결과의 차이를 만듭니다.

치과의사 대상 임플란트 교육

부산 치과의사회 특별 강연

디지털 임플란트 전문가 과정

디지털 보철 임상 강의

메가젠 디지털 스캔 세미나

오스템 디지털 가이드 수술 강의
4
하이니스 임플란트와
임플란트 전용 장비 개발
하이니스 임플란트와 디지털 전체 임플란트(풀아치 임플란트) 전용 장비 개발도 함께 진행하고 있는 업계에서 인정받는 전문가입니다
5
철저한 위생관리 시스템
감염 걱정 없는 안전한 진료 환경을 만듭니다


15단계 소독/멸균 시스템
매뉴얼에 따른 15단계 소독/멸균 과정을 철저히 지키며, 전 직원 대상 정기 교육을 진행합니다.
1인 1기구 시스템
모든 기구와 장비를 매뉴얼에 맞춰 소독/멸균하며, 1회용 진료기구는 절대 재사용하지 않습니다.
전담소독 관리시스템
감염관리 전담 관리자가 상주하며 모든 기구의 소독/멸균을 철저히 관리합니다.
차아염소산 소독수 시스템
인체에 무해한 차세대 살균소독제 HOCl(차아염소산)을 사용하여 안심하고 진료받으실 수 있습니다.
💡 완벽한 소독/멸균으로 감염 걱정 없는 안전한 진료
병원 시설








부산광역시 남구 용소로 45
경성대 지하철역 3번 출구 도보 5분
편안한 주차 공간 완비
넓고 쾌적한 주차장

메디스치과는 고객님의 편의를 최우선으로 생각합니다.
편안한 주차 환경부터 쾌적한 진료 공간까지,
고객 중심의 치과를 만들어갑니다.
진료시간
예약 문의
하단 버튼을 통해 AI 예약, 전화 상담, 또는 네이버 예약을 이용하실 수 있습니다.
자주 묻는 질문
스케일링만 받으면 충분하지 않나요?
스케일링은 치석 제거의 첫 단계입니다. 하지만 잇몸질환이 진행된 경우, NSK varios 970 같은 특수장비로 잇몸 깊숙한 세균까지 제거하는 정밀 치료가 필요합니다. 6개월 간격으로 잇몸치료를 받으시면 자연치아를 오래 보존할 수 있습니다.
잇몸치료가 아프다던데 괜찮을까요?
걱정하지 마세요. 가글마취, 도포마취, 통증 완화 전동마취기, 신경관마취기까지 4단계 통증완화 시스템을 갖추고 있습니다. 많은 환자분들이 "치과 치료가 이렇게 편할 수도 있구나"라고 놀라워하십니다. 불편함 없이 치료받으실 수 있도록 최선을 다합니다.
얼마나 자주 받아야 하나요?
기본 스케일링은 연 1회(보험 적용), 잇몸치료는 6개월마다 받으시는 것이 이상적입니다. 잇몸 상태가 심한 경우 3개월 간격으로 관리하시면 더욱 효과적입니다. 정기적인 관리로 임플란트 없이도 자연치아를 평생 사용하실 수 있습니다.
보험 적용은 어떻게 되나요?
스케일링은 연 1회 건강보험이 적용됩니다. 잇몸치료가 필요한 경우에는 보험 적용을 받으실 수 있으며, 나누어서 진행됩니다. 자세한 보험 적용 범위는 상담을 통해 안내해드립니다.
왜 다른 치과는 잇몸치료를 안 하려고 하나요?
솔직히 말씀드리면, 잇몸치료보다 임플란트가 수익이 더 좋기 때문입니다. 또한 잇몸치료 후 결국 발치하게 되면 환자분들의 불만이 생길 수 있어 많은 치과가 꺼립니다. 하지만 저희는 자연치아 보존을 최우선으로 하며, 보존과 전문의 협진으로 높은 성공률을 자랑합니다.










