전체임플란트로 되찾는
인생의 맛과 웃음
잊고 지냈던 씹는 즐거움과 환한 미소
다시 시작하는 당신의 제2의 인생
1,500 +
건
디지털 가이드 수술
500 +
명
교육한 치과의사 수
디지털 임플란트, 전체 임플란트 수술법 교육
4.9
/ 5.0
환자 만족도
카카오, 구글, 네이버 지도 기준
이 많은 수술을 하면서도
10년간 같은 자리를 지킨다는 것
문제가 생기면 같은 자리에서
오래 진료하기 어렵습니다.
담당 의사가 자주 바뀌는 곳은
책임 소재도 불분명해집니다.
경성 메디스 치과는 대표원장이 직접 상담하고,
직접 수술하고, 사후관리까지 끝까지 책임집니다.
임플란트의 모든 것
이 영상에서 다 알려드려요
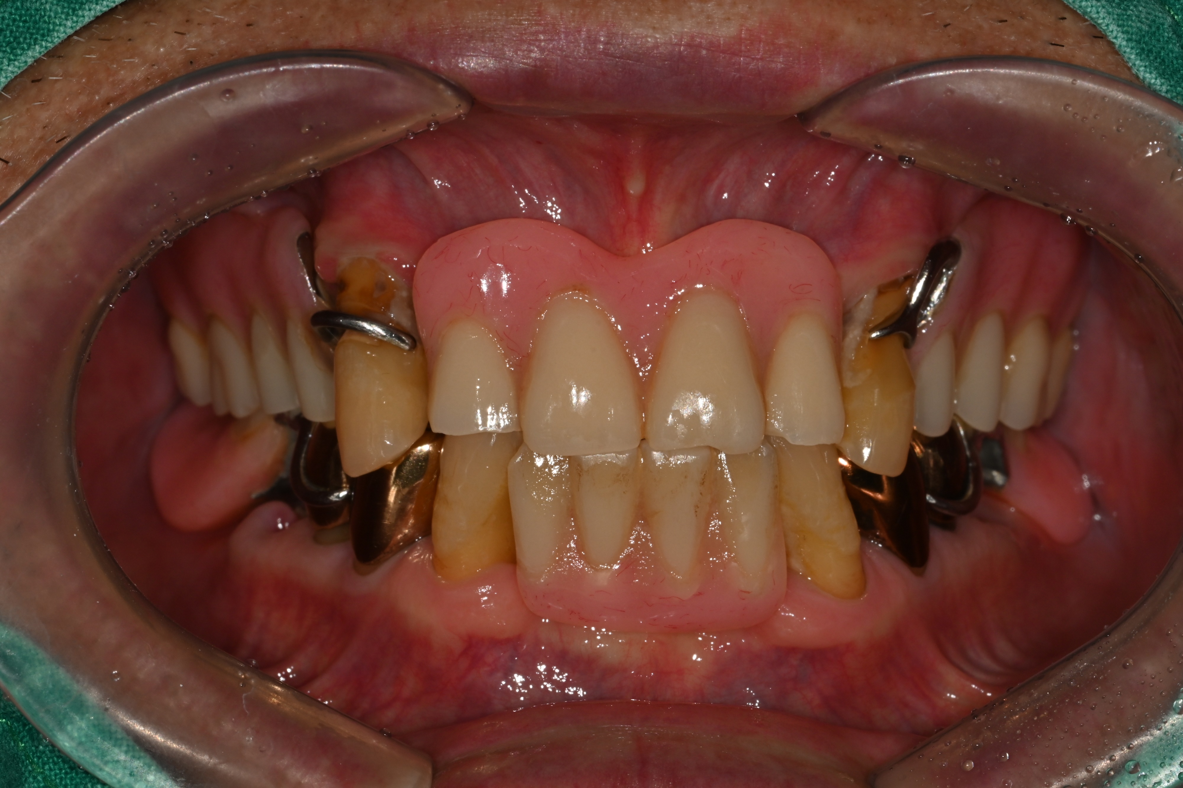
틀니, 임플란트, 전체 임플란트, 풀아치 임플란트,
디지털 임플란트까지 모든 치료법을 설명해 드립니다
실제 환자분들이
증명하는 결과
왜 메디스치과를 선택하고
주변에 자신있게 추천하는지 직접 확인해보세요
경성대 메디스치과가
특별한 이유
1
치과의사를 가르치는
치과의사전문의

학술대회 발표

치과의사 대상 임플란트 강연

부산 치과의사회 초청 특별강연

디지털 임플란트 전문가 과정
2
3단계 임시치아
프로토콜
타 치과의 1단계 임시치아와 차원이 다른
3단계 정밀 조정 시스템으로 완벽을 추구합니다
일반 치과
1단계로 마무리
2단계 과정 없음
3단계 과정 없음
4단계 과정 없음
메디스치과
1단계 : 즉시 회복
2단계 : 정밀 교합 조정
3단계 : 완벽 교합 확인
4단계 : 완벽한 최종 보철
3
24시간 내 완성되는 수술
원내 기공소에서 빠른 제작을 하기 때문에
치아 없이 지내는 날은 단 하루도 없습니다

10:00
오전 수술
컴퓨터 분석을 통한 디지털 가이드수술로 정확하고 빠른 임플란트식립

14:00
임시치아 제작
환자 맞춤형으로 즉시제작
원내 기공소에서 즉시 제작하여 24시간 내 완성

18:00
저녁 식사 및 일상생활 복귀
치아 없는 날이 없어 사회생활과 대인관계에 영향 없이 바로 일상생활 복귀
4
철저한 사후관리
심고 끝나는게 아닌 세심한 관리를 통해
10년, 20년 오래오래 사용할 수 있습니다.

평생 구강 관리
구강 박테리아 테라피

임플란트 보호 스플린트
이갈이, 이 악물기 등 턱관절 질환 개선
5
단일 임플란트부터
고난이도 전체 임플란트까지
다양한 케이스의 수술 경험을 바탕으로
부산 남구 디지털 가이드 임플란트 수술 횟수 1등으로
공식 인정받은 전문성을 갖추고 있습니다



단일 임플란트
개별 치아 1~2개 결손
부분 임플란트
여러 치아 결손, 브릿지 대체
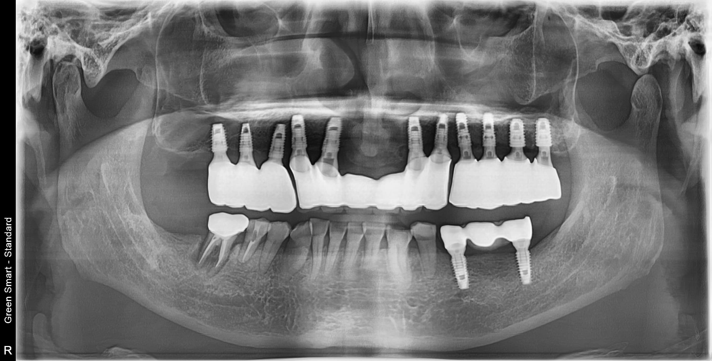
전체 임플란트
무치악, 올온포(All-on-4/6) 등
고난이도 풀아치 임플란트
뼈이식, 상악동거상술 등 난이도 높은 케이스도 전문적으로 시술
6
최소식립, 최소절개,
최소 뼈이식
정밀한 디지털 진단으로
꼭 필요한 만큼만 최소한의 시술을 진행합니다
최소식립
상악 6개, 하악 4개만 심어도
단단하게 고정되는 효율적인 식립
최소절개
회복이 빠른 최소 절개 수술
최소 뼈이식
정밀 진단으로 최소한의 뼈이식만 진행
치과 치료,
아프지 않을까요?
의식하진정요법으로
자면서 치료받으세요
의식하진정요법이란?
약간 졸린 듯한 상태에서 시술을 받게 되고, 시술하는 동안 일어난 일들을 잘 기억하지 못하게 되는 치료법입니다.
의식이 있는 상태에서 편안하게 긴장상태를 풀어주기 때문에 치료 중에도 자신의 상태를 표현하고 반응할 수 있어 그만큼 안전합니다.
안전성
의식이 유지된 상태에서 시술
전문의가 혈압, 맥박, 산소포화도 체크
세계적으로 인정된 약물 사용
전신마취가 아니므로 후유증과 부작용이 현저히 낮음
언제든 깨어날 수 있게 해주는 역전약물 구비
치과치료 중 공포와 불안으로 인한 갑작스러운 움직임을 미연에 방지
편안함
간단한 주사로 진정요법이 가능
시술이 끝나면 시술 중 편안한 느낌만 남음
편안하고 안정된 기억만 남아 치과치료에 자신감이 생김
비용 부담이 적고 간단하게 시술 가능
💡 아무나 할 수 없는 특별한 치료
의식하진정요법은 단순한 치료가 아닙니다. 전문 교육을 이수한 의료진과 환자 모니터링 장비, 응급장비 등이 갖춰진 치과에서만 시행할 수 있는 전문적인 치료법입니다.



환자 모니터링 장비
마취 진행 과정
도포/가글마취
마취 전 주사 바늘의 통증을
없애기 위한 표면 마취
통증완화 전동마취기
컴퓨터가 자동으로 주입 속도를 조절하여
통증을 최소화
신경관마취기
신경 가까이 직접 마취하여
완벽한 통증 완화 치료 완성
경성대 메디스만의 유일한
3단계 임시 치아
단 한 번의 임시치아로 끝내는 것이 아닌
3단계에 걸친 정밀 조정을 통해
내 치아 같은 편안함을 만듭니다
1차 임시
즉시 회복
수술 직후, 즉시 장착하여 일상생활이 바로 가능합니다
2차 교합 안정
정밀 교합 조정
2주 후 맞춤형으로 교합 상태를 미세하게 조정합니다
3차 최종 임시
완벽 교합 확인
최종 보철물 제작 전 완벽한 교합을 다시 한 번 확인합니다
최종 보철
평생 내 치아
모든 조정이 완료된 완벽하게 개인화된 최종 보철물을 장착합니다
어떤 치과도 따라올 수 없는
속도와 차이
오직 메디스에서만 경험할 수 있습니다
즉시 보철
임플란트 시스템
디지털 프로세스와 디지털원내기공소로
빠른 보철제작을 지향합니다.

빠르고 정교한 보철물 제작
대표원장님은 풍부한 임상 경험을 바탕으로 편안한 진료를 제공하며 밀링머신을 사용해 보철물을 직접 제작하고 있습니다
제작 후에는 불편함이나 부작용이 없는지 한 번 더 확인하고 치료 이후에도 지속적으로 관리해 드리며 환자분들의 만족도를 높이기 위해 최선을 다하고 있습니다

원내 기공소가 없다면?
원내에 기공소가 없다면 외주 기공소에 보철물 제작을 의뢰하게 되어 시간이 오래 걸립니다
제작과 수정 과정을 반영하기 위해 외부에 다시 맡기는 번거로움과 미세한 수정 사항이 어려운 단점이 있습니다
최고 강도 임시치아
독점 파트너십을 맺은 특수 소재로 수술 직후부터 일반 식사가 가능합니다
파손 시 즉시 교체
혹시나 발생할 수 있는 파손에도 걱정 없습니다 원내 기공소에서 즉시 교체해 드립니다
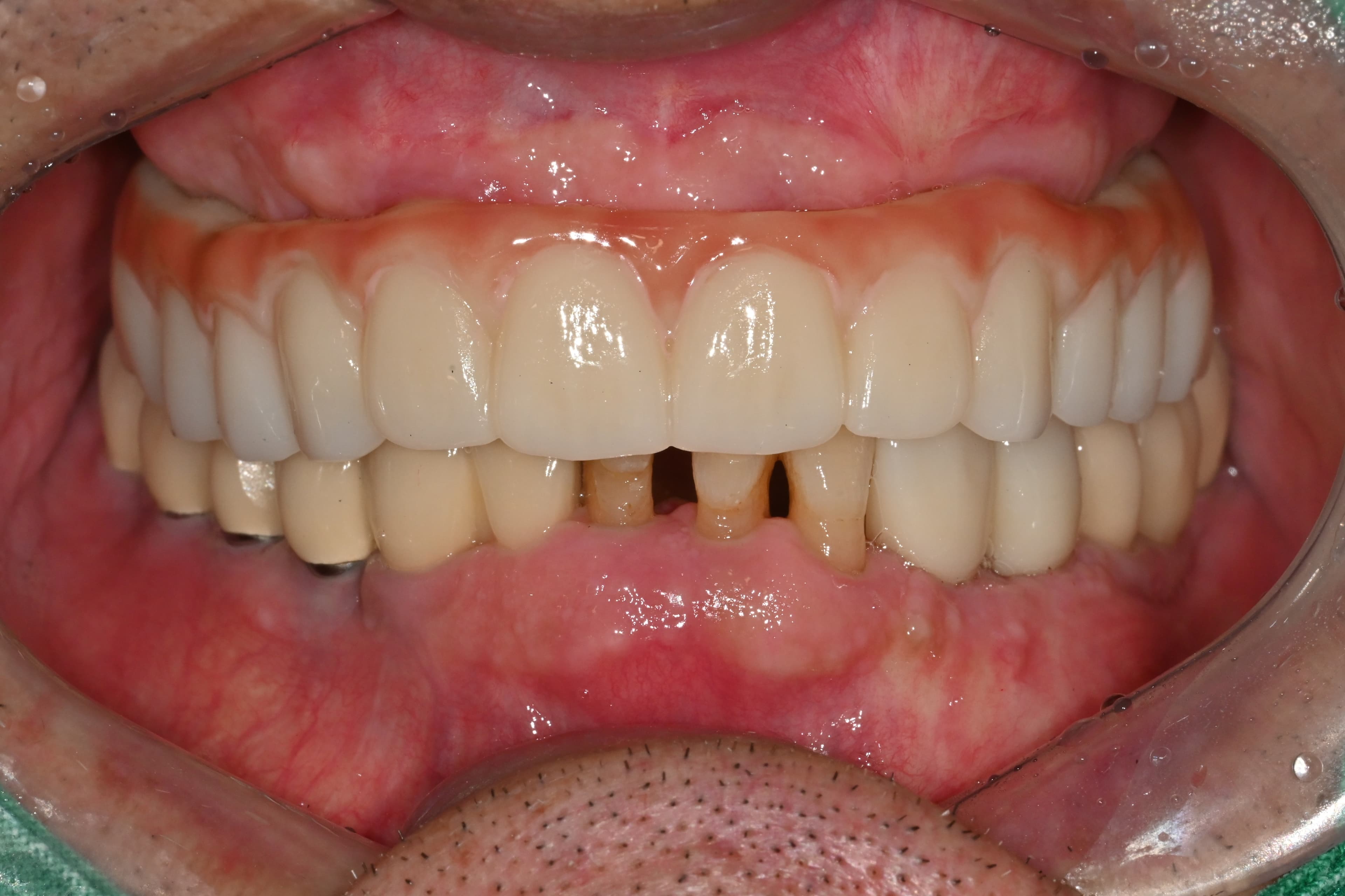
치아 없는 날 제로
수술 직후부터 최종 보철물 장착까지 치아없이 생활하는 날은 단 하루도 없습니다
메디스는 임플란트 이후의
관리도 남다릅니다
10년 후가 달라지는 진짜 사후 관리의 차이

구강 박테리아 테라피
프로바이오틱스를 이용하여 유해균을 억제하고 구강 내 세균 균형을 조절하는 최신 예방 프로그램
유해균 억제 및 바이오 필름
같은 자리 대표원장 직접진료
잇몸 염증 자연 치유력
구취 원인 VSC 성분
경성대 메디스만의
특별한 기술
우리 병원이 자부합니다
스웨덴 카롤린스카 의대 개발 기술
치아와 잇몸에 직접 부착되는 프로바이오틱스
치약과 구강 세정제에서도 생존하는 강력한 균주
환자당분과 치아 우식 산 생성없는 안전한 균주
평생 구강 관리

구강 박테리아 테라피
스웨덴 카롤린스카 의대에서 개발한 프로바이오틱스로 임플란트를 오래도록 건강하게 유지합니다

9만 원 상당
워터픽 지원
전체 임플란트 리뷰 이벤트 참여 시!
잇몸 마사지에 효과적!
구강 관리에 필수적인
워터픽을 선물로 드립니다
메디스치과는 항상
2번 수술합니다
최적의 식립 위치를 설계한 후
실제 수술을 진행합니다
빠르고 편안한 수술로
붓기와 통증을 최소화하고
뼈이식도 최소화합니다
1
구강 내부를 스캐닝하는 3D구강 스캐닝 시스템으로 정밀 진단
2
컴퓨터상에서 구현된 구강 구조를 고려해 절개없이 치아를 심는 계획
3
직립 유도 장치를 시술 부위에 장착해 1mm의 오차 최소화
4
최소 절개로 타 시술에 비해 시술시간 단축과 통증 및 부기 최소화
5
상황에 따른 모의수술 진행으로 오차 최소화와 시술 만족도 상승
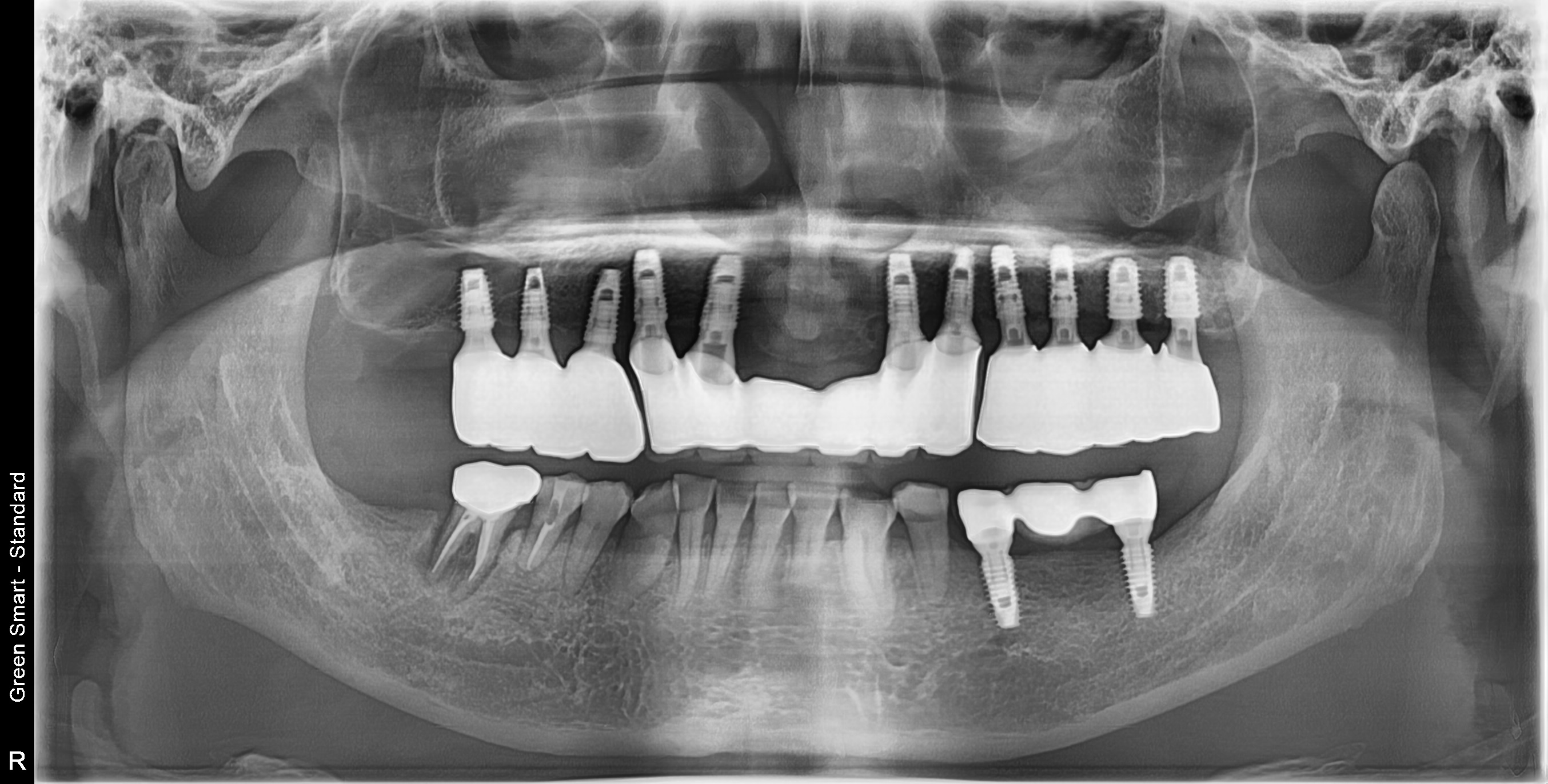
디지털 가이드
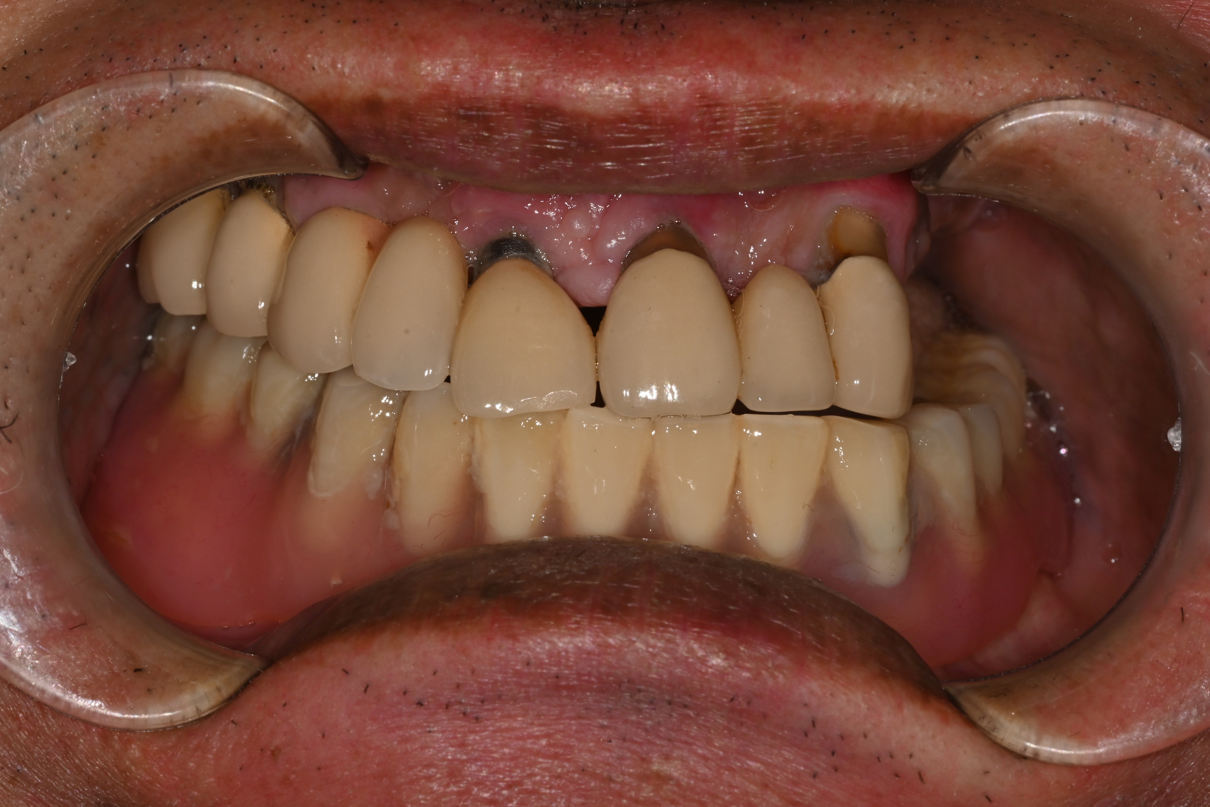
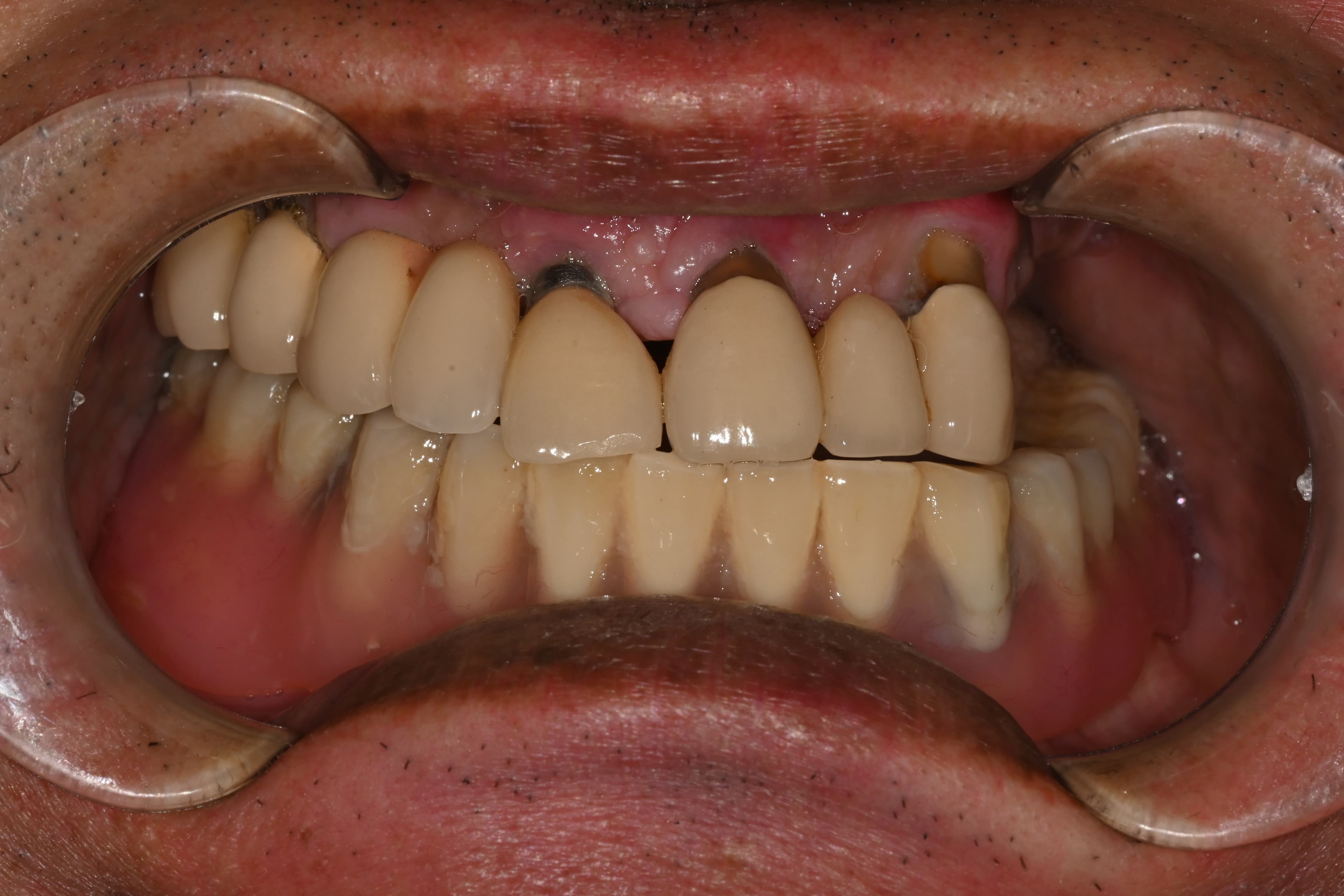
임플란트 전후 사례

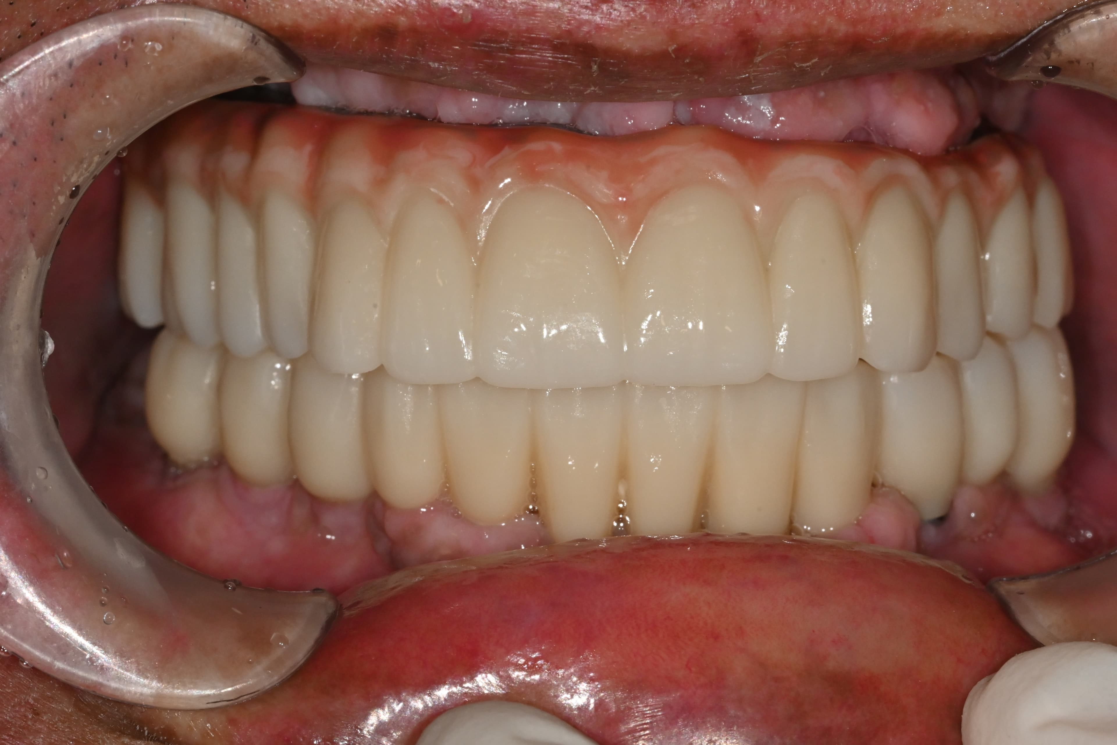
After
임플란트 · 김●● · 60대 여성

After
임플란트 · 이●● · 50대 남성

After
임플란트 · 박●● · 60대 여성
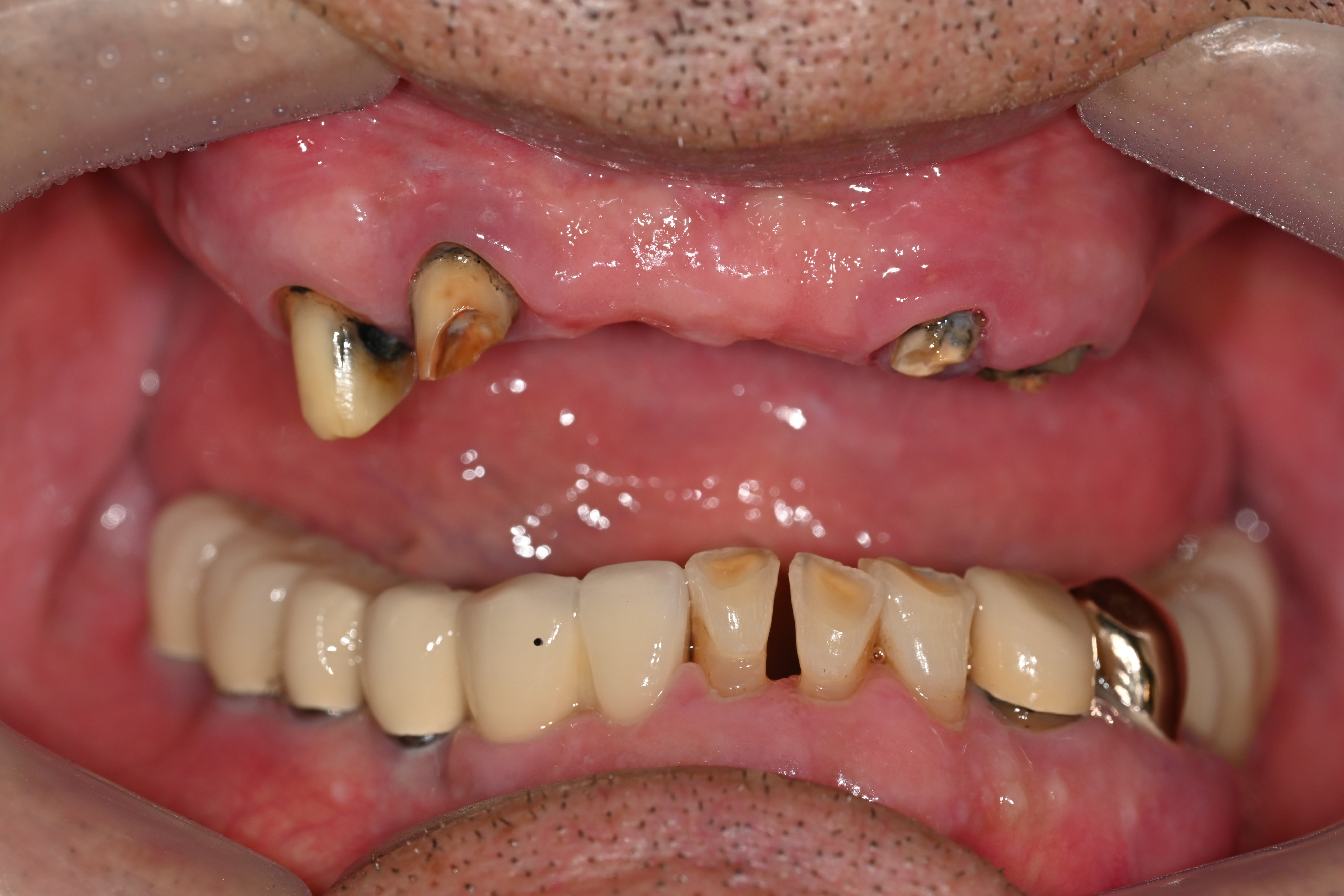
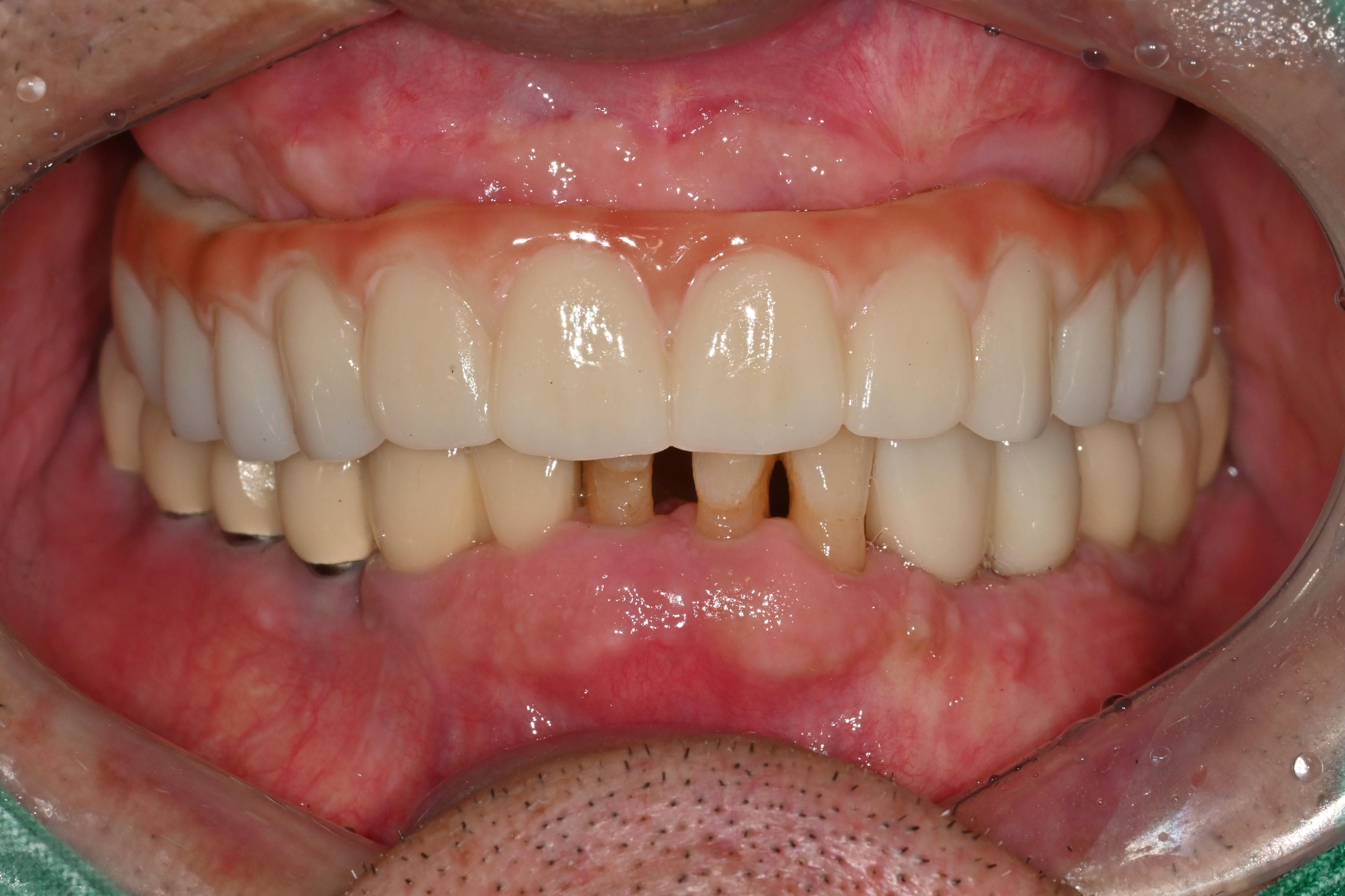
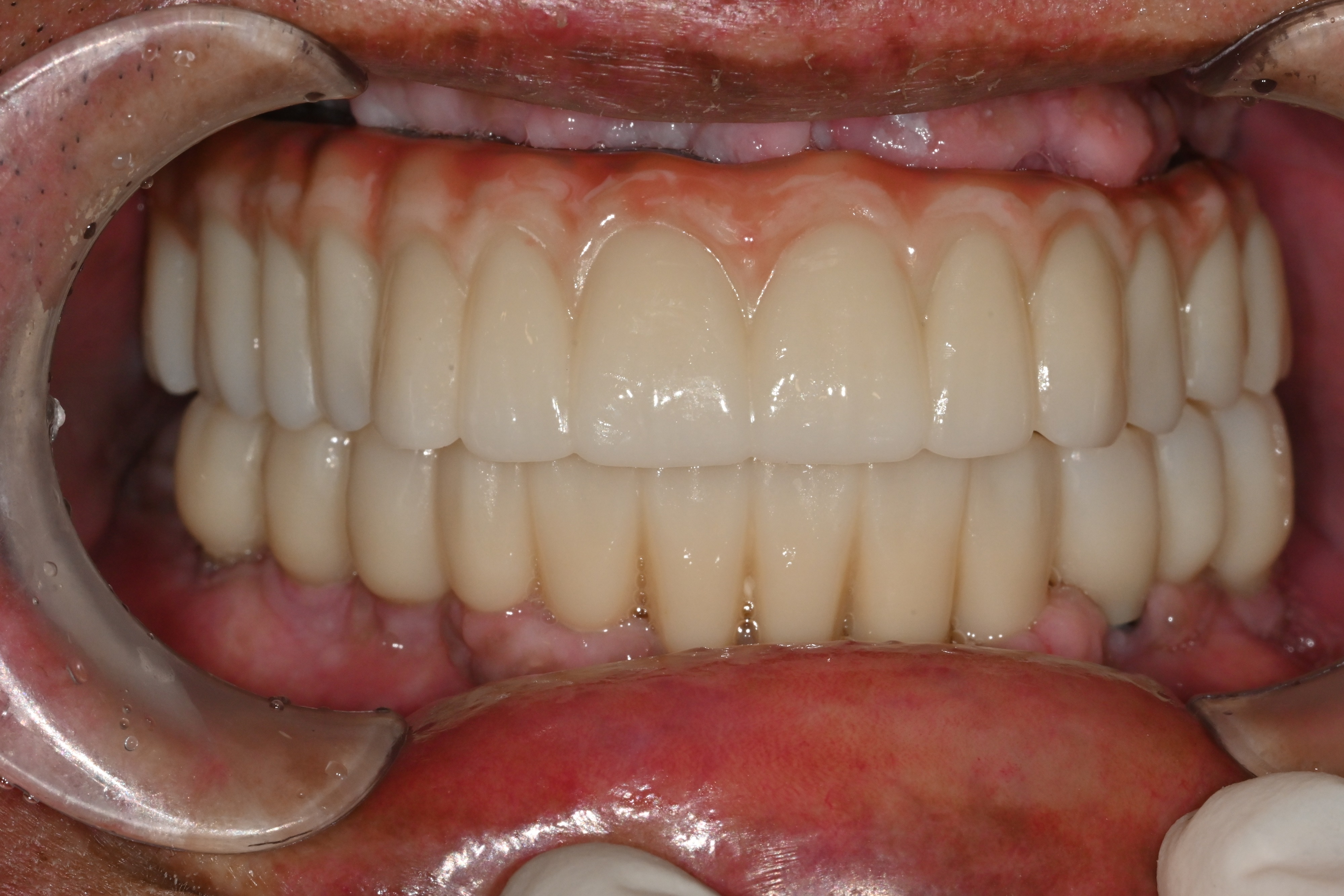
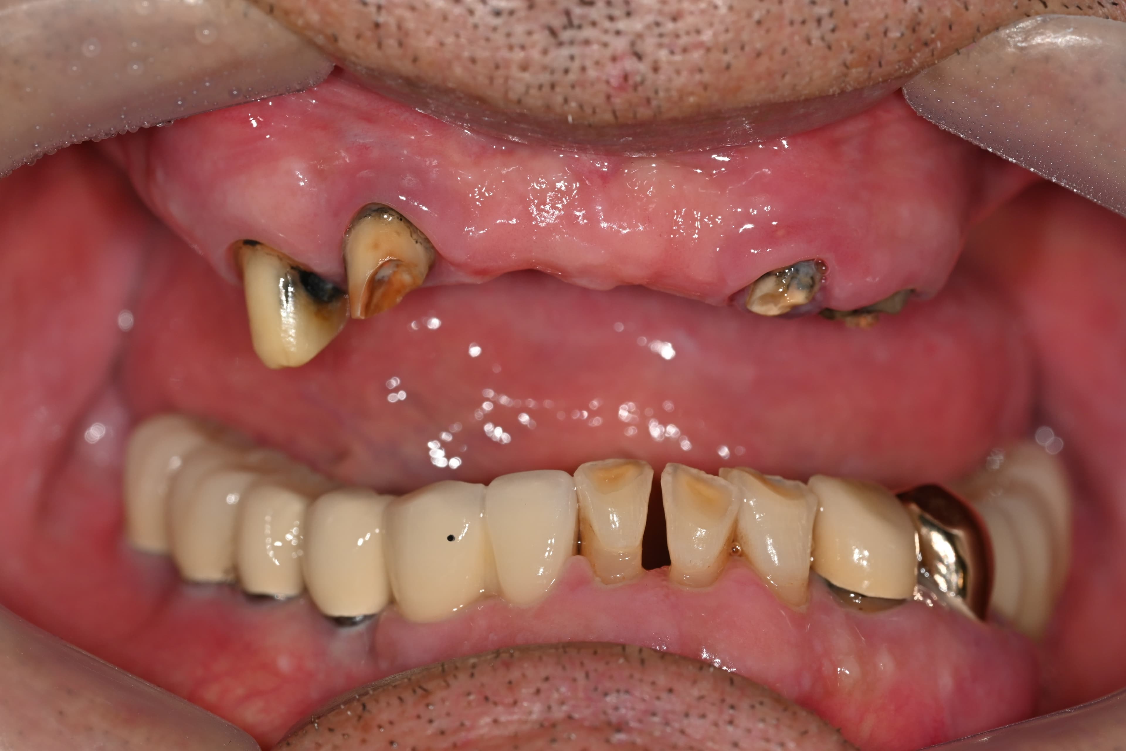
디지털가이드
전체임플란트 전후 사례
김●● · 60대 여성
이●● · 60대 남성
박●● · 70대 여성
실력이 다르면
결과가 다릅니다
10년간 같은 자리, 그것이 진짜 실력의 증거입니다
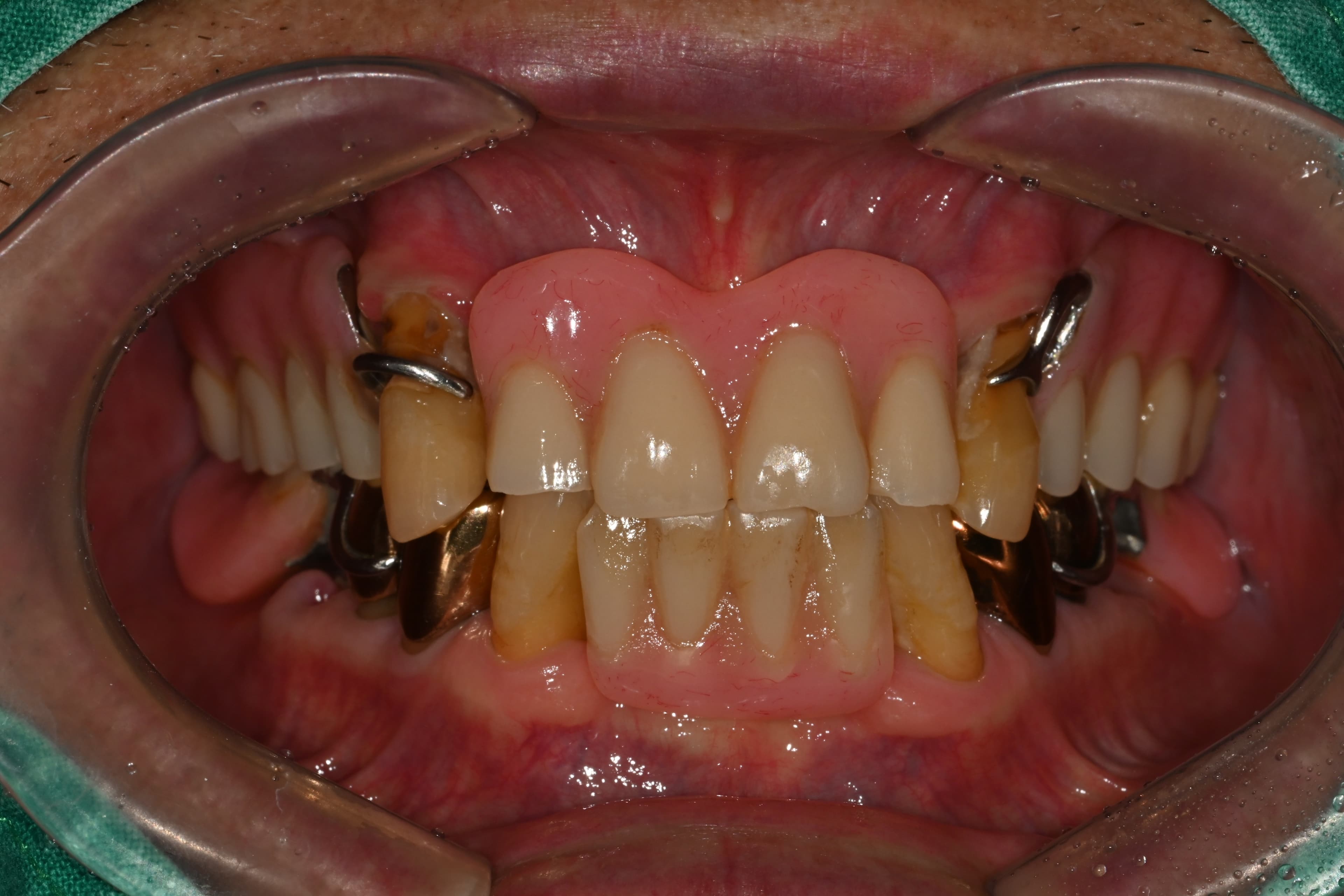
일반 치과
시술 후에도 불안함이 남습니다
원내 기공소 없음
외부 기공소에 의뢰하여 비용과 기간 증가, 디테일한 작업 불가
1단계 임시치아
교합 조정없이 바로 최종 보철
담당 의사가 자주 바뀜
원장이 바뀌면 책임 소재도 불분명, 일관된 사후 관리가 어려움
경성대 메디스 치과
경성대 메디스 치과는 압도적인 실력으로
평생 한 번의 시술을 약속합니다
완벽한 실력
치과 의사들이 배우러 오는, 원장님이 다른 치과의사들에게 교육 진행
3단계 임시치아 시스템
완벽한 교합을 위한 단계별 정밀 조정
10년간 같은 자리 책임진료
대표원장이 직접 상담, 수술, 사후관리까지
메디스치과는 책임감 있는 치과를 약속합니다.체계적인 보증 시스템으로 평생 안심하고 사용하세요.

보존 전문의와 통합치의학 전문의 협진
경성 메디스치과
최고의 의료진

김동석
대표원장통합치의학 석사
보건복지부 인증 통합치의학 전문의
- 서울대학교 치의학대학원 고급치의학 수료
- 서울대학교 치의학대학원 임플란트 치의학 수료
- 세계구강임플란트학회 이사
- 대한구강악안면임플란트학회 이사
- 미국 텍사스 A&M 치과대학 보철 연구회 회원
- 오스템 임플란트 연구 자문의
- 네오 임플란트 연구 자문의
- 하이니스 임플란트 연구 자문의
- 대한심미치과학회 인정의
- 대한통합치의학회 정회원
- 대한치과근관치료학회 정회원
- 심평원 인증 턱관절치료과정 수료

배인혜
보존과원장치과의사 약사 복수면허
보건복지부인증 치과보존과 전문의
- 부산대학교치과병원 치과보존과 레지던트 수료
- 부산대학교 치의학전문대학원 박사 수료(치과보존학)
- 치의학전문대학원 치의학 석사, 수석 졸업
- 대학치과보존학회 정회원
- 대한치과근관치료학회 정회원
- 한국접착치의학회 정회원
- 대한치과재료학회 회원
- 대한심미치과학회 회원
- 전)굿스마일치과 원장
- 전)플란트치과 원장
경성대 메디스가
전국 최고인 이유
1
부산 유명 대학,
기관 공식 지정 병원
믿을 수 있는 대학 및 기관이 선택한 협력 의료기관 입니다



2
메가젠/오스템/네오
임플란트 지정 우수병원
우수 수술병원으로 지정된 것뿐만 아니라
임상 자문의로서 각종 연구활동도 함께 하고 있습니다











3
전국 치과의사 대상
학술 강연
남들이 세미나를 들을 때,
메디스는 세미나를 엽니다.
실력의 차이가 결과의 차이를 만듭니다.

치과의사 대상 임플란트 교육

부산 치과의사회 특별 강연

디지털 임플란트 전문가 과정

디지털 보철 임상 강의

메가젠 디지털 스캔 세미나

오스템 디지털 가이드 수술 강의
4
하이니스 임플란트와
임플란트 전용 장비 개발
하이니스 임플란트와 디지털 전체 임플란트(풀아치 임플란트) 전용 장비 개발도 함께 진행하고 있는 업계에서 인정받는 전문가입니다
5
철저한 위생관리 시스템
감염 걱정 없는 안전한 진료 환경을 만듭니다


15단계 소독/멸균 시스템
매뉴얼에 따른 15단계 소독/멸균 과정을 철저히 지키며, 전 직원 대상 정기 교육을 진행합니다.
1인 1기구 시스템
모든 기구와 장비를 매뉴얼에 맞춰 소독/멸균하며, 1회용 진료기구는 절대 재사용하지 않습니다.
전담소독 관리시스템
감염관리 전담 관리자가 상주하며 모든 기구의 소독/멸균을 철저히 관리합니다.
차아염소산 소독수 시스템
인체에 무해한 차세대 살균소독제 HOCl(차아염소산)을 사용하여 안심하고 진료받으실 수 있습니다.
💡 완벽한 소독/멸균으로 감염 걱정 없는 안전한 진료
병원 시설







편안한 주차 공간 완비
넓고 쾌적한 주차장

메디스치과는 고객님의 편의를 최우선으로 생각합니다.
편안한 주차 환경부터 쾌적한 진료 공간까지,
고객 중심의 치과를 만들어갑니다.
진료시간
예약 문의
하단 버튼을 통해 AI 예약, 전화 상담, 또는 네이버 예약을 이용하실 수 있습니다.
자주 묻는 질문
전체 임플란트만 진행하시나요?
아닙니다. 경성 메디스 치과는 1개 치아 임플란트부터 전체 임플란트(All on X)까지 모든 임플란트 치료를 진행합니다. 개별 임플란트도 동일하게 디지털 가이드 수술과 원내 기공소 시스템을 적용하여, 정밀하고 빠른 치료를 제공합니다.
디지털 가이드 수술, 비용이 비싸지 않나요?
경성 메디스 치과는 합리적인 가격으로 높은 품질의 임플란트 치료를 제공합니다. 디지털 가이드 수술의 정밀함으로 한 번에 제대로 하여 장기적으로 더 경제적입니다. 65세 이상은 건강보험 적용이 가능하며, 무이자 할부와 다양한 이벤트를 통해 부담을 덜어드립니다.
수술 후 바로 식사가 가능한가요?
네, 가능합니다. 원내 기공소에서 즉시 제작되는 고강도 임시치아 덕분에 수술 직후부터 부드러운 식사가 가능합니다. 치아 없이 지내는 날은 단 하루도 없으며, 수술 직후부터 최종 보철물 장착까지 편안한 일상생활을 유지하실 수 있습니다.
디지털 가이드 수술이 일반 수술과 어떻게 다른가요?
디지털 가이드 수술은 3D 구강 스캐닝으로 정밀 진단 후, 컴퓨터상에서 가상 수술을 먼저 진행합니다. 이를 통해 최적의 식립 위치를 설계하고, 1mm의 오차도 최소화하여 절개를 최소화합니다. 결과적으로 시술시간이 단축되고 통증, 부기, 뼈이식이 최소화됩니다.
전체 임플란트 치료, 얼마나 걸리나요?
개인의 구강 상태에 따라 다르지만, 일반적으로 3-6개월 정도 소요됩니다. 즉시 보철 임플란트 시스템을 통해 수술 직후부터 임시치아를 사용하실 수 있으며, 뼈와 임플란트가 완전히 유착된 후 최종 보철물을 장착합니다. 정확한 기간은 3D CT 진단 후 안내해 드립니다.
임플란트 수술, 아프지 않나요?
의식하진정요법(수면마취)을 통해 편안하게 시술받으실 수 있습니다. 수술 중에는 거의 통증을 느끼지 못하시며, 수술 후에도 디지털 가이드 수술의 최소 절개 방식으로 붓기와 통증이 일반 수술에 비해 현저히 적습니다. 처방된 진통제로 충분히 관리 가능한 수준입니다.
전체 임플란트가 틀니보다 정말 좋나요?
네, 확실히 다릅니다. 틀니는 자연치아 저작력의 30%만 유지하지만, 임플란트는 80-90%까지 회복되어 씹는 맛이 완전히 다릅니다. 빼고 끼는 번거로움이 없고 관리도 자연치아처럼 간편하며, 위생적입니다. 한 번 시술하면 평생 사용 가능하고, 환하게 웃을 수 있어 심리적으로도 자신감을 되찾으실 수 있습니다.


























