시술 1,000+건,
미백 시술 최다 보유
시리지않고 안전한 미백,
효과적으로 받아보세요
미백 전문 경력
시술 케이스
부작용 발생
“
당신의 치아는
안녕하신가요?
아래와 같은 습관들이 계속되면
치아는 누렇게 변색됩니다
커피
매일 마시는 커피가 치아를 누렇게 만들어요
흡연
니코틴과 타르가 치아 변색의 주범입니다
와인
레드 와인의 탄닌이 치아에 착색을 일으켜요
치과 미백의 모든 것
이 영상에서 다 알려드려요
왜? 경성대 메디스
무삭제/최소삭제 디지털 라미네이트일까?
최첨단 디지털 장비와 2년 보증으로
완벽한 미소를 만들어드립니다
라미네이트란?
0.3~0.7mm 두께의 얇은 세라믹(포세린) 조각을 치아 앞면에 부착하는 시술입니다
손톱에 네일아트를 하듯, 치아에 '영구적인 미백 코팅'을 씌운다고 생각하시면 됩니다
24시간 완성
빠른 시술로 신속한 일상 복귀 (바쁜 직장인 OK!)
2년 보증제
파손이나 변색 시 언제든 즉시 교정 가능
합리적인 가격
투명한 가격 정책과 분할 납부 가능
디지털 정밀 제작 시스템
1단계: 디지털 정밀 가상진단
불편한 본뜨기 없이 구강 스캐너로 치아를 3D 스캔합니다. 디지털 데이터로 정확한 진단과 시뮬레이션이 가능합니다.
진단 결과 보고 시행: 가상진단으로 시술 전 결과를 미리 확인
내 얼굴과 조화 진단: 너무 하얗거나 인위적으로 보일 걱정 없이, 얼굴과 어울리는 자연스러운 미소 디자인
2단계: 밀링머신으로 빠른 제작
최첨단 밀링머신이 VITA MARK II 블록을 정밀 가공합니다. 자연 치아와 가장 유사한 강도의 세라믹으로 24시간 내 완성됩니다.
3단계: 라미네이트 정밀 부착
제작 전 보철물을 미리 확인 후, 미세현미경을 사용하여 무삭제 또는 최소 삭제로 정밀하게 부착합니다.
메디스 치과의 전문성

대한심미치과학회 펠로우 회원
펠로우(Fellow)는 일반 전문의보다 한 단계 높은 최상위 전문가 등급입니다
10년 이상 전문 경력 + 100건 이상의 성공 케이스
논문 발표 및 학술 활동 인정받은 전문가
심미치과학회 심사를 통과한 최고 수준의 실력
원내 치과기공사 협업 시스템
원내 기공소에서 즉시 제작 및 수정 가능
미세현미경 무삭제 시술
치아 손상 최소화로 자연치아 보존
VITA MARK II 프리미엄 블록
자연치아와 가장 유사한 강도와 색상
치과 전문가 미백
과산화수소 미백
의료용 고농도 미백제로
안전하고 효과적인 미백을 경험하세요
오스템 뷰티스(Beautis) 미백 시스템
국내 1위 임플란트 기업 오스템의 프리미엄 전문가용 미백 시스템


뷰티스 15 미백제: 15% 과산화수소 + 특수활성제로 빠른 미백 효과
뷰티스 라이트: 고강도 LED 광선(150-220mW/㎠)으로 미백 효과 극대화
지각과민 방지제 함유: 시림 증상을 최소화하는 안전한 처방
시술 원리
의료용 고농도 과산화수소(15%)가 치아 에나멜질을 투과하여 상아질 내부의 착색 분자를 산화·분해시킵니다
이 과정에서 착색 물질이 무색의 작은 분자로 변환되어 자연스럽게 하얀 치아가 됩니다

시술 과정
1
잇몸 보호제 도포 (잇몸 손상 방지)
2
고농도 미백제 도포
3
LED 광선 조사 (15-20분)
4
2-3회 반복 (당일 완료)
5
불소 도포로 마무리
치아 삭제 ZERO
에나멜질 손상 없음
즉각적인 효과
시술 직후 2-8단계 밝아짐
자연스러운 색상
본래 치아색의 톤업
왜 전문가 미백이어야 할까요?
전 세계 치과의사가 인정한 안전성
미백치료는 전 세계 치과의사들이 인정한 가장 안전한 치아치료 방법입니다. 많은 연구와 임상에서 안전성이 입증되었으며, 치과의사 모니터링 하에 진행되는 전문가 미백은 현재까지 치아에 미치는 부작용이 거의 보고되지 않았습니다.
전문가 미백
셀프 미백
15% 고농도
식약처 허가 의료용
1-4% 저농도
효과 미미
하루 만에
3-4단계 밝아짐
4주 이상
서서히 미미한 효과
사전 구강 검진
+ 불소도포 처치
자가 시술
잇몸 화상 위험
체계적인 부작용 관리
시술 전 검진: 충치, 잇몸 질환 확인 후 안전하게 진행
잇몸 보호: 의료용 보호제로 연조직 화상 100% 예방
시술 후 관리: 불소도포·재광화 처치로 시림 증상 최소화
전문의 모니터링: 실시간 상태 확인으로 안전한 미백
풍부한 임상 경험
1,000건 이상의 미백 시술 경험으로 다양한 치아 상태에 대한 노하우를 보유하고 있습니다. 착색 정도, 치아 민감도, 기존 보철물 등을 고려한 맞춤형 미백 계획을 수립합니다.
자주 묻는 질문
집에서 하는 셀프 미백과
치과 전문가 미백의 차이점
치과에서 사용하는 미백제는 의약품으로 분류되는
고농도 과산화수소를 사용합니다
잇몸에 닿으면 손상될 수 있어 전문가가
완벽한 보호 조치한 후 시술하므로 훨씬 안전하며
즉각적인 효과를 볼 수 있습니다
셀프 치아 미백
저농도 미백제
일반의약품으로 효과가 제한적
느린 효과
수주에서 수개월 소요
안전성 위험
잘못 사용 시 잇몸 손상 가능
불균일한 결과
고르지 못한 미백 효과
치과 전문가 미백
고농도 의약품
전문 과산화수소로 강력한 효과
즉각적인 효과
1-3시간 내 확실한 변화
완벽한 안전성
잇몸 보호 조치로 손상 방지
균일한 미백
전문가의 정밀한 시술
어떤 시술이
나에게 맞을까요?
두 가지 옵션을 비교해보세요
미백 옵션 비교
| 과산화수소 미백 | 라미네이트 | |
|---|---|---|
| 시술시간 | 1-2시간 (당일 완료) | 2-3회 방문 (1-2주) |
| 지속시간 | 1-2년 (관리 시 연장) | 10-15년 (반영구) |
| 치아삭제 | 없음 (0mm) | 최소삭제 (0.3mm) |
| 가격대 | 20-30만원 (전체) | 개당 50-80만원 |
| 추천대상 | 자연스러운 미백 원하는 분 | 완벽한 치아 원하는 분 |
| 주의사항 | 24시간 색소 음식 주의 | 딱딱한 음식 주의 |
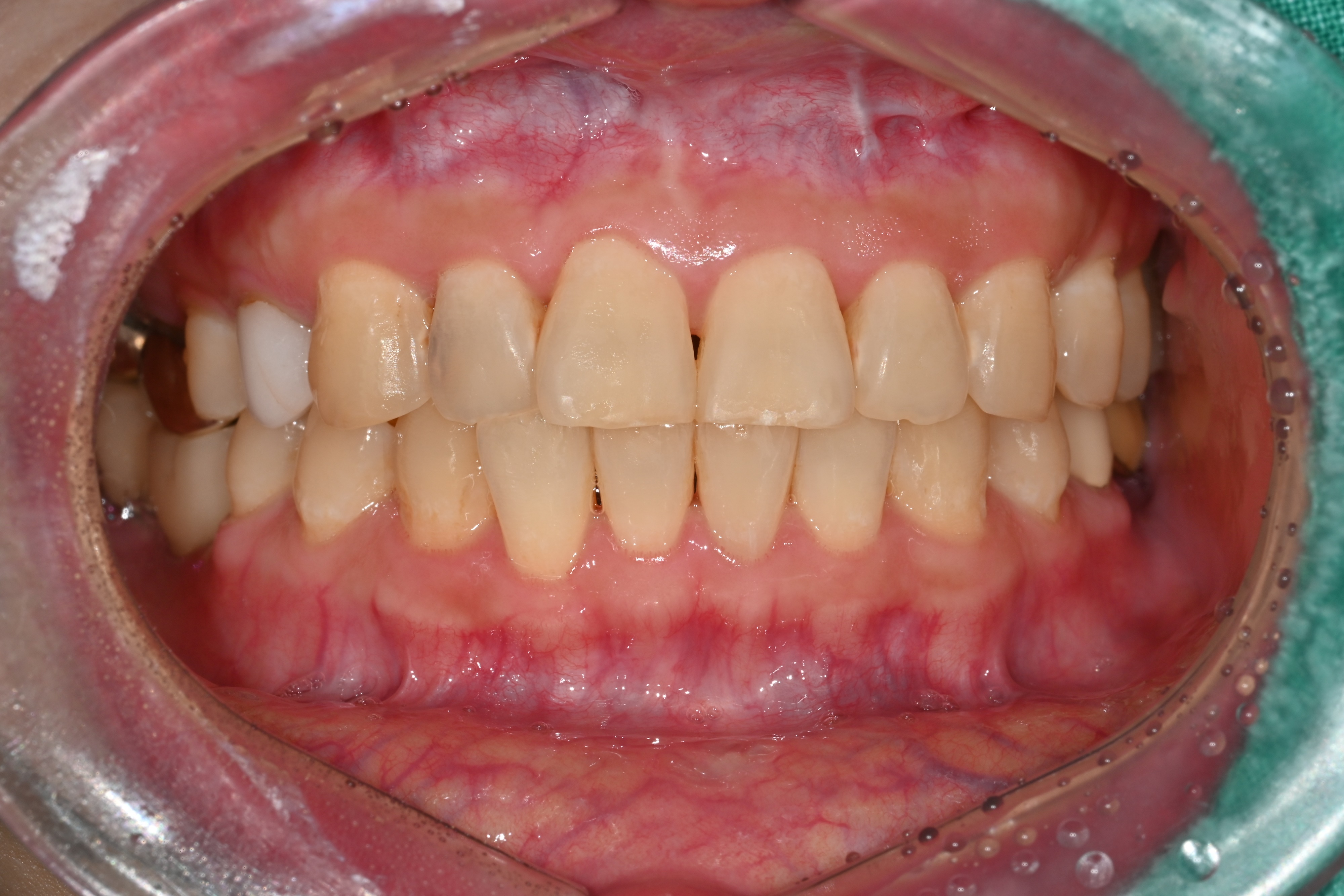
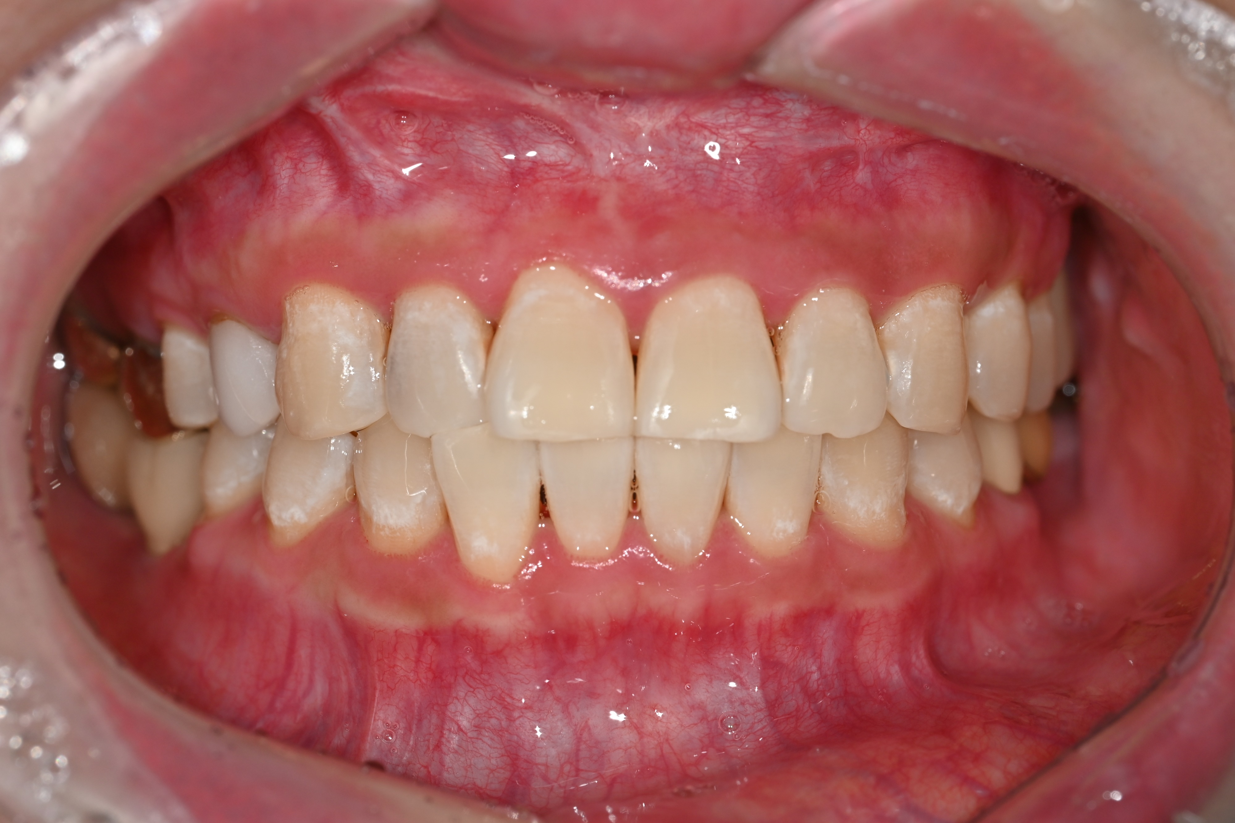
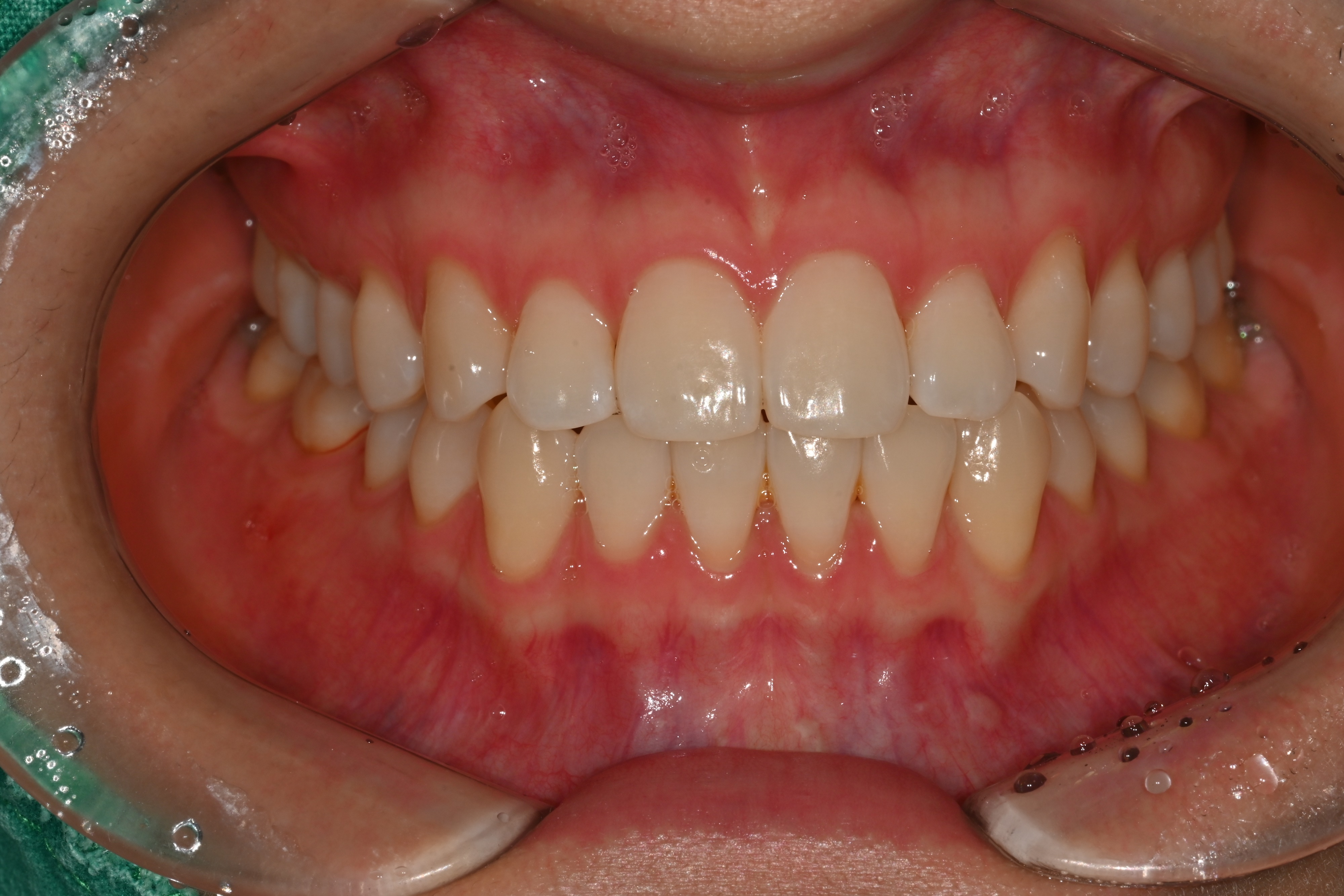
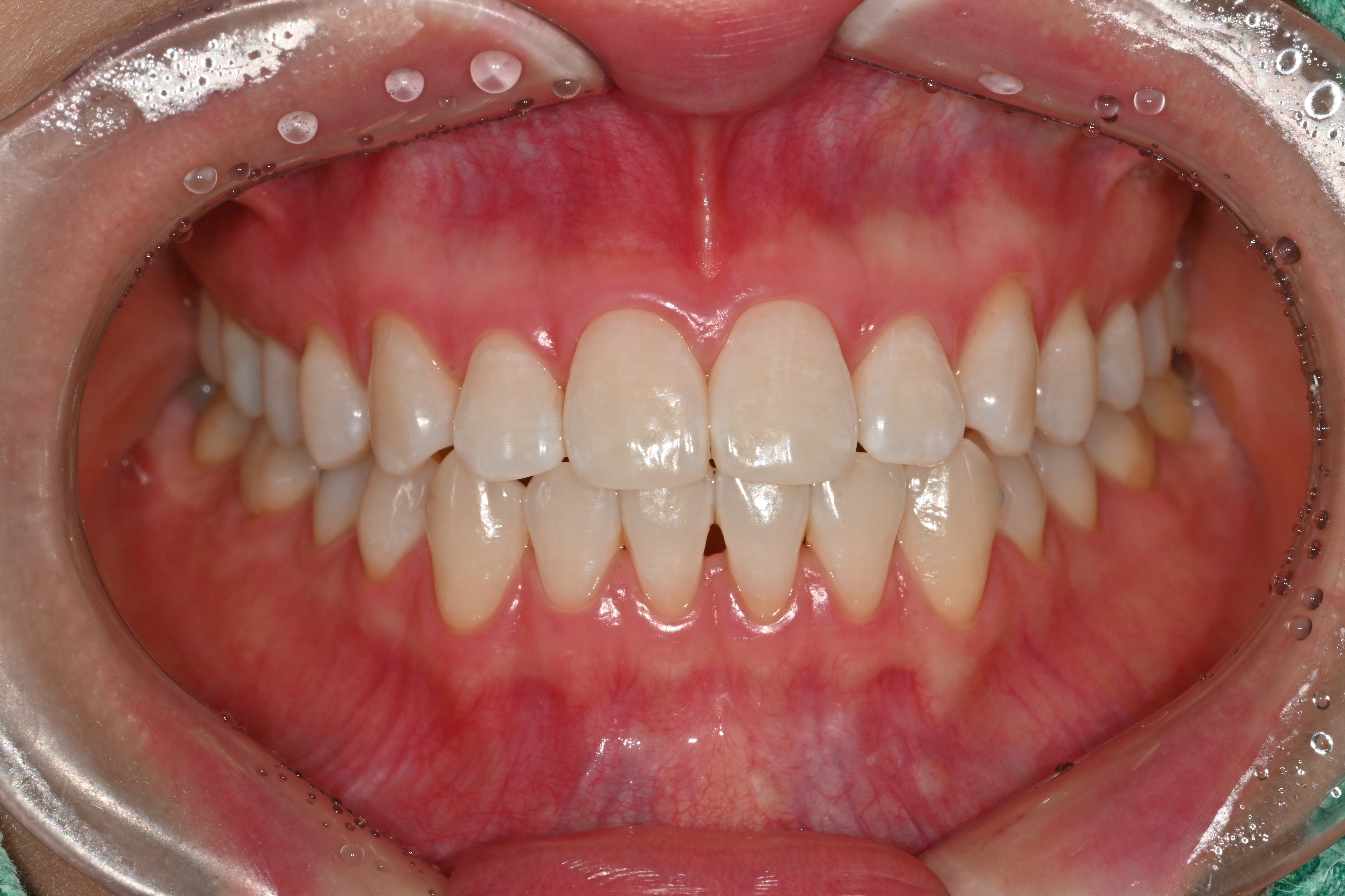
우리 병원 미백의 특별함
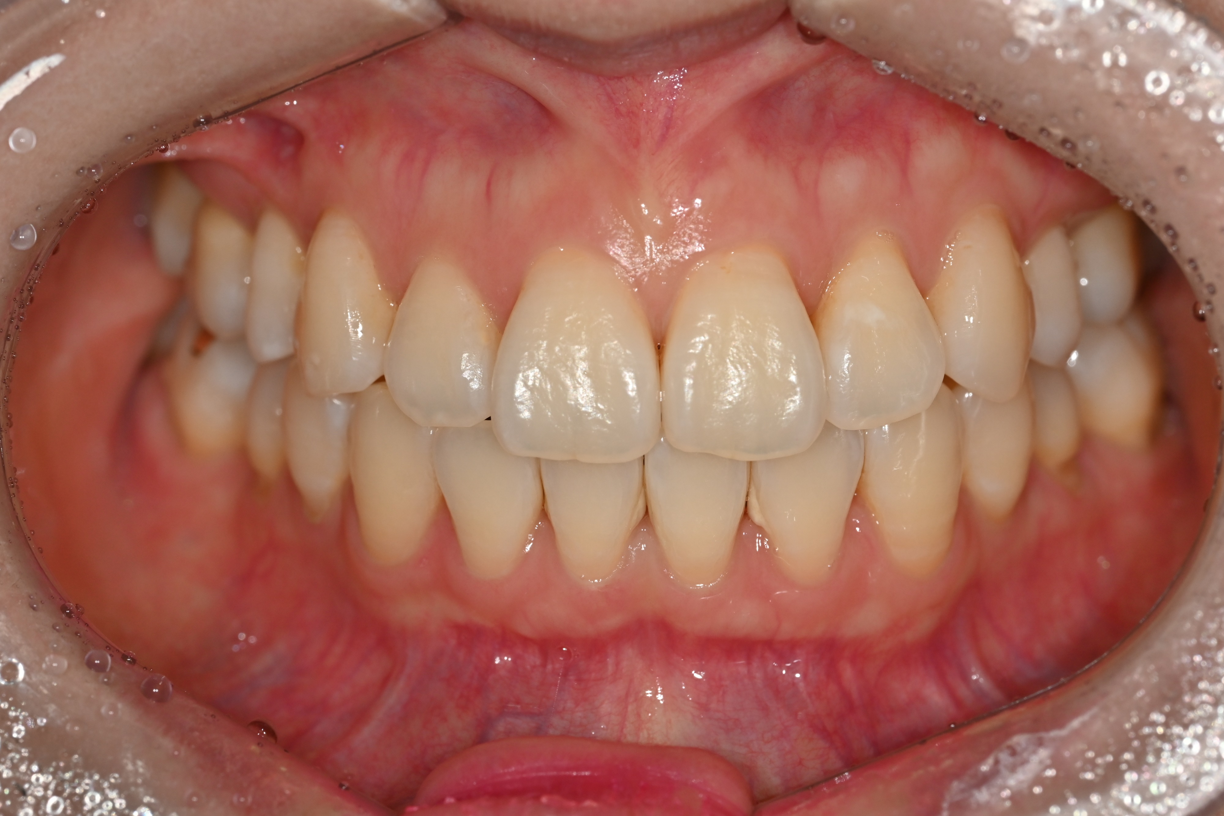
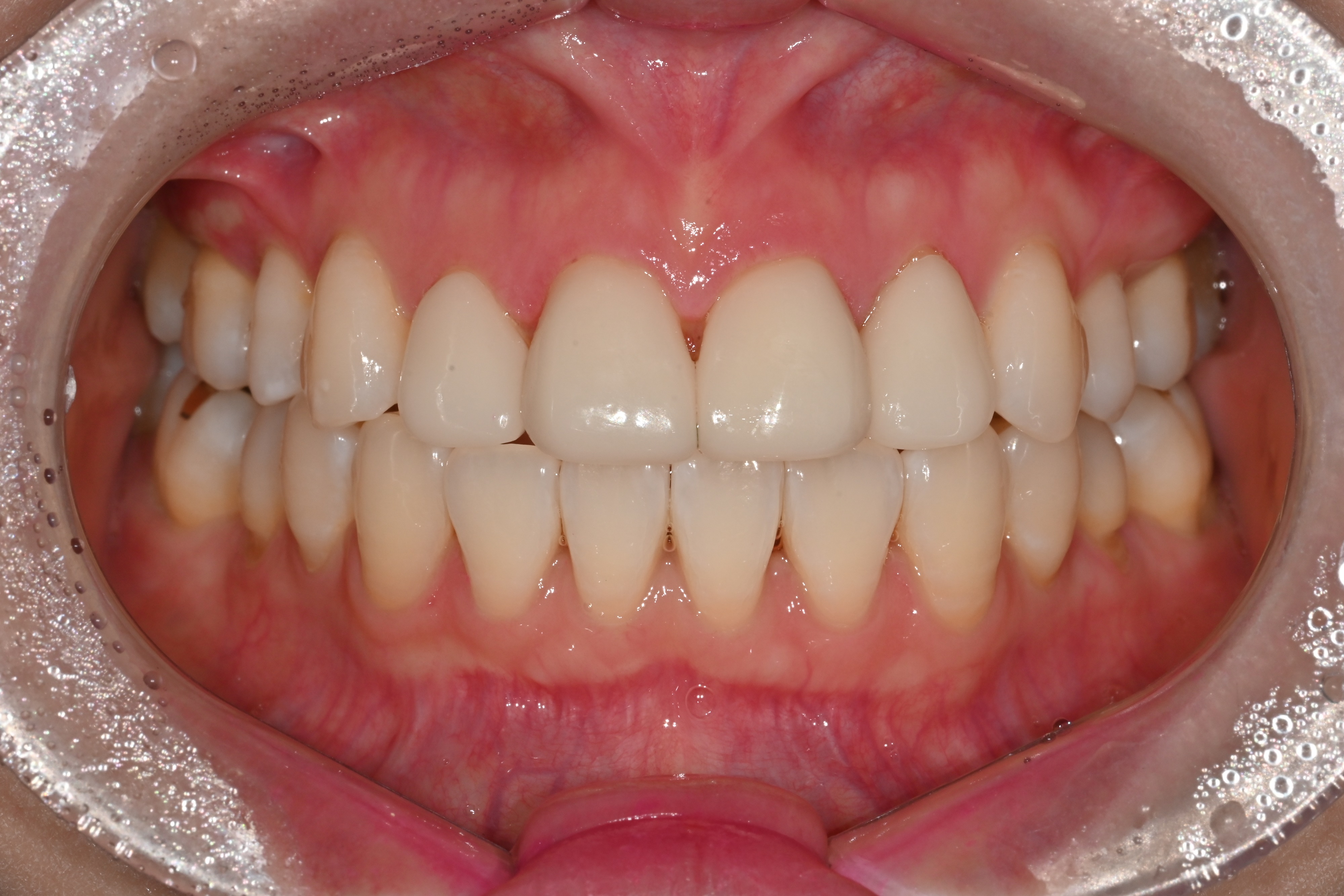
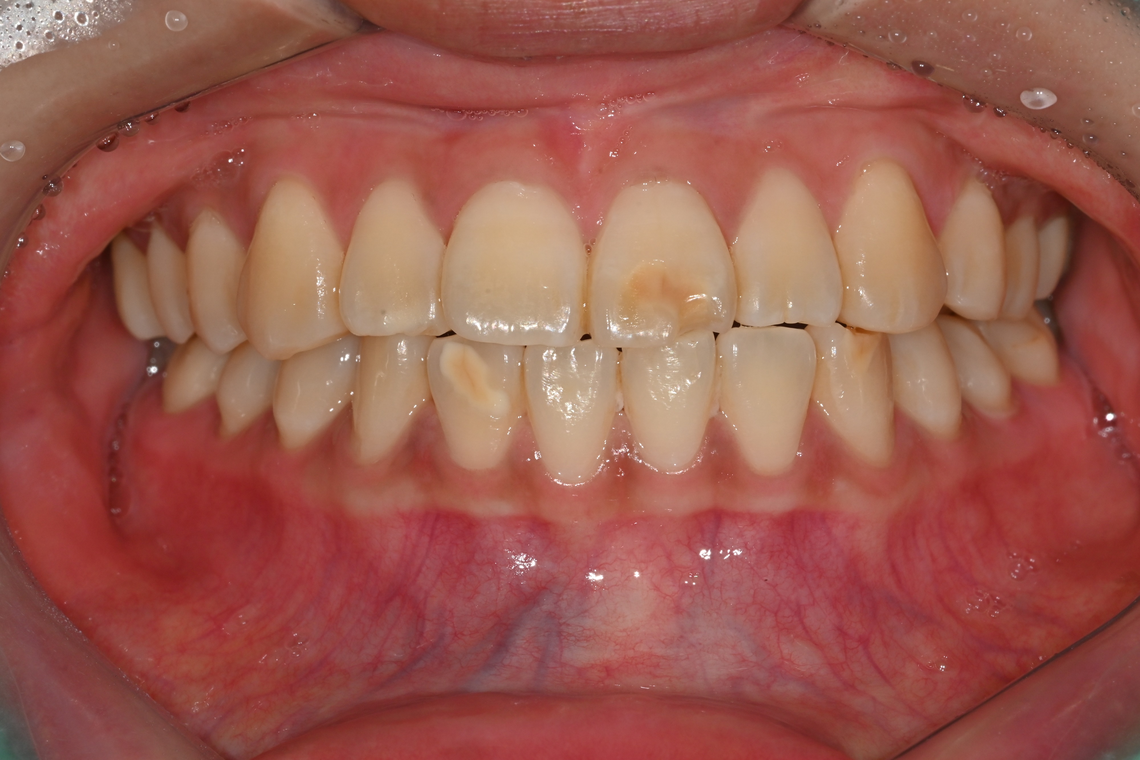
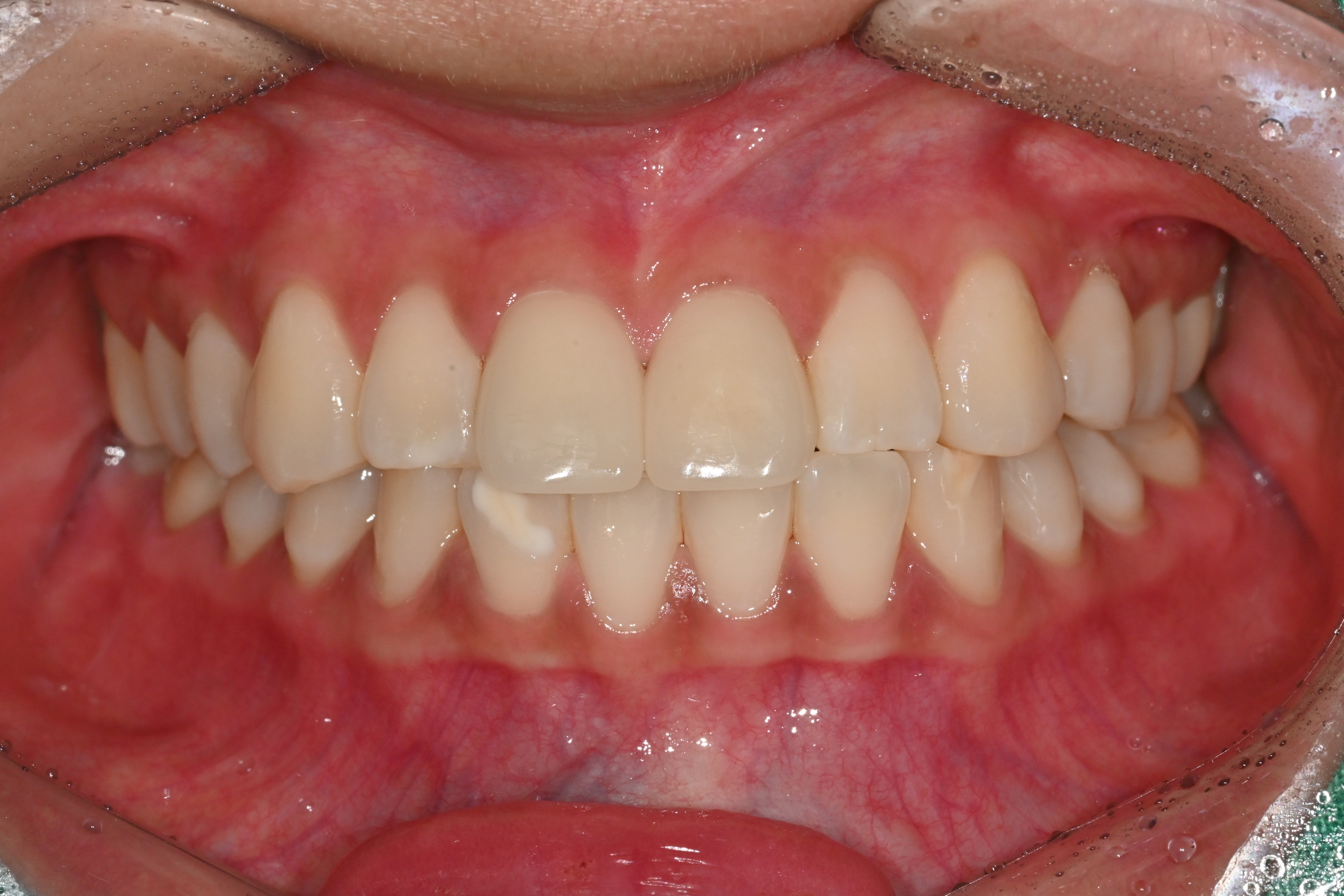
실제 치료 케이스
1,000건 이상의 미백 시술로 검증된 확실한 효과
아직 올해 스케일링
안 받으셨나요?
국가 검진 스케일링 받을 때
미백 받으면 50% 할인!
스탠다드 미백
하루에 1 사이클 진행
50% OFF
정상가
50%
할인
빠른 완성
수술 후까지 관리
보존 전문의와 통합치의학 전문의 협진
경성 메디스치과
최고의 의료진

김동석
대표원장통합치의학 석사
보건복지부 인증 통합치의학 전문의
- 서울대학교 치의학대학원 고급치의학 수료
- 서울대학교 치의학대학원 임플란트 치의학 수료
- 세계구강임플란트학회 이사
- 대한구강악안면임플란트학회 이사
- 미국 텍사스 A&M 치과대학 보철 연구회 회원
- 오스템 임플란트 연구 자문의
- 네오 임플란트 연구 자문의
- 하이니스 임플란트 연구 자문의
- 대한심미치과학회 인정의
- 대한통합치의학회 정회원
- 대한치과근관치료학회 정회원
- 심평원 인증 턱관절치료과정 수료

배인혜
보존과원장치과의사 약사 복수면허
보건복지부인증 치과보존과 전문의
- 부산대학교치과병원 치과보존과 레지던트 수료
- 부산대학교 치의학전문대학원 박사 수료(치과보존학)
- 치의학전문대학원 치의학 석사, 수석 졸업
- 대학치과보존학회 정회원
- 대한치과근관치료학회 정회원
- 한국접착치의학회 정회원
- 대한치과재료학회 회원
- 대한심미치과학회 회원
- 전)굿스마일치과 원장
- 전)플란트치과 원장
경성대 메디스가
전국 최고인 이유
1
부산 유명 대학,
기관 공식 지정 병원
믿을 수 있는 대학 및 기관이 선택한 협력 의료기관 입니다



2
메가젠/오스템/네오
임플란트 지정 우수병원
우수 수술병원으로 지정된 것뿐만 아니라
임상 자문의로서 각종 연구활동도 함께 하고 있습니다











3
전국 치과의사 대상
학술 강연
남들이 세미나를 들을 때,
메디스는 세미나를 엽니다.
실력의 차이가 결과의 차이를 만듭니다.

치과의사 대상 임플란트 교육

부산 치과의사회 특별 강연

디지털 임플란트 전문가 과정

디지털 보철 임상 강의

메가젠 디지털 스캔 세미나

오스템 디지털 가이드 수술 강의
4
하이니스 임플란트와
임플란트 전용 장비 개발
하이니스 임플란트와 디지털 전체 임플란트(풀아치 임플란트) 전용 장비 개발도 함께 진행하고 있는 업계에서 인정받는 전문가입니다
5
철저한 위생관리 시스템
감염 걱정 없는 안전한 진료 환경을 만듭니다


15단계 소독/멸균 시스템
매뉴얼에 따른 15단계 소독/멸균 과정을 철저히 지키며, 전 직원 대상 정기 교육을 진행합니다.
1인 1기구 시스템
모든 기구와 장비를 매뉴얼에 맞춰 소독/멸균하며, 1회용 진료기구는 절대 재사용하지 않습니다.
전담소독 관리시스템
감염관리 전담 관리자가 상주하며 모든 기구의 소독/멸균을 철저히 관리합니다.
차아염소산 소독수 시스템
인체에 무해한 차세대 살균소독제 HOCl(차아염소산)을 사용하여 안심하고 진료받으실 수 있습니다.
💡 완벽한 소독/멸균으로 감염 걱정 없는 안전한 진료
병원 시설








부산광역시 남구 용소로 45
경성대 지하철역 3번 출구 도보 5분
편안한 주차 공간 완비
넓고 쾌적한 주차장

메디스치과는 고객님의 편의를 최우선으로 생각합니다.
편안한 주차 환경부터 쾌적한 진료 공간까지,
고객 중심의 치과를 만들어갑니다.
진료시간
예약 문의
하단 버튼을 통해 AI 예약, 전화 상담, 또는 네이버 예약을 이용하실 수 있습니다.


















