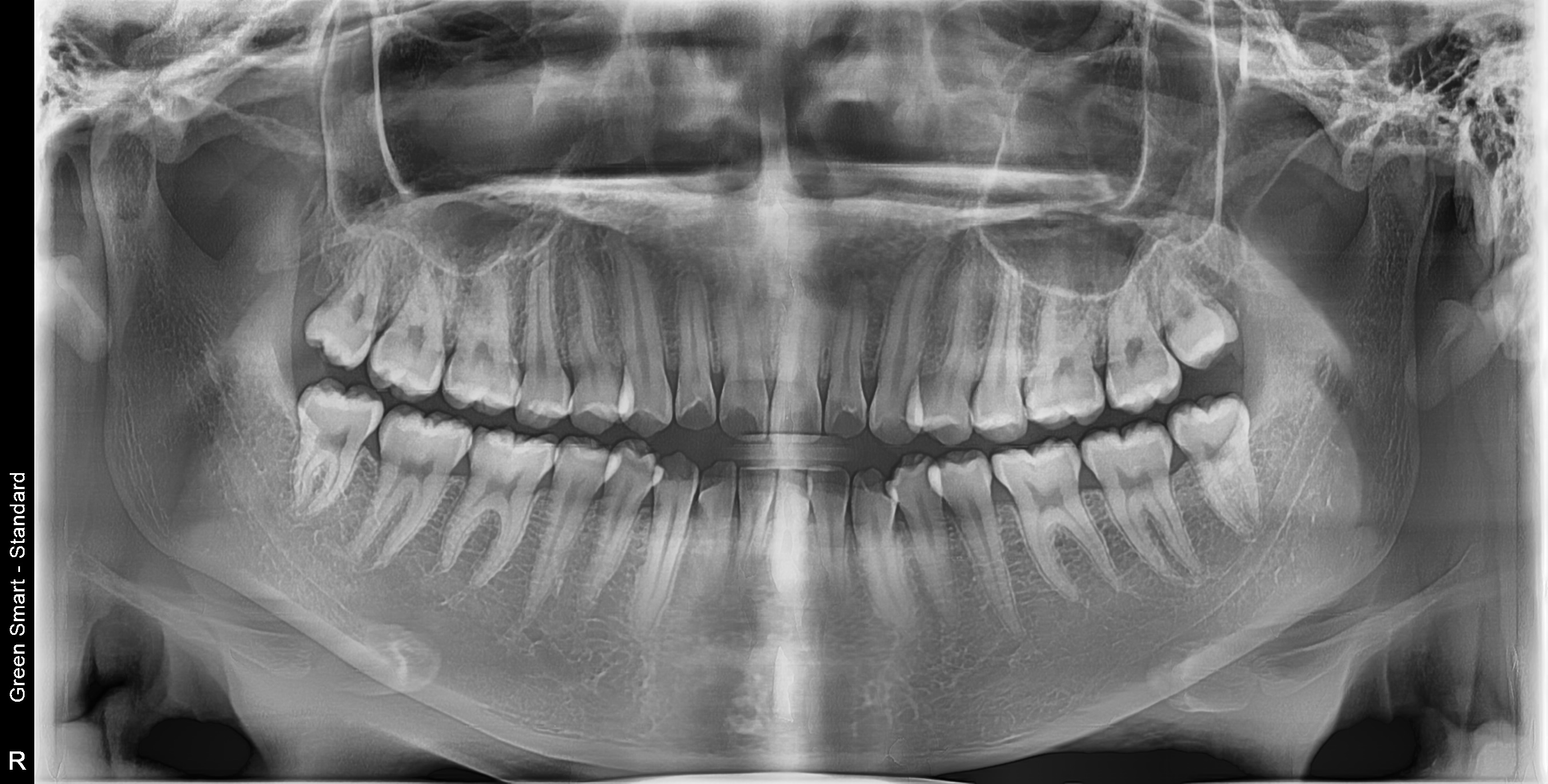
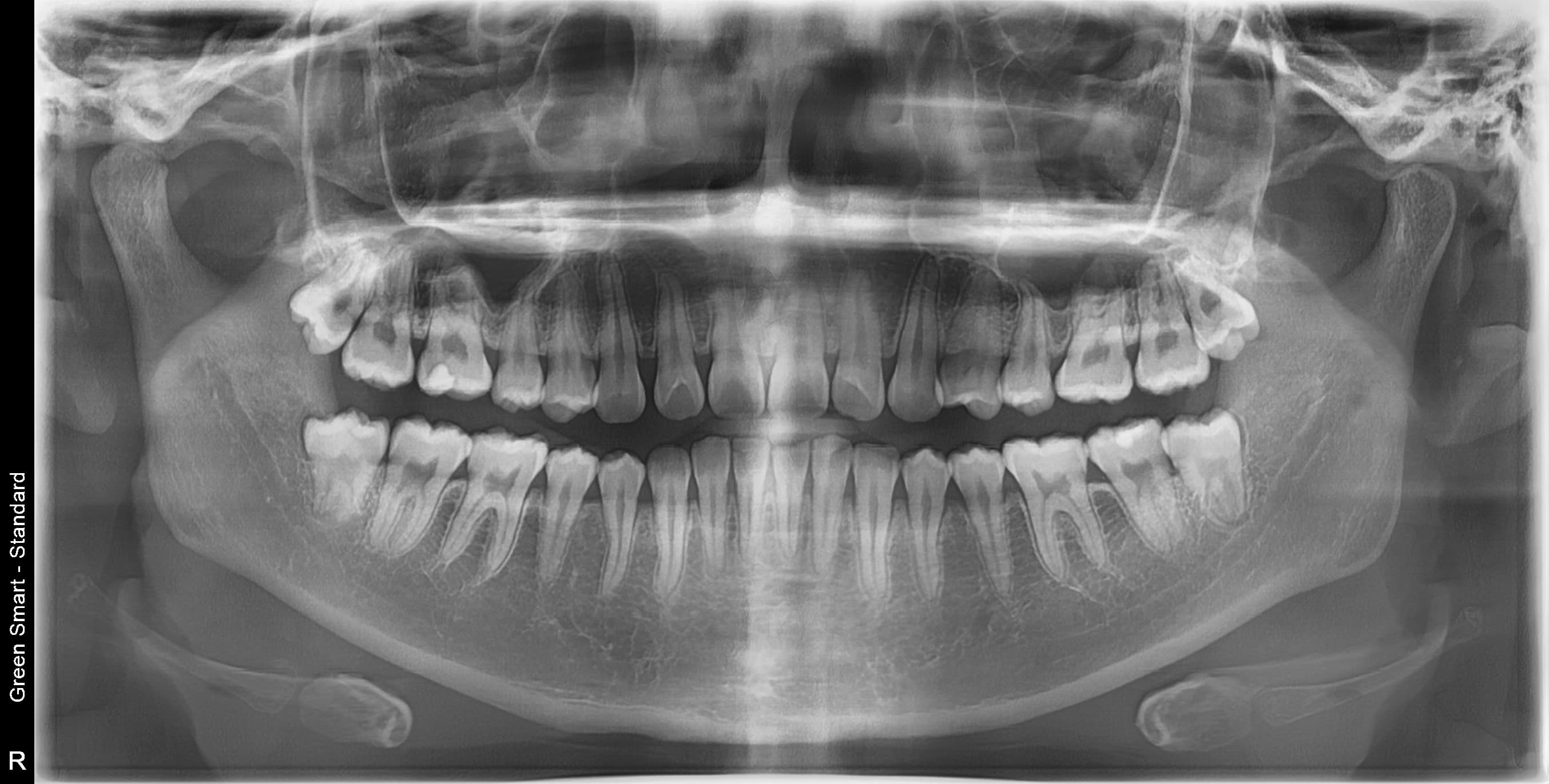
모든 타입의 사랑니,
저희는 다 경험했습니다
어떤 어려운 사랑니도 안전하게
풍부한 경험으로 모든 케이스를 안전하게 발치합니다
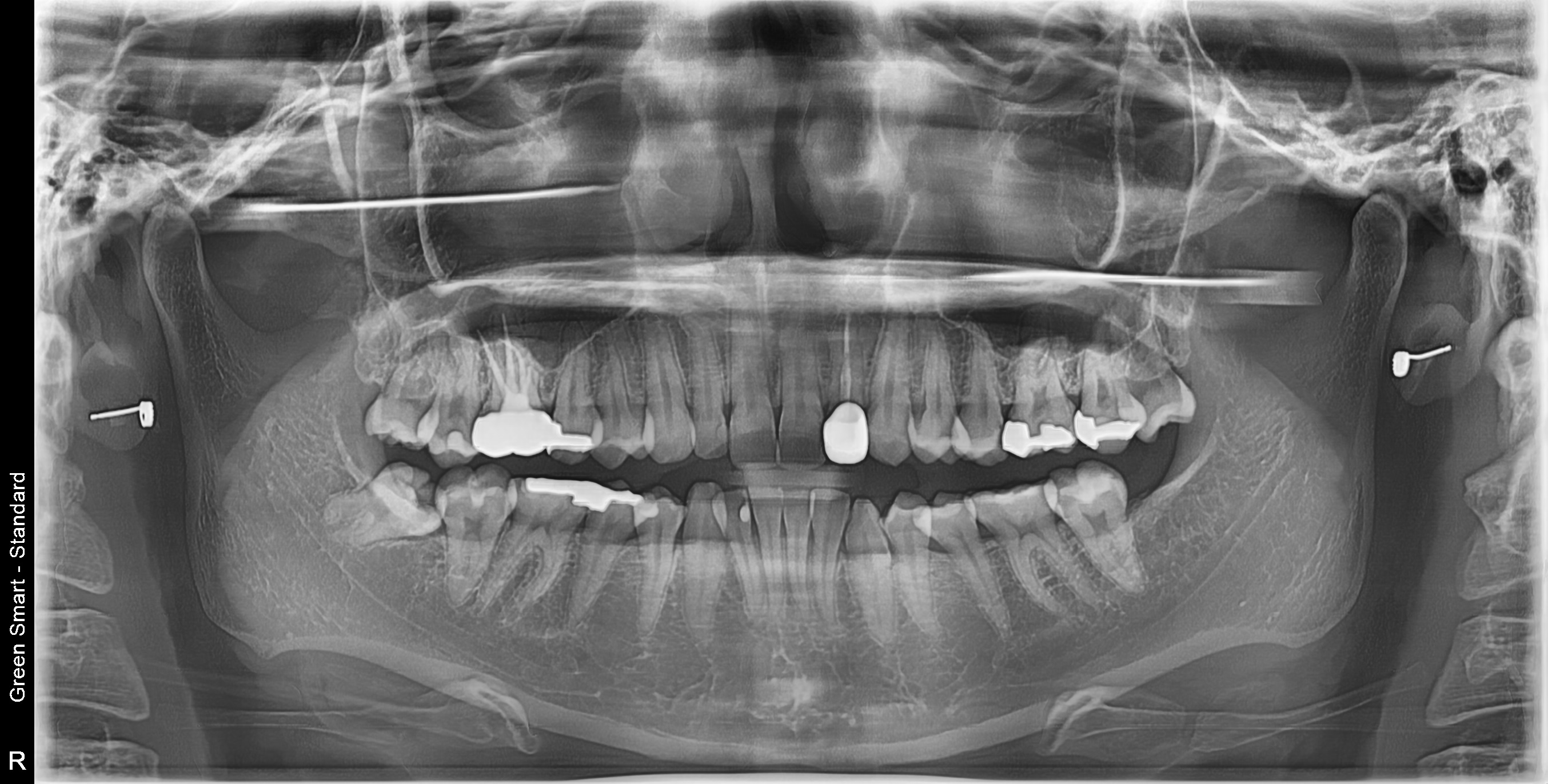
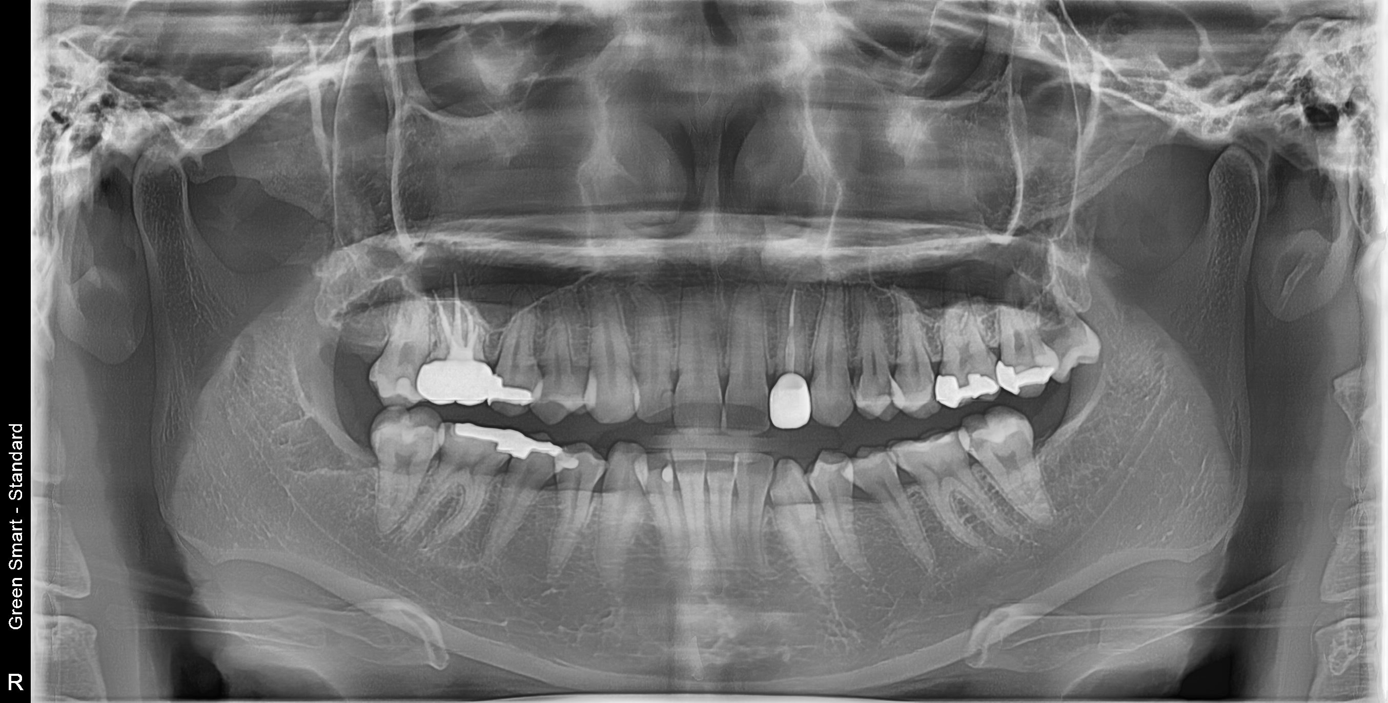
누적 사랑니 발치
부작용으로 인한 재치료 건수
상급병원 전원률
오히려 다른 병원에서
어려운 케이스를 저희에게 보냅니다
사랑니 발치의 모든 것
이 영상에서 다 알려드려요
사랑니 발치 시기, 방법, 주의사항까지
모든 정보를 자세히 설명해 드립니다
“
예고없이 찾아왔어요 사랑니 통증...
평온할 때 미리 해결하면 중요한 순간을 지킬 수 있습니다

군복무
군대에서 갑자기 아프면 처리 곤란

시험 기간
중요한 시험 전날 갑작스런 통증

결혼 · 면접
인생의 중요한 날 얼굴이 부어서...

여행 · 출장
해외 응급실 비싼 치료비
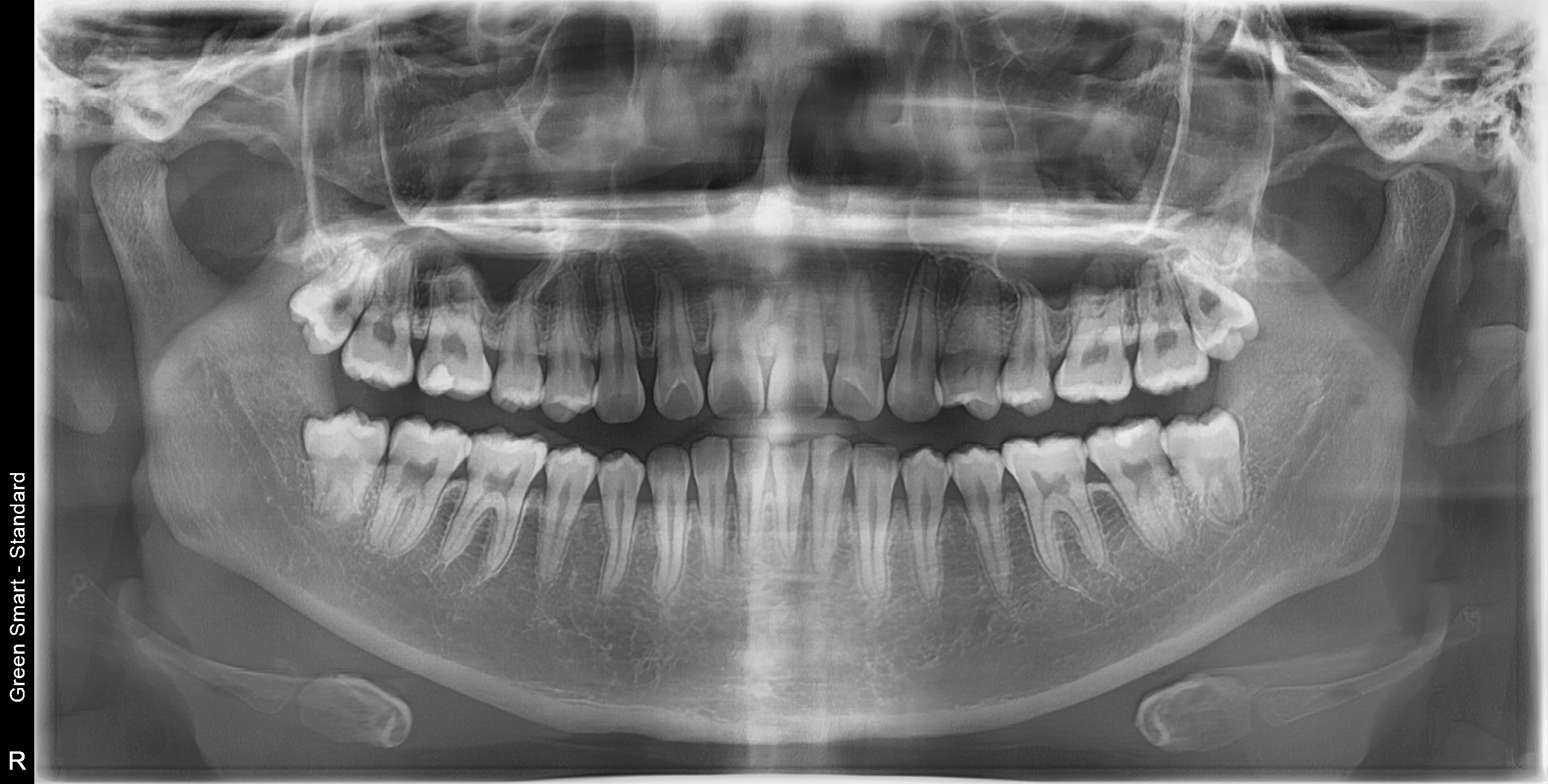
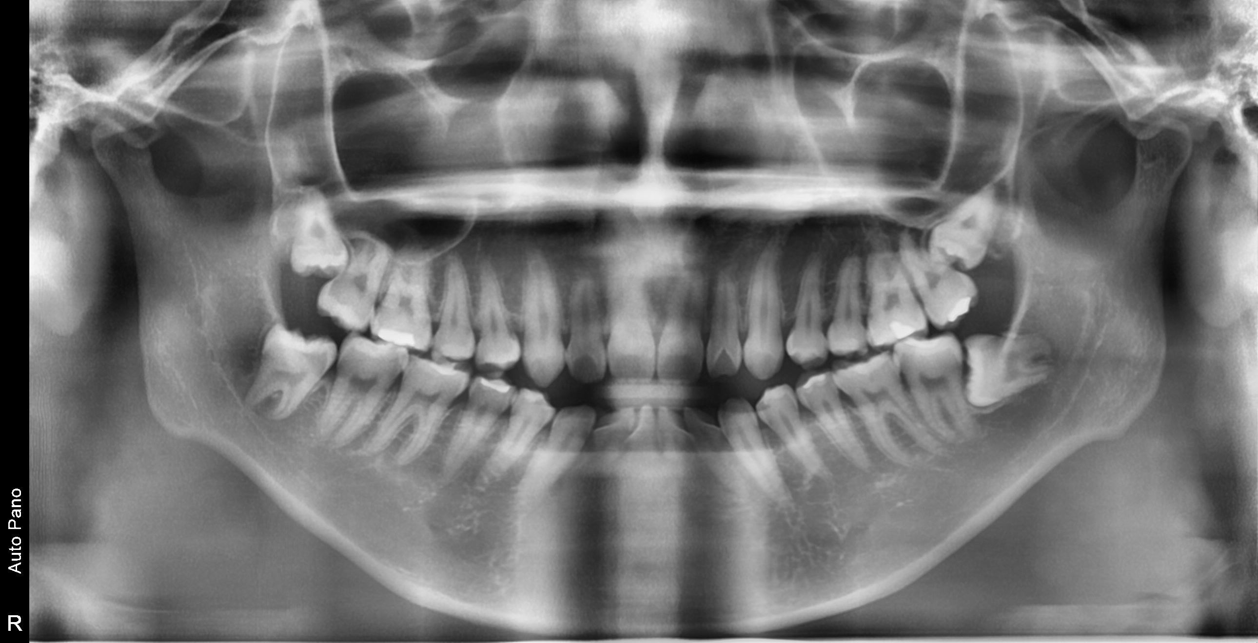
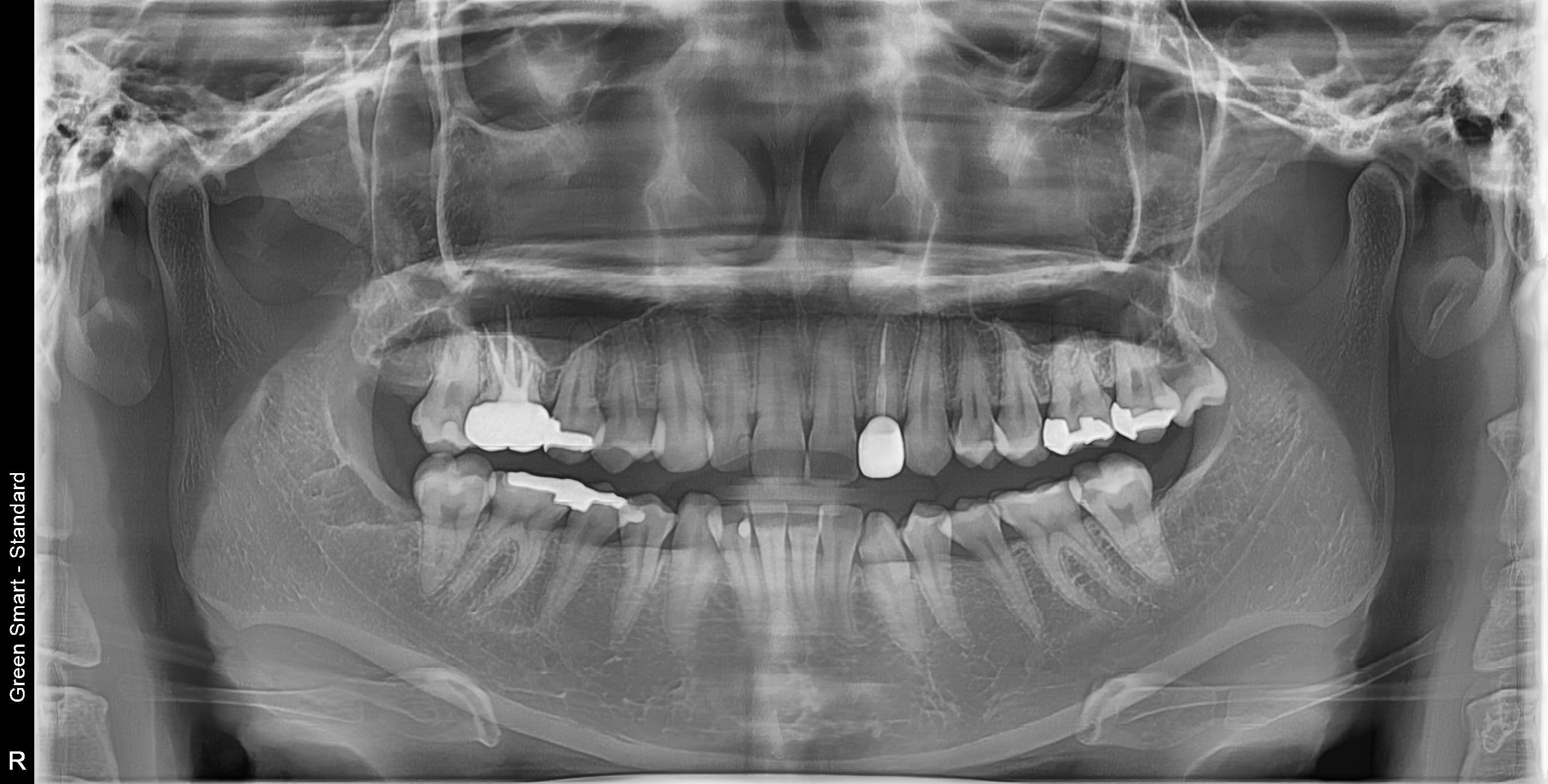
사랑니로 인해 발생할 수 있는 증상
사랑니가 자라는 형태나 장치 등으로 인해 여러 증상이 나타날 수 있습니다
누운 사랑니
옆으로 누워 자라며 옆 치아를 압박할 수 있습니다
염증 발생
방치된 사랑니로 인해 잇몸이 붓고 염증이 생길 수 있습니다
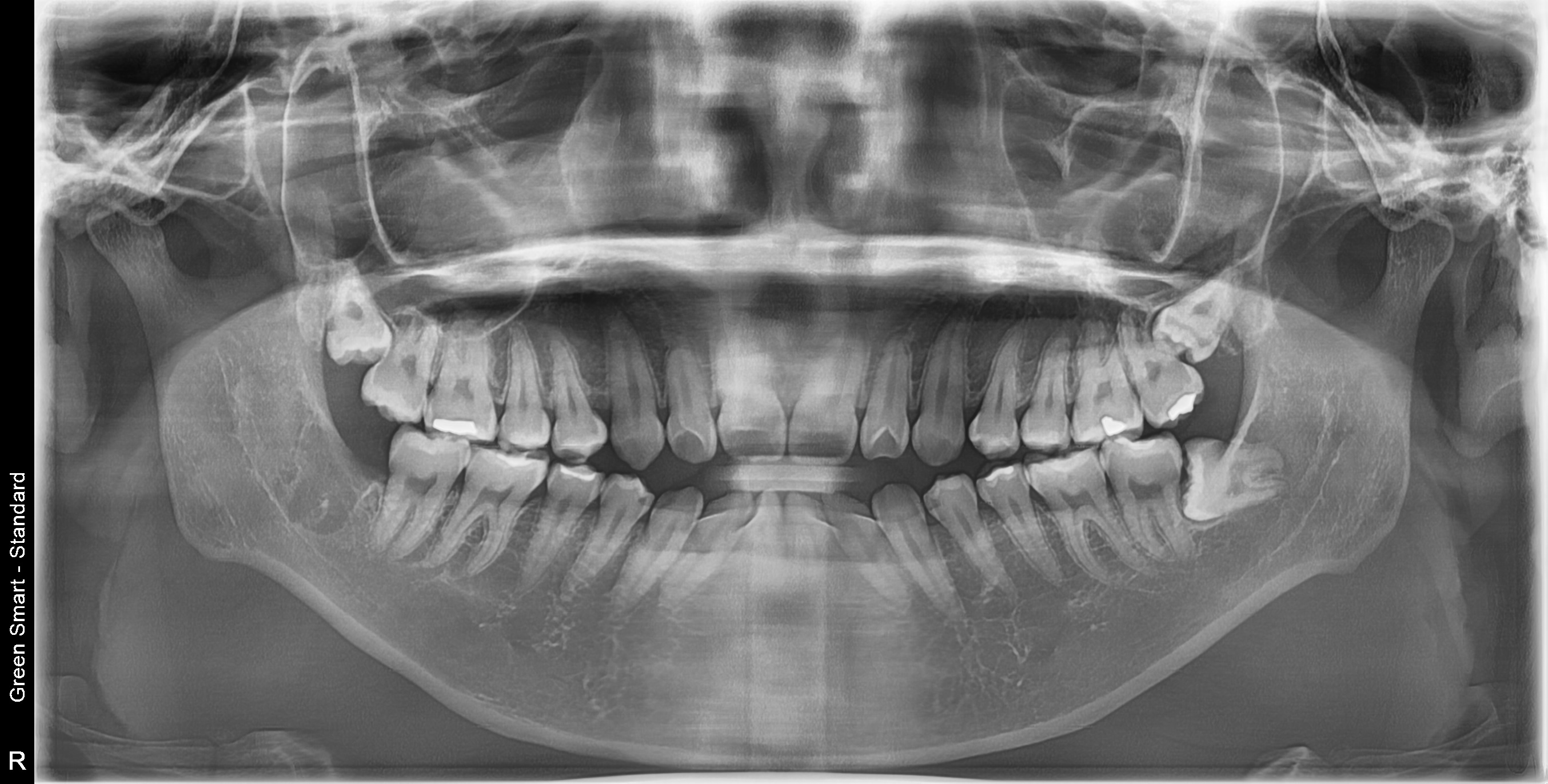
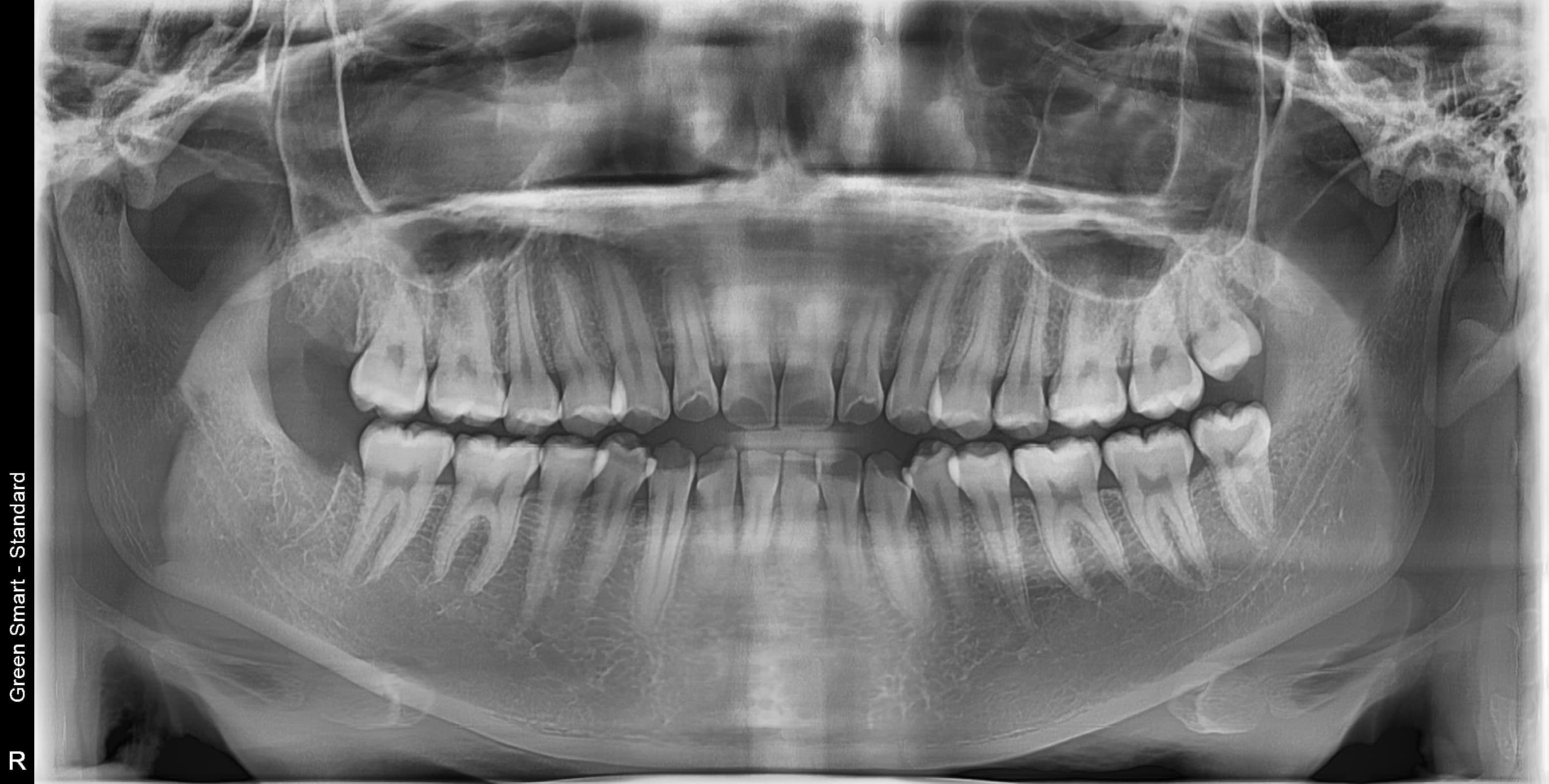
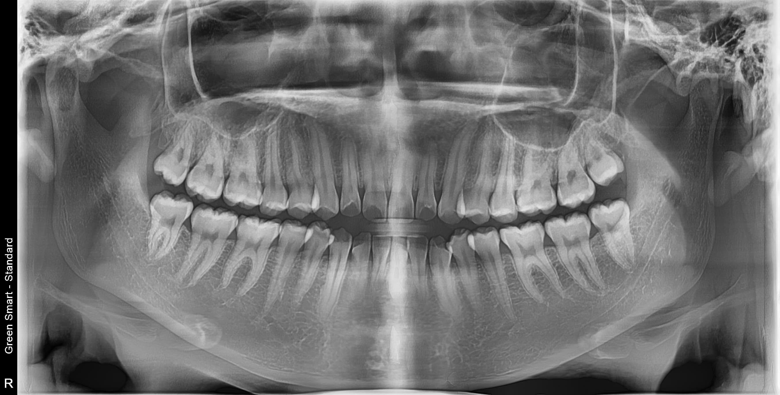
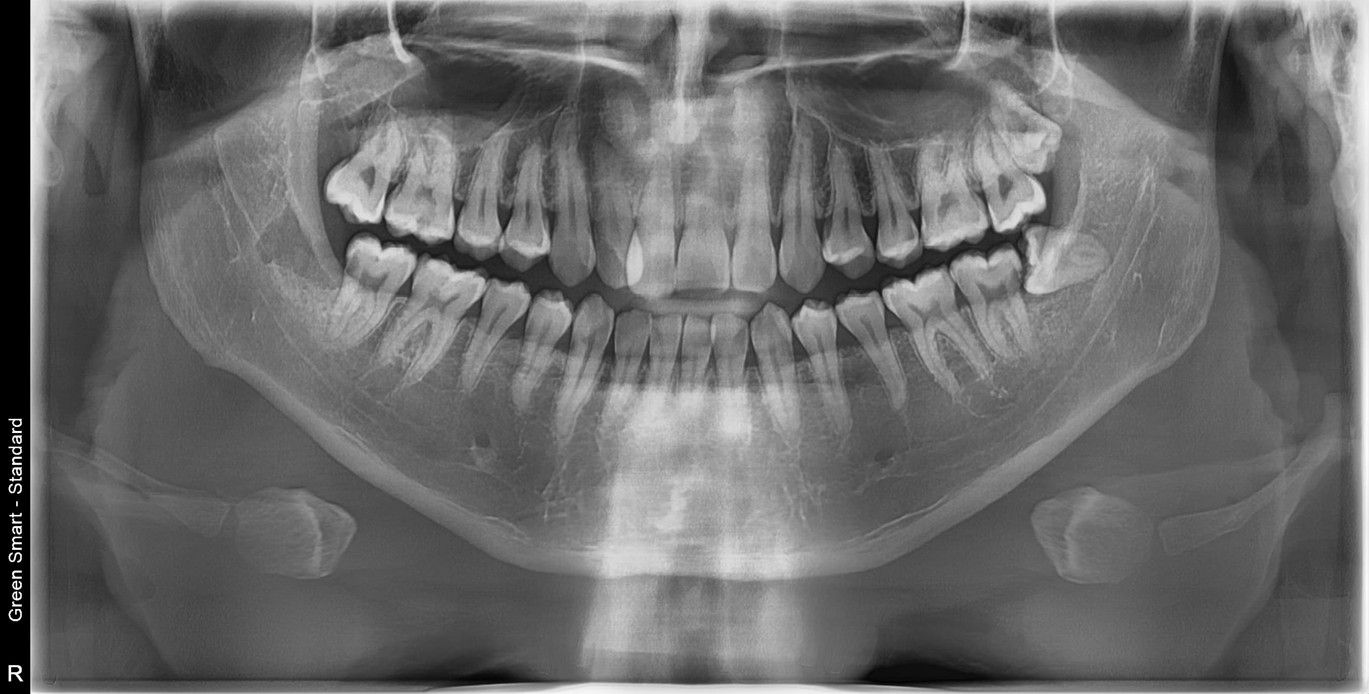
사랑니 상태별 위험도

Before

After
저위험
정상 사랑니
정상적으로 자란 사랑니도 관리가 어려워 충치 위험이 높습니다

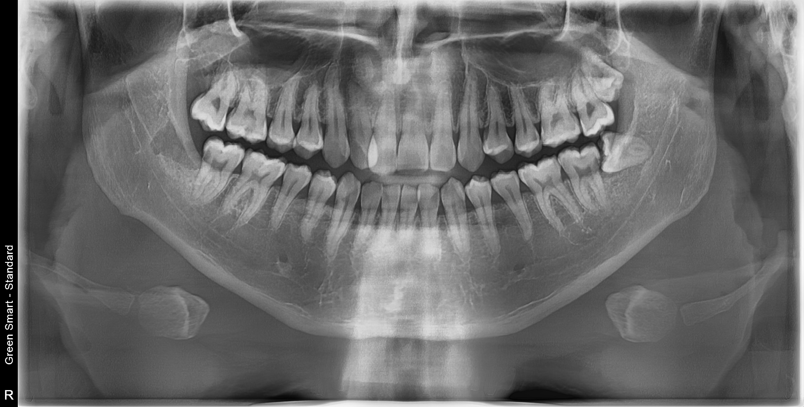
Before

After
중위험
부분매복 사랑니
음식물이 끼기 쉽고 염증이 자주 발생합니다

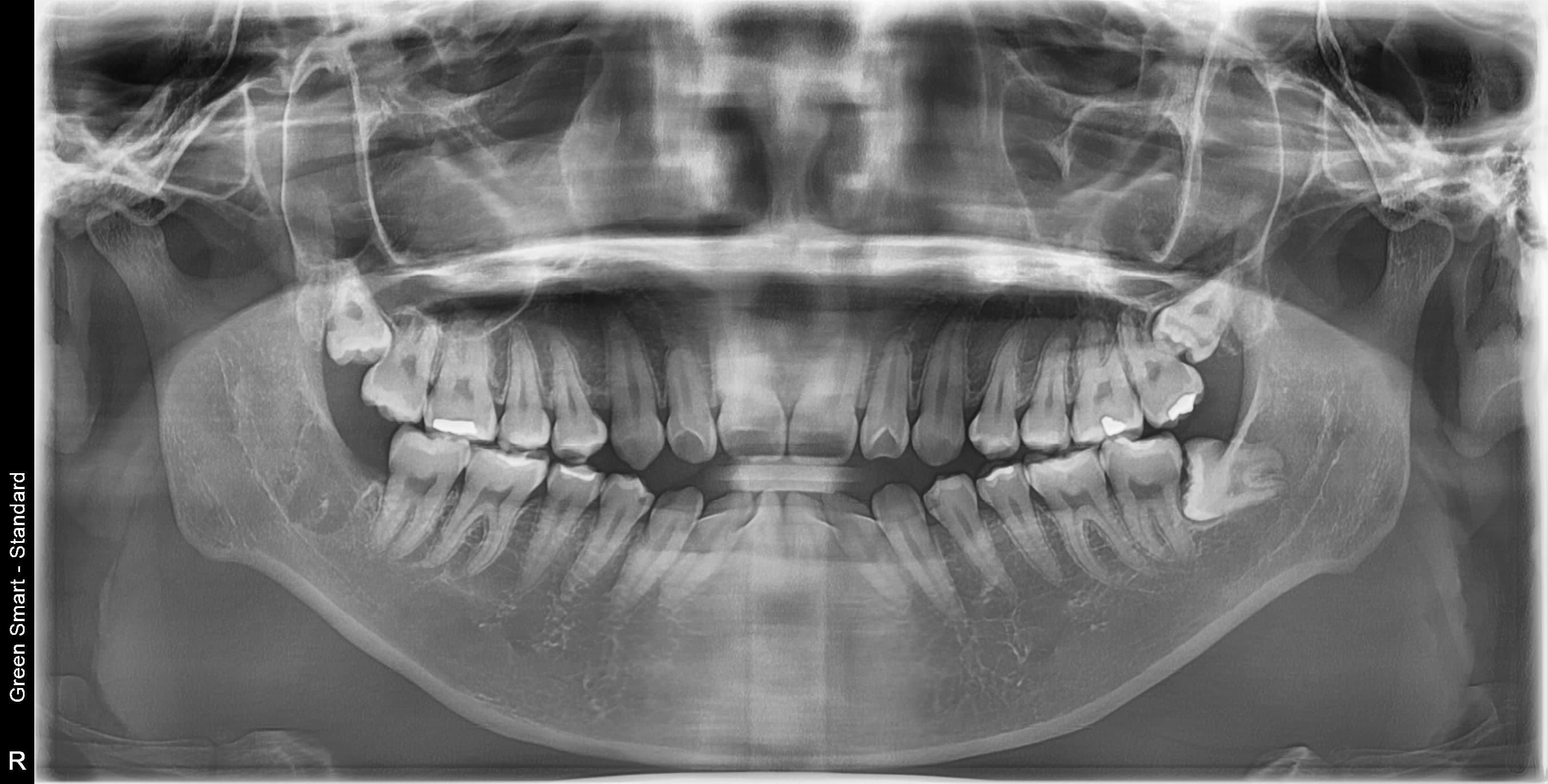
Before

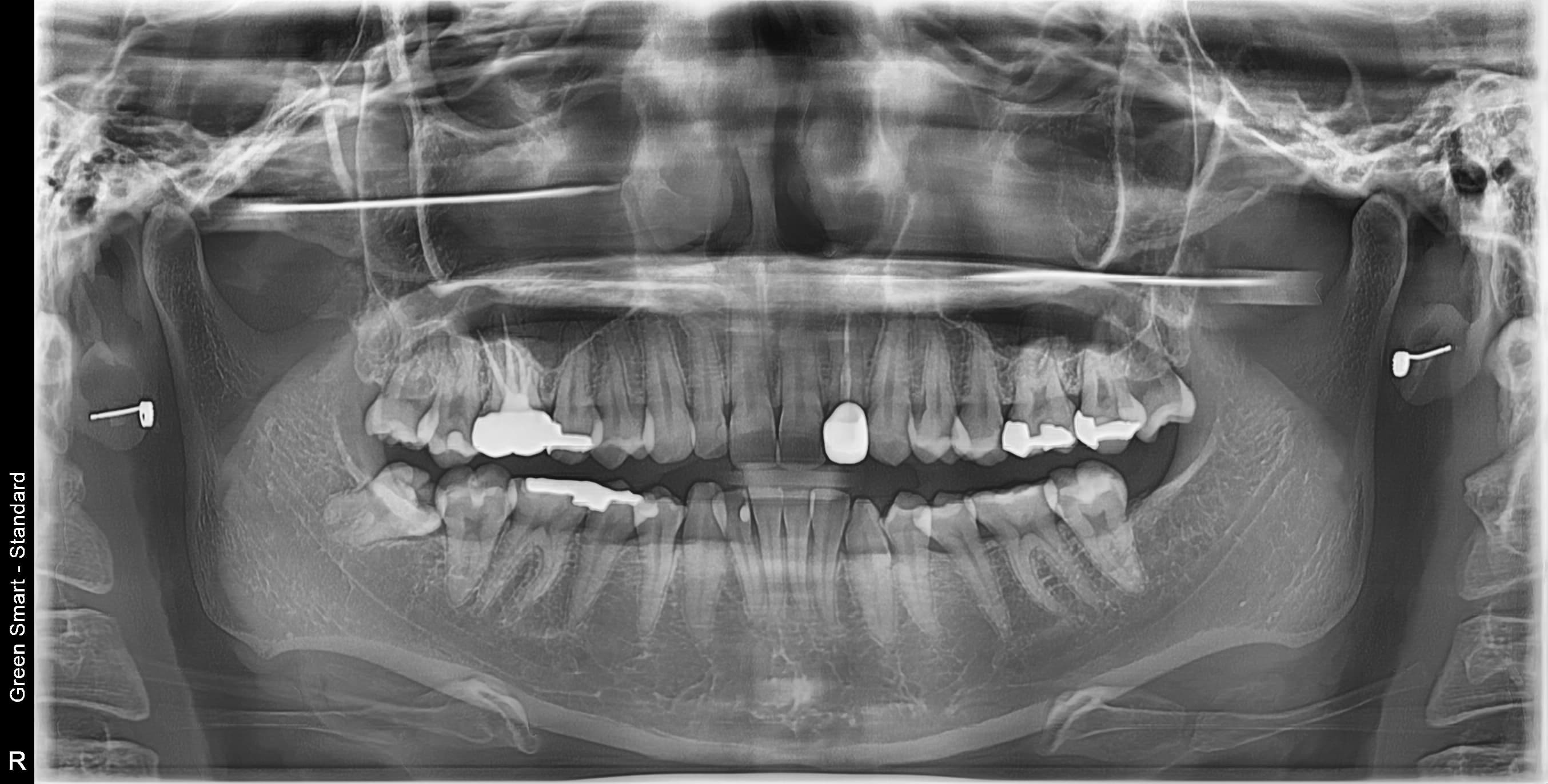
After
고위험
완전매복 사랑니
낭종 형성 가능성이 있어 조기 발치가 필요합니다

Before

After
고위험
치근만곡 사랑니
뿌리가 구부러져 있어 발치 난이도가 높습니다

Before

After
즉시 처치 필요
수평매복 사랑니
앞 치아를 밀어 치열 불균형과 충치를 유발합니다
우리 병원 사랑니 발치의 특별함
2,700건 이상의 사랑니 발치 경험과 체계적인 시스템으로 차원이 다른 진료를 합니다

충분한 임상 경험
통합치의학 전문의 대표 원장의 안전하고 정확한 사랑니 발치

원스톱 진료 시스템
진단부터 발치, 사후 관리까지 당일 완료

통증 완화 마취 시스템
최신 통증 완화 마취 장비로 통증 걱정 없는 시술
대학병원급 난이도 발치
일반 치과에서 "큰 병원 가보세요", "전문병원에서 빼세요" 이런 말 들어보셨나요?
복잡한 매복 사랑니 - 잇몸 속 깊이 묻혀있어도 OK
신경 근접 사랑니 - 신경 손상 걱정 없는 안전한 발치
수평 매복 사랑니 - 옆으로 누워있는 어려운 케이스도 가능
2,700건 이상의 발치 경험으로
대학병원 수준의 난이도도 안전하게 해결합니다
치과 치료,
아프지 않을까요?
의식하진정요법으로
자면서 치료받으세요
의식하진정요법이란?
약간 졸린 듯한 상태에서 시술을 받게 되고, 시술하는 동안 일어난 일들을 잘 기억하지 못하게 되는 치료법입니다.
의식이 있는 상태에서 편안하게 긴장상태를 풀어주기 때문에 치료 중에도 자신의 상태를 표현하고 반응할 수 있어 그만큼 안전합니다.
안전성
의식이 유지된 상태에서 시술
전문의가 혈압, 맥박, 산소포화도 체크
세계적으로 인정된 약물 사용
전신마취가 아니므로 후유증과 부작용이 현저히 낮음
언제든 깨어날 수 있게 해주는 역전약물 구비
치과치료 중 공포와 불안으로 인한 갑작스러운 움직임을 미연에 방지
편안함
간단한 주사로 진정요법이 가능
시술이 끝나면 시술 중 편안한 느낌만 남음
편안하고 안정된 기억만 남아 치과치료에 자신감이 생김
비용 부담이 적고 간단하게 시술 가능
💡 아무나 할 수 없는 특별한 치료
의식하진정요법은 단순한 치료가 아닙니다. 전문 교육을 이수한 의료진과 환자 모니터링 장비, 응급장비 등이 갖춰진 치과에서만 시행할 수 있는 전문적인 치료법입니다.



환자 모니터링 장비
마취 진행 과정
도포/가글마취
마취 전 주사 바늘의 통증을
없애기 위한 표면 마취
통증완화 전동마취기
컴퓨터가 자동으로 주입 속도를 조절하여
통증을 최소화
신경관마취기
신경 가까이 직접 마취하여
완벽한 통증 완화 치료 완성
왜 지금 발치해야 할까요?
사랑니 방치 시 발생하는 문제
급성 염증
심한 통증과 얼굴 부종
인접 치아 충치
옆 치아까지 손상
턱관절 장애
만성 두통과 턱 통증
치열 불균형
교정 치료 필요
조기 발치의 장점
빠른 회복
젊을수록 회복 속도가 빠름
합병증 예방
염증 없을 땐 안전
비용 절감
문제 발생 전 처치
편안한 시술
연증 없어 마취가 잘 됨
참다참다 응급실 가시는 분들이 많아요
염증이 심해져서 새벽에 응급실을 찾는 환자분들이 매주 계십니다 미리 발치하면 이런 고통을 예방할 수 있습니다
보존 전문의와 통합치의학 전문의 협진
경성 메디스치과
최고의 의료진

김동석
대표원장통합치의학 석사
보건복지부 인증 통합치의학 전문의
- 서울대학교 치의학대학원 고급치의학 수료
- 서울대학교 치의학대학원 임플란트 치의학 수료
- 세계구강임플란트학회 이사
- 대한구강악안면임플란트학회 이사
- 미국 텍사스 A&M 치과대학 보철 연구회 회원
- 오스템 임플란트 연구 자문의
- 네오 임플란트 연구 자문의
- 하이니스 임플란트 연구 자문의
- 대한심미치과학회 인정의
- 대한통합치의학회 정회원
- 대한치과근관치료학회 정회원
- 심평원 인증 턱관절치료과정 수료

배인혜
보존과원장치과의사 약사 복수면허
보건복지부인증 치과보존과 전문의
- 부산대학교치과병원 치과보존과 레지던트 수료
- 부산대학교 치의학전문대학원 박사 수료(치과보존학)
- 치의학전문대학원 치의학 석사, 수석 졸업
- 대학치과보존학회 정회원
- 대한치과근관치료학회 정회원
- 한국접착치의학회 정회원
- 대한치과재료학회 회원
- 대한심미치과학회 회원
- 전)굿스마일치과 원장
- 전)플란트치과 원장
경성대 메디스가
전국 최고인 이유
1
부산 유명 대학,
기관 공식 지정 병원
믿을 수 있는 대학 및 기관이 선택한 협력 의료기관 입니다



2
메가젠/오스템/네오
임플란트 지정 우수병원
우수 수술병원으로 지정된 것뿐만 아니라
임상 자문의로서 각종 연구활동도 함께 하고 있습니다











3
전국 치과의사 대상
학술 강연
남들이 세미나를 들을 때,
메디스는 세미나를 엽니다.
실력의 차이가 결과의 차이를 만듭니다.

치과의사 대상 임플란트 교육

부산 치과의사회 특별 강연

디지털 임플란트 전문가 과정

디지털 보철 임상 강의

메가젠 디지털 스캔 세미나

오스템 디지털 가이드 수술 강의
4
하이니스 임플란트와
임플란트 전용 장비 개발
하이니스 임플란트와 디지털 전체 임플란트(풀아치 임플란트) 전용 장비 개발도 함께 진행하고 있는 업계에서 인정받는 전문가입니다
5
철저한 위생관리 시스템
감염 걱정 없는 안전한 진료 환경을 만듭니다


15단계 소독/멸균 시스템
매뉴얼에 따른 15단계 소독/멸균 과정을 철저히 지키며, 전 직원 대상 정기 교육을 진행합니다.
1인 1기구 시스템
모든 기구와 장비를 매뉴얼에 맞춰 소독/멸균하며, 1회용 진료기구는 절대 재사용하지 않습니다.
전담소독 관리시스템
감염관리 전담 관리자가 상주하며 모든 기구의 소독/멸균을 철저히 관리합니다.
차아염소산 소독수 시스템
인체에 무해한 차세대 살균소독제 HOCl(차아염소산)을 사용하여 안심하고 진료받으실 수 있습니다.
💡 완벽한 소독/멸균으로 감염 걱정 없는 안전한 진료
병원 시설








부산광역시 남구 용소로 45
경성대 지하철역 3번 출구 도보 5분
편안한 주차 공간 완비
넓고 쾌적한 주차장

메디스치과는 고객님의 편의를 최우선으로 생각합니다.
편안한 주차 환경부터 쾌적한 진료 공간까지,
고객 중심의 치과를 만들어갑니다.
진료시간
예약 문의
하단 버튼을 통해 AI 예약, 전화 상담, 또는 네이버 예약을 이용하실 수 있습니다.
자주 묻는 질문
사랑니 발치, 꼭 해야 하나요?
통증이 없어도 잇몸 속에서 염증, 충치, 치열 불균형을 일으킬 수 있습니다. 3D CT로 정밀 진단 후 필요 여부를 판단하며, 미리 뽑지 않으면 급성 염증, 인접 치아 손상, 턱관절 장애 등의 문제가 발생할 수 있습니다. 젊을수록 회복이 빠르고 합병증 위험이 적습니다.
난이도 높은 사랑니도 뽑을 수 있나요?
네, 가능합니다. 경성 메디스 치과는 2,700건 이상의 발치 경험과 대학병원급 난이도 발치가 가능한 시스템을 갖추고 있습니다. 수평매복, 완전매복 등 일반 치과에서 큰 병원을 권유하는 어려운 케이스도 3D CT 정밀 진단으로 안전하게 발치합니다.
사랑니 발치, 아프지 않나요?
최신 통증 완화 마취 시스템으로 시술 중 통증을 거의 느끼지 못합니다. 불안하신 분은 의식하진정요법(수면마취)으로 편안하게 시술받으실 수 있습니다. 시술 후 붓기와 통증은 처방된 약으로 충분히 관리 가능하며, 젊을수록 회복이 빠릅니다.
사랑니 발치 후 주의사항이 있나요?
발치 후에는 뜨겁고 자극적인 음식을 피하고, 부드러운 음식을 드세요. 2-3일간 심한 운동과 사우나는 피하시고, 처방받은 항생제와 소염제를 규칙적으로 복용하세요. 거즈는 30분-1시간 정도 깨물고, 과도한 양치나 빨대 사용은 피해주세요. 자세한 관리 방법은 시술 후 안내해 드립니다.
사랑니 발치, 빠른 진료 가능한가요?
3D CT 촬영과 진단 후 즉시 발치가 가능합니다. 원스톱 진료 시스템으로 진단부터 발치, 사후 관리까지 한 번의 방문으로 완료됩니다. 다만 염증이 심한 경우 소염 치료 후 발치하는 것이 안전하며, 개인의 구강 상태에 따라 의료진이 최적의 시기를 안내해 드립니다.










